Please confirm topic selection

Are you sure you want to trigger topic in your Anconeus AI algorithm?

Please confirm action

You are done for today with this topic.

Would you like to start learning session with this topic items scheduled for future?

Images
https://upload.orthobullets.com/topic/1027/images/Xray - Lat - Die-punch_moved.jpg
https://upload.orthobullets.com/topic/1027/images/Xray - Lat - Smith Fx_moved.gif
https://upload.orthobullets.com/topic/1027/images/b02a9ce0-f153-4f43-8a86-60736f4b6d11_colles_illustration..jpg
https://upload.orthobullets.com/topic/1027/images/7133a2a8-88e4-4c4e-880b-2c853e55cf37_dorsal_barton_illustration..jpg
https://upload.orthobullets.com/topic/1027/images/4204ff56-28e8-4c39-abef-eea02b78815b_dorsal_bartonxray..jpg
https://upload.orthobullets.com/topic/1027/images/ee0561f5-52e8-4c33-8efb-65093d439a6a_chaffeur_fx.jpg
https://upload.orthobullets.com/topic/1027/images/fbed9450-c928-47c1-a92f-34d0633540bc_colles_fracture_xr.jpg
https://upload.orthobullets.com/topic/1027/images/screen_shot_2017-04-01_at_11.23.23_am.jpg
https://upload.orthobullets.com/topic/1027/images/screen_shot_2017-04-01_at_11.23.37_am.jpg
  • Summary
    • Distal radius fractures are the most common orthopaedic injury and generally result from fall on an outstretched hand.
    • Diagnosis is made clinically and radiographically with orthogonal radiographs of the wrist
    • Treatment can be nonoperative or operative depending on fracture stability and fracture displacement as well as patient age and activity demands 
  • Epidemiology
    • Incidence
      • accounts for 17.5% of all fractures in adults
        • lifetime risk is 15% for women and 2% for men
    • Demographics
      • more common in females (2-3:1)
      • bimodal distribution
        • younger patients due to high energy mechanisms
        • older patients due to low energy mechanisms (i.e. FOOSH)
          • considered fragility fracture and warrants further bone density workup 
    • Anatomic location
      • Approximately 65% extra-articular, 10% partial articular, and 25% complete
    • Risk factors
      • osteoporosis
        • high incidence of distal radius fractures in women > 50 years old
        • distal radius fractures are a predictor of subsequent fractures
          • DEXA scan is recommended for older patients with distal radius fractures and/or lower energy mechanisms
  • Etiology
    • Pathophysiology
      • mechanism of injury
        • fall on outstretched hand (FOOSH) from standing height is most common in older population
        • higher energy mechanism more common in younger patients, particularly motor vehicle collisions
    • Associated conditions
      • radial styloid fractures
        • indicates higher energy mechanism
      • soft tissue injuries - seen in 70%
        • TFCC injury (40%)
        • scapholunate ligament injury (30%)
        • lunotriquetral ligament injury (15%)
  • Anatomy
    • Osteology
      • distal radius
        • responsible for 80% of axial load
        • articulates with
          • scaphoid
            • via scaphoid fossa
          • lunate
            • via lunate fossa
          • distal ulna
            • via ulnar/sigmoid notch
        • comprised of 3 columns
          • radial column
            • includes the radial styloid and scaphoid fossa
            • radial styloid is a relatively volar structure
              • important consideration for placement of radial styloid pin or screw
            • functions
              • attachment sites for the brachioradialis tendon, long radiolunate ligament, and radioscaphocapitate ligament
                •  radioscaphocapitate ligament prevents ulnar translation of the carpus
              • serves as a buttress to resist radial carpal translation
              • functions as a load-bearing platform for activities performed with the wrist in ulnar deviation
              • holds the carpus out to length radially, allowing a more uniform distribution of load across the scaphoid and lunate facets
          • intermediate column
            • lunate fossa
            • functions
              • transmits load from the carpus to the forearm
            • origin of short radiolunate ligament
              • important for radiocarpal joint stability 
          • ulnar column
            • includes the TFCC and distal ulna
            • functions
              • stability of the DRUJ
              • forearm rotation
        • Lister's Tubercle
          • On dorsal surface of distal radius, approximately 1 cm proximal to articular surface
          • EPL tendon lies just ulnar to tubercle before taking sharp turn into the thumb
          • Important landmark to avoid EPL attritional rupture with long volar plate screws
        • Watershed region
          • Most volar and prominent aspect of distal radius
          • Lunate portion is most prominent with vital short radiolunate ligament attachment for radiocarpal stability
          • Important region to remain proximal to for volar plate fixation
  • Classification
    • Fernandez
      • based on mechanism of injury
    • Frykman
      • based on joint involvement (radiocarpal and/or radioulnar) +/- ulnar styloid fracture
    • Melone
      • divides intra-articular fractures into 4 types based on displacement
    • AO
      • comprehensive but cumbersome
    • Eponyms
      • Eponyms
      • Name
      • Description
      • Illustration
      • X-ray
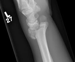
      • Die-punch fx
      • Depressed fracture of the lunate fossa of the articular surface of the distal radius
      • Fracture-dislocation of radiocarpal joint with intra-articular fx involving the volar lip
      • Dorsal Barton
      • Fracture-dislocation of radiocarpal joint with intra-articular fx involving the dorsal lip
      • Chauffer's fx
      • Transverse or oblique radial styloid fx
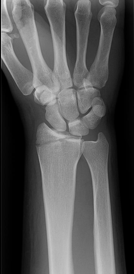
      • Colles' fx
      • Dorsally angulated, extra-articular fx
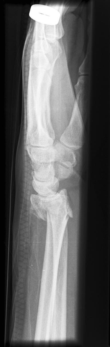
      • Smith's fx
      • Volarly angulated, extra-articular fx
  • Presentation
    • History
      • usually a fall onto outstretched hand (FOOSH)
    • Symptoms
      • wrist pain 
      • wrist swelling
      • wrist deformity
    • Physical exam
      • inspection
        • ecchymosis & swelling
        • diffuse tenderness
        • visible deformity if displaced
      • motion
        • limited by pain
  • Imaging
    • Radiographs
      • recommended views
        • AP
        • lateral
        • oblique
      • findings
      • Radiographic criteria
      • Measurement
      • Normal
      • Acceptable criteria
      • Radial height (AP)
      • 13mm
      • < 5mm shortening
      • Radial inclination (AP)
      • 23°
      • Change < 5°
      • Articular stepoff (AP)
      • Congruous
      • < 2 mm stepoff
      • Volar tilt (Lateral)
      • 11°
      • Dorsal angulation < 5° or within 20° of contralateral distal radius
    • CT
      • indications
        • evaluate intra-articular involvement
        • surgical planning
    • MRI
      • indications
        • evaluate for soft tissue injury
          • TFCC injuries
          • scapholunate ligament injuries (DISI)
          • lunotriquetral injuries (VISI)
  • Treatment
    • Nonoperative
      • closed reduction and immobilization
        • indications
          • extra-articular
          • < 5mm radial shortening
          • dorsal angulation < 5° or within 20° of contralateral distal radius
        • technique
          • immobilization can be in below arm cast or splint depending on fracture pattern
    • Operative
      • closed reduction percutaneous pinning (CRPP)
        • indications
          • extra-articular fracture with stable volar cortex
        • outcomes
          • 82-90% good results if used appropriately
      • open reduction internal fixation (ORIF)
        • indications
          • radiographic findings indicating instability (pre-reduction radiographs best predictor of stability)
          • dorsal angulation > 5° or > 20° of contralateral distal radius
          • volar or dorsal comminution
          • displaced intra-articular fractures > 2mm
          • radial shortening > 5mm
          • associated ulnar fracture
            • associated ulnar styloid fractures do not require fixation
          • severe osteoporosis
          • articular margin fractures (dorsal and volar Barton's fractures)
            • the volar ulnar corner (critical corner) supports the volar lunate facet with its strong radiolunate ligament attachments
            • failure to address this fragment can result in volar carpal subluxation
          • comminuted and displaced extra-articular fractures (Smith's fractures)
          • die-punch fractures
          • progressive loss of volar tilt and radial length following closed reduction and casting
      • external fixation (Exfix)
        • indications
          • open fractures
          • highly comminuted fractures
          • medically unstable patients unable to undergo a lengthy procedure
        • outcomes
          • important adjunct with 80-90% good/excellent results
          • alone cannot reliably restore 10° palmar tilt
            • therefore usually combined with percutaneous pinning technique or plate fixation
  • Techniques
    • Closed reduction and immobilization
      • technique
        • reduction
          • requires adequate anesthesia
          • apply longitudinal traction and volar/dorsal pressure to the distal fracture fragment
        • immobilization
          • can be in below elbow cast or splint depending on fracture pattern and patient
          • avoid positions of extreme flexion and ulnar deviation (Cotton-Loder Position)
            • due to risk of carpal tunnel syndrome
        • rehabilitation
          • no significant benefit of physical therapy over home exercises for simple distal radius fractures treated with cast immobilization
        • outcomes
          • repeat closed reductions have < 50% satisfactory results
          • LaFontaine predictors of instability
            • radial shortening is the most predictive of instability, followed by dorsal comminution
            • severe osteoporosis
            • associated ulnar fracture
            • dorsal comminution > 50%, palmar comminution, intraarticular comminution
            • dorsal angulation > 20°
            • initial displacement > 1cm
            • initial radial shortening > 5mm
          • higher loss of reduction with 3 or more of LaFontaine criteria
          • Meta-analyses and systematic reviews demonstrate no difference in functional outcomes between closed treatment versus operative methods in elderly patients (>65 years old)
        • complications specific to this treatment
          • acute carpal tunnel syndrome
          • EPL rupture
    • CRPP
      • technique
        • Kapandji intrafocal technique
          • K wires are placed dorsally into the fracture and used as reduction tools until they are driven into the proximal radius
        • Rayhack technique with arthroscopically assisted reduction
      • complications specific to this treatment
        • radial sensory nerve injury
        • pin tract infections
    • ORIF
      • technique guides
        • distal radius extra-articular fracture ORIF with volar approach
        • distal radius intra-articular fracture ORIF with dorsal approach
      • types
        • volar plating
          • preferred over dorsal plating
          • associated with irritation of both flexor and extensor tendons
            • rupture of FPL is most common with volar plates
              • associated with plate placement distal to watershed area, the most volar margin of the radius closest to the flexor tendons
          • can have hyperesthesia over the base of the thenar eminence due to palmar cutaneous nerve injury during retraction of the digital flexor tendons when plating the distal radius
          • new volar locking plates offer improved support to subchondral bone
        • dorsal plating
          • indicated for displaced intra-articular distal radius fractures with dorsal comminution, polytrauma patients, or elderly patients
          • can allow immediate post operative weight bearing (front wheel walker assistance)
          • avoids complications associated with wrist-spanning external fixators but similarly must be removed via second surgery
          • historically associated with extensor tendon irritation and rupture
      • technique
        • can combine with external fixation and percutaneous pinning
        • perform bone grafting if complex and comminuted
          • the utilization of calcium phosphate demonstrates radiographic evidence of successful incorporation into the host bone at 1 year postoperatively
          • calcium phosphate possesses osteoconductive and osteointegration capabilities allowing for incorporation into host bone 
        • study showed improved results with arthroscopically-assisted reduction
        • volar lunate facet fragments may require fragment-specific fixation to prevent early postoperative failure
      • complications specific to this treatment
        • screw penetration into the radiocarpal joint or DRUJ
          • assess intra-articular screws with a 23 degree elevated lateral view
          • assess dorsal cortex penetration with a skyline view
        • tendon rupture
      • outcomes
        • Formal hand therapy has been shown to improve DASH scores and active range of motion at 6 weeks but not at long term follow-up when compared to self-directed home exercise programs 
    • External fixation
      • technique guides
        • distal radius fracture spanning external fixator
        • distal radius fracture non-spanning external fixator
      • types
        • spanning ex-fix
          • useful for fractures with small articular fragment
        • non-spanning ex-fix
          • useful for fractures with large articular fragment
      • technique
        • relies on ligamentotaxis to maintain reduction
        • place radial shaft pins under direct visualization to avoid injury to superficial radial nerve
        • avoid overdistraction (carpal distraction < 5mm in neutral position) and excessive volar flexion and ulnar deviation
        • limit duration to 8 weeks and perform aggressive OT to maintain digital ROM
      • complications specific to this treatment
        • malunion
        • nonunion
        • stiffness and decreased grip strength
        • pin complications (infections, fractures through pin site, skin difficulties)
          • pin site care comprising daily showers and dry dressings recommended
        • neurologic (iatrogenic injury to radial sensory nerve, median neuropathy, RSD)
  • Complications
    • Median nerve neuropathy (CTS)
      • incidence
        • most frequent neurologic complication
        • seen in 1-12% of low energy fxs and 30% of high energy fxs
      • risk factors
        • prevent by avoiding immobilization in excessive wrist flexion and ulnar deviation (Cotton-Loder position)
      • treatment
        • acute carpal tunnel release
          • indications
            • progressive paresthesias, weakness in thumb opposition
            • paresthesias that do not respond to reduction and last > 24-48 hours
    • Ulnar nerve neuropathy
      • risk factors
        • DRUJ injury
    • EPL rupture
      • risk factors
        • nondisplaced distal radial fractures have a higher rate of spontaneous rupture of the EPL tendon
          • extensor mechanism is thought to impinge on the tendon following a nondisplaced fracture and causes either a mechanical attrition or a local area of ischemia in the tendon
        • volar plating with screw fixation that penetrates the dorsal cortex and is proud dorsally
      • treatment
        • EIP to EPL transfer
    • FPL rupture
      • risk factors
        • very distal volar plate placement on the radius (distal to watershed line) is associated with FPL rupture
          • due to physical contact of tendon on plate and subsequent tendinopathy
    • Radiocarpal arthrosis (2-30%)
      • incidence
        • 90% young adults will develop symptomatic arthrosis if articular stepoff > 1-2mm
      • may also be nonsymptomatic
    • Malunion/nonunion
      • intra-articular malunion
        • treatment
          • revision at > 6 weeks
      • extra-articular angulation malunion
        •  dorsal angulation > 10° from neutral results in increased stiffness of the interosseous membrane and limitation of simulated forearm pronation and supination 
        • treatment
          • opening wedge osteotomy with ORIF and bone grafting
          • delayed procedure associated with higher need for bone grafting and a more difficult procedure 
      • radial shortening malunion
        • radial shortening associated with greatest loss of wrist function and degenerative changes in extra-articular fractures
        • treatment
          • ulnar shortening
    • ECU or EDM entrapment
      • risk factors
        • DRUJ injury
    • Compartment syndrome
    • RSD/CRPS
      • prevention
        • AAOS 2010 clinical practice guidelines recommend vitamin C supplementation to prevent incidence of RSD postoperatively
        • subsequent analyses show no benefit to vitamin C
        • strong evidence to suggest the efficacy of prompt physiotherapy, lidocaine, ketamine, bisphosphonates, sympathectomy and brachial plexus blocks
  • Prognosis
    • Poor functional outcomes associated with
      • worker's compensation
      • low socioeconomic status
      • low education levels
      • low bone density
    • Successful outcomes correlate with
      • accuracy of articular reduction
      • restoration of anatomic relationships
      • early efforts to regain motion of wrist and fingers
flashcard locked
Create a free account or log in to see the cards.
Question
1 of 51
Trauma | Distal Radius Fractures
  • Trauma
  • - Distal Radius Fractures
26:21 min
10/16/2019
7212 plays
5.0
  • star icon star icon star icon
  • star icon star icon star icon
  • star icon star icon star icon
  • star icon star icon star icon
  • star icon star icon star icon
(11)
Private Note