Please confirm topic selection

Are you sure you want to trigger topic in your Anconeus AI algorithm?

Please confirm action

You are done for today with this topic.

Would you like to start learning session with this topic items scheduled for future?

Updated: Dec 8 2025

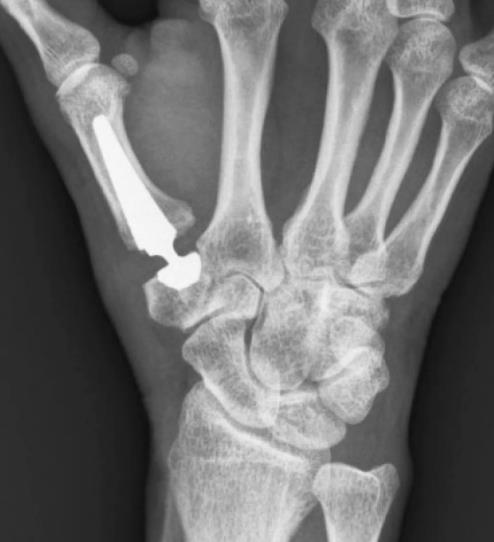
TOUCH® CMC 1 Prosthesis

Images
https://upload.orthobullets.com/topic/423315/images/1d1a44af-a756-4156-8d96-39f96f6e557c_screenshot_2025-12-04_at_12.32.15_pm.jpg
https://upload.orthobullets.com/topic/423315/images/b8dec1a5-e509-453b-af87-53e57b2661d8_402_2025_5926_fig2_html.jpg
  • Summary
    • The TOUCH® CMC 1 prosthesis is a cementless, dual-mobility ball-and-socket total arthroplasty for the thumb carpometacarpal joint intended for adults with Eaton–Littler stage II–III osteoarthritis after failed nonoperative care
    • Compared with trapeziectomy/LRTI, the design rationale is to preserve thumb length and pinch by replacing the diseased articulation and using a dual-mobility liner intended to reduce impingement and dislocation; available evidence is manufacturer-reported and long-term data are still accumulating
    • U.S. labeling restricts use to adults and the device is implanted cementlessly via a dorsal approach with dedicated instruments; surgeons should consult the official IFU for complete prescribing information
  • Indications
    • The device is indicated for primary total replacement of the thumb CMC joint in adults (≥22 years) with symptomatic Eaton–Littler stage II or III osteoarthritis after failure of conservative management
    • Standard trapeziectomy/LRTI remains appropriate when bone stock or size is inadequate for press-fit fixation, when deformity or instability is severe, or when patient factors increase the risk of loosening or failure; surgeons should be prepared for conversion if necessary
    • Contraindications
      • acute or chronic local or systemic infection and severe neuromuscular or vascular deficiency affecting the joint
      • bone quality or quantity insufficient for fixation or bone dimensions incompatible with available sizes
      • known material hypersensitivity including stainless steel constituents
      • concomitant conditions likely to compromise implant function or rehabilitation
      • relative risk factors include strenuous manual labor, STT osteoarthritis, systemic or metabolic disease, smoking, heavy alcohol use, osteoporosis or osteomalacia, cystic bone changes, severe deformity, obesity, and poor adherence to postoperative care
  • Biological Mechanics
    • Implant materials
      • metacarpal stem made of titanium alloy with titanium plasma-spray and hydroxyapatite coating for press-fit fixation
      • trapezial cup made of stainless steel with titanium plasma-spray and hydroxyapatite coating, available in spherical and conical geometries
      • modular neck in stainless steel with a cross-linked UHMWPE liner providing dual-mobility articulation
      • components are non-absorbable, single-use, and not intended for cement fixation
    • Kinematics
      • ball-and-socket dual-mobility construct designed to permit opposition, abduction, and retropulsion while increasing jump distance to mitigate dislocation
      • intraoperative stability depends on cup orientation, stem position, and neck length or offset, with checks for impingement, cam effect, and the piston effect
      • neck selection is used to balance stability and range of motion while avoiding over-tensioning or under-tensioning
    • Biologic integration
      • hydroxyapatite over titanium plasma-spray coatings are intended to promote bone ongrowth and ingrowth for long-term biological fixation
      • primary stability relies on accurate press-fit preparation that preserves cancellous and subchondral bone
      • long-term stability may be influenced by bone quality, load sharing, activity level, and precise cup centering and orientation
  • Epidemiology
    • Thumb CMC osteoarthritis is common in middle-aged and older adults and often leads to pain with pinch and grasp
    • Demographics
      • age typically in the 50s to 70s, with earlier presentation in post-traumatic or high-demand patients
      • sex shows a higher prevalence in women with post-menopausal predominance
      • race shows the condition across populations; clear race-based differences are not firmly established
    • Measures
      • incidence described as common among degenerative hand conditions
      • prevalence high among middle-aged and older adults, with symptomatic cases driving care utilization
      • risk factors include ligamentous laxity, repetitive manual work, prior trauma, and generalized osteoarthritis
    • Volume
      • number of surgical cases reflects a substantial burden managed largely with trapeziectomy-based procedures
      • growth is driven by aging demographics and patient expectations
      • trends include renewed interest in implant arthroplasty in selected patients with an ongoing need for high-quality comparative data
  • Anatomy
    • Osteology
      • the trapezium and first metacarpal base form a saddle joint near the STT joint and scaphoid, affecting planning and pain sources
    • Muscles
      • thenar musculature generates opposition and pinch and must be balanced to reduce impingement or instability after arthroplasty
    • Ligaments
      • stabilizers include the anterior oblique ligament, dorsoradial ligament complex, and intermetacarpal ligament; degeneration and laxity contribute to subluxation and osteoarthritis
    • Nerves
      • superficial radial nerve branches lie near the dorsal incision and are at risk during exposure
    • Blood supply
      • segmental vascularity to the trapezium and first metacarpal supports bone healing; preserving subchondral bone may aid cup purchase and osteointegration
  • Preoperative Planning
    • Imaging
      • standard views include frontal and lateral projections with specific hand positioning; the lateral should show MP sesamoids overlapping, and the frontal should not show MP sesamoids while visualizing trapezium-surrounding joint spaces
      • CT can be used to assess bone stock and complex morphology
    • Assessment
      • confirm disease stage, evaluate bone quality and size, and screen for STT osteoarthritis, ligament laxity, and prior surgery
      • review occupation, activity level, comorbidities, and concomitant conditions such as De Quervain or carpal tunnel
      • counsel about activity limitations and the possibility of secondary procedures including conversion to trapeziectomy
    • Sizing
      • plan stem size by canal dimensions to achieve cancellous contact without cortical violation
      • select cup shape and size to match trapezial morphology and bone stock
      • choose neck length and offset to balance stability and motion while avoiding cam effect or instability
  • Approach
    • The technique describes a dorsal approach with an incision centered two-thirds over the metacarpal and one-third over the trapezium, followed by capsulotomy and full capsuloligamentous release to mobilize the metacarpal base while protecting superficial radial nerve branches
  • Technique
    • Metacarpal preparation
      • resect the metacarpal base perpendicular to the shaft while respecting the volar beak
      • open the canal dorsally and broach sequentially from XS upward, preserving cancellous bone and avoiding oversizing or cortical perforation
      • insert a stem trial and resect the volar beak to prevent intraosseous impingement; maintain the trial or stem during trapezial work to reduce fracture risk
    • Trapezium preparation
      • remove osteophytes and horns and create a flat surface while preserving hard central subchondral bone for cup stability
      • center a straight K-wire perpendicular to the prepared surface and confirm position in both planes
      • ream over the K-wire starting with the cannulated starter and then geometry-matched reamers, typically beginning with diameter 9, and assess trial self-holding stability
      • implant the final cup by washing, drying, pressing, and gently impacting until the coated surface is seated with the non-coated rim visible
    • Trial reduction and final implantation
      • trial necks of 6, 8, or 10 mm in straight or 15 degree offset configurations and avoid over-tensioning and mechanical impingement
      • insert the final stem if not already seated, clean the taper, align stem pin with neck groove, and impact the final neck acknowledging that a small residual stem–neck gap is expected
      • reduce and assess laxity and the piston effect together with a full motion arc to exclude impingement or intra-prosthetic conflict
      • apply a soft dressing that maintains the first web space open for approximately two weeks
  • Technical specifications
    • Stem sizes include XS and 0 through 4 in titanium alloy with titanium plasma-spray and hydroxyapatite coating for press-fit fixation
    • Cup options include spherical and conical shapes in diameters 9 and 10 mm made of stainless steel with titanium plasma-spray and hydroxyapatite coating for press-fit fixation
    • Neck options include straight and 15 degree offset in lengths 6, 8, and 10 mm coupled with a cross-linked UHMWPE liner providing dual mobility
    • Compatibility allows mixing of sizes within the system; cement use and mixing manufacturers are not indicated
    • Complications
      • potential events include infection, hematoma, pain, tendon disorders including De Quervain and trigger thumb, stiffness, nerve irritation, complex regional pain syndrome, perioperative fractures, metallosis, osteolysis, heterotopic ossification, loosening or migration, dislocation, mechanical failure, and need for secondary surgery including revision or conversion
      • manufacturer-reported data from the pivotal cohort noted nine secondary surgical interventions among 149 TOUCH implants within 24 months compared with one among 76 LRTI procedures; comparative interpretation is limited by propensity-score methodology and statistical concerns noted by regulators
      • manufacturer-summarized European series totaling 823 implants reported an overall revision or removal rate of about 2.7 percent with follow-up extending to at least six years; these are non-U.S. real-world data and not registry level
  • Pearls & Pitfalls
    • Pearls
      • mobilize the metacarpal base fully to enable accurate cup centering
      • preserve cancellous bone during broaching and avoid chasing cortical contact
      • perform a deliberate volar beak resection to reduce impingement and dislocation risk
      • remove trapezial osteophytes and horns before centering to avoid false bulk cues
      • confirm K-wire position in both planes before reaming and repeat placement if needed
      • ream over the K-wire beginning with diameter 9 and verify trial self-holding stability
      • select neck length and offset to balance stability and motion while checking for cam and piston effects
      • leave a trial or stem during trapezial preparation to reduce fracture risk
      • irrigate and dry interfaces and ensure taper cleanliness before seating the final neck
      • use a soft dressing that preserves the web space and set expectations for activity modification
    • Pitfalls
      • miscentered cup from inadequate osteophyte removal or poor K-wire control causing instability or edge loading
      • over-broaching of the metacarpal leading to thin cortices, perforation, or poor press-fit
      • under-resection of the volar beak or incomplete volar release leading to impingement or dislocation
      • over-tensioning with long or offset necks causing stiffness or cam effect and under-tensioning causing laxity
      • failure to address concomitant STT osteoarthritis or soft-tissue pathology leading to persistent pain
      • inadequate protection of superficial radial nerve branches resulting in dysesthesia
      • use of cement or mixed-manufacturer components that is outside indications
      • lack of planning for or failure to recognize the need for conversion to trapeziectomy or LRTI in problematic cases
flashcard locked
Create a free account or log in to see the cards.
Private Note