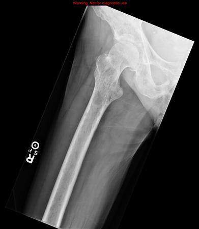
Summary Metastatic Disease of the Extremity is a malignant pathologic process that is the most common cause of destructive bone lesions in the extremities of adult patients. Workup including history, physical, radiographs, and CT chest, abdomen, pelvis identifies the primary tumor in about 85% of cases. In patients where a primary carcinoma is not identified, obtaining a biopsy is necessary to rule out a primary bone lesion. Treatment is aimed at controlling pain, maintaining patient independence, and preventing fractures. Epidemiology Incidence bone is the third most common site for metastatic disease (behind lung and liver) solitary bone lesions are 500 times more likely to be metastatic carcinoma than a primary bone tumor in patients > 40 years old Demographics Age >50 years old Anatomic location most common sites of bony metastatic lesions include spine > pelvis > proximal femur > humerus pathologic fractures secondary to metastatic disease most commonly occur in the proximal femur, followed by the proximal humerus 65% nonunion rate 50% in femoral neck, 20% pertrochanteric, 30% subtrochanteric acral (distal extremities) lesions are rare, but when present are most commonly from lung carcinoma lung primary is the most common for occult metastatic disease Risk factors carcinomas that commonly spread to bone include breast (most common in females) lung thyroid kidney prostate (most common in males) mnemonic: BLT and a Kosher Pickle or PT Barnum Likes Kids Etiology Pathophysiology mechanism of metastasis tumor cell intravasation E cadherin cell adhesion molecule (CAM) on tumor cells modulates release from primary tumor focus into bloodstream PDGF promotes tumor migration avoidance of immune surveillance target tissue localization chemokine ligand 12 (CXCL12) in the stromal cells bone marrow acts as homing chemokine to certain tumor cells and promotes targeting of bone attaches to target organ endothelial layer via integrin cell adhesion molecule (expressed on tumor cells) extravasation into the target tissue uses matrix metalloproteinases (MMPs) to invade basement membrane and ECM induction of angiogenesis via vascular endothelial growth factor (VEGF) expression genomic instability decreased apoptosis thrombospondin inhibits tumor growth lytic lesions osteolytic bone lesions create a "vicious circle" tumor cells secrete PTHrP which stimulates the release of RANKL from osteoblasts RANKL then binds to the RANK receptor on osteoclast precursor cells differentiation to active osteoclasts occurs, which causes bony destruction TGF-B, ILGF-1, and calcium are released from resorbed bone, which stimulates tumor cells to release more PTHrP the tumor continues to grow through the release of growth factors, proinflammatory cytokines (IL-6 and IL-8), and VEGF osteoblastic lesions prostate and breast cancer mets due to tumor-secreted endothelin-1(ET-1) binds to endothelin A receptor (ETAR) on osteoblasts and stimulates osteoblasts ET-1 decreases WNT suppressor DKK-1 activates WNT pathway, increasing osteoblast activity Associated conditions metastatic hypercalcemia a medical emergency symptoms include confusion muscle weakness polyuria & polydipsia nausea/vomiting dehydration treatment hydration (volume expansion) loop diuretics bisphosphonates Anatomy Vascular spread Batson's vertebral plexus valveless venous plexus of the spine that provides a route of metastasis from the lung, kidney, breast, prostate, or thyroid to axial structure including vertebral bodies, pelvis, skull, and proximal limb girdles arterial tree metastasis mechanism by which lung and renal cancer spread to the distal extremities Presentation History may describe night pain weight loss pain with weight-bearing enlarging mass Symptoms pain may be mechanical pain due to bone destruction or tumorigenic pain which often occurs at night typically dull pain with gradual onset pathologic fracture occurs at presentation in 8-30% of patients with metastatic disease 90% of pathologic fractures require surgery rarely have potential to heal metastatic hypercalcemia confusion muscle weakness polyuria & polydipsia nausea/vomiting dehydration Physical exam neurologic deficits caused by compression of the spinal cord in metastatic disease to the spine Imaging Radiographs recommended views plain radiographs in two planes of affected limb including the joint above and below the lesion AP chest findings destructive lesions may be lytic, mixed, or blastic (sclerotic) lung, thyroid, and renal are primarily lytic 60% of breast CA are blastic 90% of prostate CA are blastic cortical metastases are common in lung cancer lesions distal to elbow and knee are usually from lung or renal primary low sensitivity (about 50%) best at assessing lytic lesions may not be able to detect lesions until they are 1-2cm with 50% reduction in bone mineral density CT indications CT of chest/abdomen/pelvis should be obtained to evaluate for a primary tumor in all patients >40-years-old with a lytic bone lesion of unknown origin CT of the lesion may also be obtained to evaluate containment within cortical boundaries sensitivity of 71-100% may be difficult to visualize lytic lesions until there is cortical destruction MRI indications high sensitivity (95%) and specificity (90%). can detect bone marrow changes before osteoblastic lesions develop findings low intensity on T1 high intensity for 2 sensitivity of 82-100% Technetium bone scan indications may be used to identify other skeletal lesions findings myeloma and thyroid carcinoma are often cold on bone scan because it evaluates osteoblastic activity evaluate with a skeletal survey using bone scan and CT identifies the primary tumor about 50% of the time PET scan alone only has 30% specificity Studies Labs CBC with differential ESR BMP LFTs PT, PTT electrolyte panel Ca, Phos, alkaline phosphatase Paget's disease serum and urine immunoelectrophoresis (SPEP, UPEP) multiple myeloma PSA prostate CA LDH lymphoma urinalysis renal CA Invasive studies Biopsy in patients where a primary carcinoma is not identified, obtaining a biopsy is necessary to rule out a primary bone lesion should not treat a bone lesion without tissue diagnosis of the lesion metastatic adenocarcinoma not identified by CT of the chest, abdomen, and pelvis is most likely from a small lung primary tumor Histology characteristic findings epithelial cells in clumps or glands in a fibrous stroma immunostaining Keratin CK7 (breast and lung cancer) TTF1 (lung cancer) Receptor status can provide therapeutic targets during concomitant medical management estrogen, progesterone, and HER2/neu receptor status is essential for treating metastatic breast cancer Differential Differential of Metastatic Disease of Extremity Malignant lesion in older patient Multiple lesions in older patient Epithelial glands on histology Benefits from Bisphosphonate therapy Treatment is wide resection and radiation Metastatic bone disease o o o o o Myeloma o o o Lymphoma o o Chondrosarcoma o MFH / fibrosarcoma o Secondary sarcoma o Pagets disease o o Fibrous dysplasia o Synovial sarcoma o Hyperparathyroidism o Glomus tumor o Soft tissue sarcomas o Non-tumor conditions to consider: osteomyelitis, myositis ossificans, metabolic bone disease, osteonecrosis, synovial proliferative disease Mirels Criteria Mirels Criteria Score Site Size (relative to shaft diameter) Radiographic appearance Pain 1 Upper extremity < 1/3 Blastic Mild 2 Lower extremity 1/3 to 2/3 Mixed Moderate 3 Peritrochanteric > 2/3 Lytic Functional (pain with weight-bearing) Recommendation < 8: radiotherapy and observation 8: use clinical judgment > 8: prophylactic fixation scores of 9 had a 33% risk of fracture Sensitivity 80-90% and specificity 30-35% Treatment Nonoperative indications asymptomatic lesions nondisplaced fractures (in the humeral shaft, pelvis, scapula) non-weight-bearing bones short life expectancy tumors sensitive to systemic therapy bisphosphonate therapy indications used in lytic, blastic, and mixed lesions outcomes reduces rates of skeletally-related events decreased lysis and associated hypercalcemia Denosumab indications bone metastases from solid tumors and multiple myleoma outcomes superior to zoledronic acid in preventing skeletally-related events radiation therapy indications palliation of pain and local tumor control outcomes reduces pain in 70% of patients at 2 weeks with complete pain relief in about 30% renal cell carcinoma is less radiosensitive chemotherapy, immunotherapy, and hormone therapy see table of treatments based on cancer type Operative stabilization of complete fracture, postoperative radiation indications almost always required due to high risk of nonunion fixation should not rely on bone healing (ie using an endoprosthesis for a proximal femur fracture if the patient has a relatively good prognosis) life expectancy > 6 months is the best predictor of fracture healing failure of nonsurgical treatment and pain postoperative radiation all patients require postop radiation unless death is imminent or area has previously been irradiated begin radiation therapy 2-3 weeks after surgery area of irradiation should include the entire fixation device (e.g. entire femur after intramedullary nailing of femoral lesion) prophylactic stabilization of impending fracture, postoperative radiation indications more than 50% destruction of the diaphyseal cortices permeative destruction of the subtrochanteric femoral region >50-75% destruction of the metaphysis persistent pain after radiation therapy pain with weight-bearing outcomes prophylactic fixation leads to greater likelihood of independent ambulation, discharge to home, and shorter hospital stays compared to fixation of completed fracture Wide resection of the bony metastasis provides lower risk local recurrence when compared to intralesional curettage preoperative embolization indications renal cell carcinoma or thyroid carcinoma before operative intervention because these cancers are very vascular palliative pain control in renal or thyroid cancer other minimally invasive techniques radiofrequency ablation: thermal ablation of periosteal nerves cementoplasty: cementing a lytic lesion to improve stability cryoablation: freezes a lytic lesion high-intensity focused ultrasonography: new and less available Techniques Bisphosphonate therapy technique both oral (clodronate) and IV (pamidronate, zoledronic acid) formulas available complications osteonecrosis of the jaw Denosumab technique convenient subcutaneous dosing complications osteonecrosis of the jaw Radiation therapy technique external-beam radiation therapy given as multiple fractions or as a single fraction in high-dose dosage and fraction are determined by location, symptoms, and tumor volume complications risk of fracture (typically 1 year after treatment) Chemotherapy and hormone therapy technique dependent on primary lesion and receptor positivity Stabilization of complete and/or impending fractures, postoperative radiation technique dependent on location proximal humerus arthroplasty or open reduction internal fixation humeral diaphysis intramedullary nail femoral neck arthroplasty/endoprosthetic replacement total hip arthroplasty should be performed if there are acetabular lesions hemiarthroplasty is adequate if no acetabular involvement peritrochanteric cephalomedullary device with +/- cement femoral diaphysis statically locked cephalomedullary nail polymethylmethacrylate can be used to fill defects outcomes humerus length of resected segment related to functional outcome femur arthroplasty has significantly lower failure rates compared to IMN and ORIF higher dislocation rate with THA compared to hemiarthroplasty higher rates of infection seen with arthroplasty compared to nails Embolization technique preoperative embolization performed for renal and thyroid cancers reduces intraoperative blood loss without adverse effects on healing Prognosis Median survival in patients with metastatic bone disease thyroid: 48 months prostate: 40 months breast: 24 months kidney: variable depending on medical condition but may be as short as 6 months or as long as 4-5 years lung: 6-7 months