Please confirm topic selection

Are you sure you want to trigger topic in your Anconeus AI algorithm?

Please confirm action

You are done for today with this topic.

Would you like to start learning session with this topic items scheduled for future?

Updated: Nov 12 2025

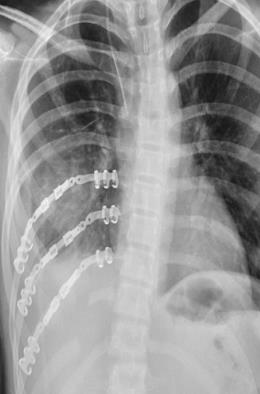
STRACOS™ Strasbourg Costale Osteosynthese System

Images
https://upload.orthobullets.com/topic/423281/images/d6db9fc1-7574-41ee-82f7-99a54de46121_screenshot_2025-09-29_at_3.41.34_pm.jpg
https://upload.orthobullets.com/topic/423281/images/e7a52d2c-395e-4af5-86a3-b13f40996473_screenshot_2025-09-15_at_12.48.20_pm.jpg
  • Summary
    • The STRACOS (Strasbourg Costale Osteosynthese) System is a titanium chest wall fixation platform that uses malleable rib and sternal clips, rather than plates and screws, to stabilize rib fractures, flail segments, and sternal injuries.
    • According to manufacturer information, the 3D rib clips and sternal clips are preassembled and can be bent and twisted in three dimensions to conform to individual rib and sternal anatomy, providing functionally stable but non-rigid osteosynthesis.
    • The screwless construct is intended to preserve physiologic chest wall motion while minimizing damage to the intercostal neurovascular bundle.
    • Manufacturer materials state that STRACOS may shorten intensive care and total hospital stay, reduce pain, and support good long-term outcomes, although these claims are based on manufacturer data rather than high-quality device-specific clinical trials.
    • Key points:
      • Titanium 3D rib clips with 6, 9, or 13 segments in standard and XL widths for transverse, oblique, and comminuted rib fractures, plus straight rib clips and serrated connecting bars for bridging segmental defects.
      • Titanium sternal double- and triple-clips in multiple size combinations for Angle of Louis fractures and multi-fragment sternal body fractures.
      • Screwless fixation with three-dimensionally formable clips designed to provide functionally stable, flexible osteosynthesis rather than rigid plating; only one universal rib fixation plier is needed for all rib clips.
      • Manufacturer-described clinical benefits include reduced pain, shorter intensive care and hospital stay, low complication rates, and improved chest wall mechanics, but robust independent outcome data specific to STRACOS are not yet available.
      • Intended for costal and sternal fractures after blunt thoracic trauma and chest wall reconstruction where bridging, fixation, repair, or reconstruction of ribs is necessary.
  • Indications
    • According to MedXpert and Fusion Innovations, STRACOS is used for surgical stabilization of costal and sternal fractures after blunt thoracic trauma and for chest wall reconstruction in situations where bridging, fixation, repair, or reconstruction of ribs is required.
    • Typical device use-cases include:
      • Surgical stabilization of single or multiple displaced rib fractures, whether transverse, oblique, or comminuted, either acutely or after failed conservative treatment.
      • Flail chest and chest wall instability where surgical stabilization of rib fractures is being considered as part of standard care.
      • Sternal fractures, including:
        • Angle of Louis fractures treated with sternal double-clips.
        • Transverse, oblique, or multi-fragment fractures of the sternal body requiring three clip segments with triple-clips.
      • Chest wall reconstruction using implant bridges, in which two rib clips are linked by a serrated connecting bar for comminuted fractures or segmental defects where direct apposition is not possible.
    • Manufacturer language emphasizes:
      • Prevention of pain-induced breathing restriction.
      • Prevention of secondary lung dysfunction related to chest wall instability.
      • Potential for early stabilization to shorten intensive treatment.
      • Reduced risk of neurovascular bundle damage by avoiding screws.
    • Typical patient scenarios where STRACOS may be considered, assuming alignment with formal instructions for use and local approvals, include:
      • Polytrauma with multiple displaced rib fractures and respiratory failure.
      • Ventilator-dependent patients in whom chest wall instability is a barrier to weaning.
      • Severe pain with impaired ventilation or secretion clearance despite optimized analgesia.
      • Symptomatic non-union or malunion of ribs or sternum.
    • Evidence context for surgical stabilization of rib fractures in general:
      • Meta-analyses and guidelines report reduced pneumonia, shorter mechanical ventilation, and decreased intensive care stay and often lower mortality in selected patients, particularly those with flail chest.
      • In severe non-flail injury patterns, randomized trials show more modest or uncertain benefit, with at least one trial demonstrating longer length of stay and no quality-of-life advantage for fixation over nonoperative management.
    • These data support surgical stabilization of rib fractures in carefully selected patients, but they are not specific to STRACOS, and surgeons should follow the STRACOS instructions for use, local regulatory approvals, and relevant society guidelines.
  • Anatomy
    • Osteology
      • The thoracic cage comprises 12 pairs of ribs, the sternum, and thoracic vertebrae.
      • Ribs 1 through 7 are true ribs, 8 through 10 are false ribs, and 11 and 12 are floating ribs.
      • Each rib has a head, neck, tubercle, angle, and shaft; fractures are common at the angle and mid-shaft, regions that must be spanned adequately by STRACOS clips.
      • Cortical thickness increases posteriorly, which may influence standard versus XL clip choice, especially for posterior rib segments.
      • The inferior margin of each rib contains the costal groove, housing the intercostal vein, artery, and nerve; clips must be applied so the segments encircle the rib without compressing this bundle.
      • The sternum consists of manubrium, body, and xiphoid.
      • The manubriosternal junction, or Angle of Louis, is a frequent fracture site and is specifically cited for double-clip fixation, while transverse or multi-fragment fractures of the sternal body generally require triple-clips.
    • Arthrology
      • Costovertebral and costotransverse joints anchor ribs to thoracic vertebrae and permit pump-handle and bucket-handle respiratory motion.
      • Costochondral junctions and sternocostal joints connect ribs and cartilages to the sternum and are critical for global chest wall excursion.
      • Clip constructs should restore alignment while avoiding overly rigid fixation across these functional joints, consistent with the STRACOS design goal of functionally stable but flexible osteosynthesis.
    • Muscles
      • Key muscles around the ribs and sternum influence incision planning and postoperative mechanics:
        • External intercostals, originating from the inferior border of the rib above and inserting on the superior border of the rib below, elevate the ribs during inspiration.
        • Internal and innermost intercostals, originating from the superior border of the rib below and inserting on the inferior border of the rib above, assist forced expiration and modulate rib motion.
        • Serratus anterior, originating from the lateral aspects of ribs 1 through 8 or 9 and inserting on the medial border of the scapula, protracts the scapula and stabilizes the lateral chest wall; it is often elevated in lateral or posterolateral approaches.
        • Pectoralis major, originating from the clavicle, sternum, and costal cartilages 1 through 6 and inserting on the lateral lip of the bicipital groove, contributes to adduction and internal rotation; its sternal head is mobilized in anterior chest wall approaches.
        • Pectoralis minor, originating from ribs 3 through 5 and inserting on the coracoid process, stabilizes the scapula and may be partially released for parasternal exposure.
        • Rectus abdominis, originating from the pubic crest and symphysis and inserting on the xiphoid and costal cartilages 5 through 7, produces trunk flexion and increases intra-abdominal pressure; it is relevant near the lower sternum and xiphoid.
        • The diaphragm, with costal origin from inner surfaces of ribs 7 through 12 and their cartilages, lies close to lower rib reconstructions and implant bridges.
    • Tendons
      • Important tendinous structures include:
        • The pectoralis major tendon, inserting on the humerus; the sternal and costal origin helps guide flap design and should be preserved when possible.
        • The tendinous insertion of rectus abdominis, onto the xiphoid and adjacent costal cartilages; preservation maintains abdominal wall function in lower sternotomy-type approaches.
        • The sternal head of sternocleidomastoid, originating from the manubrium; it is relevant in high manubrial exposures.
    • Ligaments
      • Radiate sternocostal ligaments stabilize costal cartilages to the sternum and may be partially released during sternal exposure.
      • Costotransverse ligaments, including proper, superior, and lateral components, support the posterior rib–vertebral articulation; surgeons should avoid unnecessary disruption when exposing posterior ribs for clip placement.
    • Blood supply
      • Basic considerations:
        • Posterior intercostal arteries arise from the thoracic aorta, while anterior intercostals branch from the internal thoracic arteries.
        • Veins parallel arteries and drain to the azygos and internal thoracic systems.
      • Advanced considerations:
        • The intercostal neurovascular bundle lies in the inferior costal groove; STRACOS clips are applied so segments close around the rib without compressing the bundle, aligning with the design intent of limiting neurovascular injury.
        • The internal thoracic arteries run approximately 1 to 2 cm lateral to the sternum; care is required when placing parasternal rib clips or sternal clips.
        • Segmental variability and the small cross-section of posterior ribs may favor XL rib clips for adequate bone contact.
  • Approach
    • Patient selection and timing
      • Candidate selection for surgical stabilization of rib fractures using STRACOS generally follows contemporary indications for rib fixation.
      • Appropriate candidates include those with unstable chest wall with flail segments, multiple displaced rib fractures with respiratory compromise or intractable pain, and selected non-flail patterns where fixation is expected to improve respiratory mechanics or pain control.
      • Guidelines and meta-analyses support early stabilization within about 48 to 72 hours in appropriate patients, particularly those with flail chest and ventilator dependence.
    • Imaging and preoperative planning
      • Thin-slice computed tomography with three-dimensional reconstructions is used to map fracture levels, degree of displacement, and comminution.
      • Flail segments, segmental defects, and sternal fractures are identified to plan which ribs and sternal segments to stabilize and where implant bridges may be necessary.
      • Rib diameter and sternal width are estimated to guide the choice between standard and XL rib clips and the appropriate sternal clip size.
    • Positioning and anesthesia
      • Lateral or semi-lateral decubitus positioning is used for posterolateral and lateral rib fractures, and supine positioning is used for anterior and parasternal ribs and the sternum.
      • Single-lumen intubation is adequate for most open approaches, although one-lung ventilation may be helpful when procedures are combined with thoracotomy.
      • Multimodal analgesia, including epidural, paravertebral, or regional blocks such as serratus plane blocks, is used to facilitate early extubation.
    • Surgical approaches
      • For rib fixation, muscle-sparing lateral or posterolateral thoracotomy-style incisions are used, aligned with rib orientation to maximize exposure while preserving serratus and latissimus attachments when possible.
      • For sternal fixation, a midline incision centered over the fracture is used, with elevation of pectoralis muscles and careful dissection to preserve internal thoracic arteries.
      • In all approaches, meticulous identification and protection of the intercostal neurovascular bundle and mediastinal structures are essential, especially during clip closure and bar crimping.
  • Technique
    • General principles
      • STRACOS uses pre-assembled titanium 3D rib clips and sternal clips that can be shaped three-dimensionally by axial torquing and horizontal bending to match the patient anatomy.
      • According to the manufacturer, this design provides functionally stable, flexible osteosynthesis rather than rigid plating and reduces intraoperative configuration time because each clip is a single integrated implant.
      • All bending should be performed slowly, and repeated bending of the same segment should be avoided to prevent structural changes in the titanium.
    • Rib fixation with 3D rib clips
      • Preoperative decision on clip type, based on manufacturer guidance:
        • Use a 6-segment 3D rib clip for fractures nearly perpendicular to the rib axis.
        • Use a 9-segment 3D rib clip for oblique fractures.
        • Use a 13-segment 3D rib clip for comminuted, spiral, or very oblique fractures.
        • Choose standard versus XL based on rib diameter, with approximate internal widths of 21 millimeters and 25.4 millimeters.
      • Key steps for rib fixation:
        • Exposure and preparation:
          • Expose target ribs via a muscle-sparing incision.
          • Preserve periosteum and intercostal musculature where possible while gaining sufficient circumferential access for clip placement.
          • Identify and protect the intercostal neurovascular bundle in the costal groove.
        • Initial contouring:
          • Use three-point bending pliers to adjust the rib clip curvature along the rib longitudinal axis, placing the two pins of the plier into the clip holes and altering alignment by closing the plier.
          • Use flat-nosed pliers in pairs for horizontal bending and axial torquing, particularly in rib segments with rotational deformity or complex curvature.
        • Positioning across the fracture:
          • Center the clip so that multiple segments secure intact bone on both sides of the fracture.
          • Avoid placing segments directly over costochondral junctions unless necessary.
        • Closing the rib clip:
          • Place the universal rib clip fixation plier vertically on the clip and close fully.
          • Allow the hold-down device to stabilize the clip while lateral jaws bend the segments around the rib to achieve uniform circumferential grip.
          • Inspect to ensure that the clip is secure and that the neurovascular bundle is not compressed.
        • Implant bridges for defects:
          • For segmental defects or reconstruction, use two straight rib clips, standard or XL, connected by a fully serrated titanium connecting bar of 190 or 230 millimeters.
          • After positioning and affixing rib clips on stable bone away from the defect, cut the bar to length with implant cutting pliers.
          • Completely serrated bars may be shortened anywhere, whereas partially serrated bars must retain at least 15 millimeters of serrated length on each side for secure crimping.
          • Insert the bar into the clip connectors and crimp with straight or angled crimping pliers, applying pressure in at least three steps along the connector, with built-in stops preventing over-pressing.
      • Manufacturer warning regarding rib clips:
        • Three-dimensional rib clips with 6, 9, or 13 segments should not be shortened by cutting off segments, as this can compromise fixation stability.
    • Sternal fixation with double and triple clips
      • Implant selection:
        • Triple sternal clips in small, medium, large, and mixed combinations such as small and small and medium or medium and medium and large are recommended for transverse, oblique, and multi-fragment fractures of the sternal body requiring three clip segments for secure stabilization.
        • Double sternal clips in small, medium, large, and mixed combinations are recommended solely for Angle of Louis fractures.
        • Sternal width is measured with a dedicated implant sizer inserted into the intercostal spaces, and clip size is selected based on a small, medium, large, or extra-large scale with nominal widths around 29, 36, and 43 millimeters.
      • Stepwise technique for sternal fixation:
        • Exposure and reduction:
          • Make a midline incision over the sternum and elevate pectoralis muscles to expose the fracture.
          • Debride interposed tissue and reduce the fracture anatomically.
          • Maintain reduction with sternal repositioning forceps if needed.
        • Preforming the sternal clip:
          • Place the selected clip on the sternum so that segments correspond to intercostal spaces.
          • Apply preforming pliers vertically on the clip and close fully, allowing the hold-down device to stabilize the clip while lateral claws partially shape segments around the sternum.
        • Final forming:
          • Use final forming pliers segment by segment, resting the shortened jaw on the clip segment and using the elongated jaw to wrap the segment around the sternum and retrosternal surface.
          • Repeat on all segments bilaterally until each segment securely grips the sternum.
        • Adjusting segment spacing:
          • If intercostal spacing does not match the clip, use bar elongation pliers to lengthen or bar shortening pliers to shorten the rhombus-shaped interconnecting bar.
          • Adjust each rhombus by up to about 5 millimeters, using the built-in stop to prevent overstretching.
        • Final assessment:
          • Confirm symmetric fixation and stable fracture reduction.
          • Where visible, confirm preserved internal thoracic artery flow.
          • Irrigate, place drains as needed, and close soft tissues.
    • Pearls and pitfalls
      • Choose longer rib clips with 9 or 13 segments for oblique or comminuted fractures and do not shorten clips by cutting segments.
      • Use XL rib clips for thicker ribs, especially posteriorly, to ensure full circumferential grip without excessive compression.
      • When bridging defects, anchor rib clips to healthy bone well away from fracture ends before cutting and crimping the connecting bar.
      • During clip closure, maintain visualization of the costal groove to avoid neurovascular injury.
      • Use symmetric bending and careful application of bending tools to minimize malrotation of ribs or sternum.
      • For revision or removal, use flat-nosed pliers to slide under the segment and gently lift and open, recognizing that prior bending may have weakened the implant.
  • Technical specifications
    • Implants
      • Three-dimensional rib clips are available with 6, 9, and 13 segments in standard and XL widths, with approximate internal widths of 21 millimeters and 25.4 millimeters.
      • Straight rib clips in standard and XL sizes are available for use with connecting bars in bridging constructs.
      • Connecting bars are fully serrated titanium bars of 190 and 230 millimeters that can be cut to length intraoperatively.
      • Sternal clips are available as double- and triple-clips in small, medium, large, and mixed combinations, with nominal widths around 29, 36, and 43 millimeters.
      • All rib and sternal implants are made from grade 2 pure titanium, designated as material 3.7035 and conforming to ASTM B 265 grade 2 and ASTM F67 in accordance with DIN EN ISO 5832-2.
    • Instruments
      • The core instrument set includes:
        • Universal rib clip fixation pliers.
        • Implant cutting pliers for titanium connecting bars.
        • Three-point bending pliers for longitudinal axis adjustment of rib clips.
        • Straight and angled implant crimping pliers for bar–clip connections.
        • Flat-nosed bending and removal pliers for rib clips and bars.
        • Sternal clip preforming and final-forming pliers.
        • Sternal bar elongation and shortening pliers.
        • Sternal repositioning forceps and a sternal implant sizer.
      • MedXpert specifies that STRACOS implants are to be used only with the dedicated instrument set.
    • Sterilization
      • The system is supplied in a stainless-steel trauma sterilization container.
      • For reprocessing, implants and instruments must be removed from the container, placed on perforated trays, cleaned, and disinfected prior to sterilization in an automatic program.
      • The manufacturer strongly recommends reviewing the application manual and instructions for use and receiving formal product training before first clinical implementation.
  • Closing perspective
    • In the broader chest wall fixation landscape, STRACOS is a screwless, clip-based alternative to plate-and-screw and intramedullary systems.
    • Its three-dimensionally formable titanium rib and sternal clips, standardized implant portfolio, and focused instrument set are designed to provide functionally stable, non-rigid fixation with a relatively low hardware profile and potential protection of the neurovascular bundle.
    • Current high-quality clinical outcome data for surgical stabilization of rib fractures primarily derive from plate-and-screw constructs, and device-specific results for STRACOS remain limited.
    • As experience and clinical data accumulate, STRACOS may offer thoracic and orthopedic trauma surgeons a useful option for managing complex rib and sternal fractures and selected reconstruction cases where flexible, screwless fixation is desirable.
flashcard locked
Create a free account or log in to see the cards.
Private Note