Please confirm topic selection

Are you sure you want to trigger topic in your Anconeus AI algorithm?

Please confirm action

You are done for today with this topic.

Would you like to start learning session with this topic items scheduled for future?

Updated: Nov 13 2025

LapiLock 4D Advanced Bunion Correction

Images
https://upload.orthobullets.com/topic/423304/images/577a921c-f02a-4bf2-8838-ee4297d7321a_screenshot_2025-11-13_at_2.53.30_pm_copy.jpg
https://upload.orthobullets.com/topic/423304/images/ef54e543-bfe9-432b-abbc-70c14cb91362_2d-bunion-surgery-2-1024x1024_copy.jpg
https://upload.orthobullets.com/topic/423304/images/763e82fd-f15b-4cdd-84ac-488baa0461da_screenshot_2025-11-13_at_2.52.54_pm.jpg
https://upload.orthobullets.com/topic/423304/images/25870edb-c9b3-4d0d-a900-fcdf636d4868_screenshot_2025-11-13_at_2.57.30_pm_copy.jpg
  • Summary
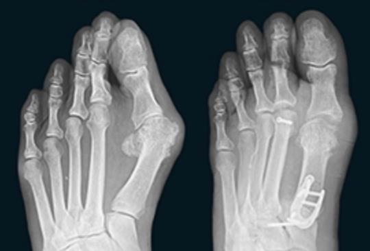
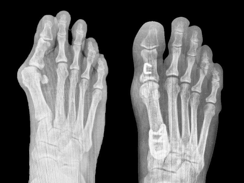
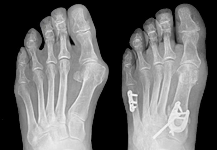
    • LapiLock 4D Advanced Bunion Correction is described in manufacturer materials as a non-powered orthopedic manual bone positioner and jig system used for Lapidus bunion correction at the first tarsometatarsal joint, focusing on realigning and fusing the first metatarsal–medial cuneiform articulation rather than simply shaving the medial eminence.
    • The system provides four coordinated adjustments: frontal-plane derotation of the first metatarsal via a proprietary arch and rotation arm, intermetatarsal angle correction by advancing a blue IM dial, plantarflexion or dorsiflexion of the first ray using a green screw and optional metatarsal positioner, and controlled compression or distraction of the first tarsometatarsal joint with a gold dial.
    • Manufacturer materials describe left- and right-specific jigs with color-coded controls, percutaneous metatarsal cups, and guided instrumentation that allow reproducible multiplanar correction while remaining hardware-agnostic, so that surgeons can pair the system with a range of Fusion Orthopedics plate, screw, and staple constructs for Lapidus fusion.
    • By shifting the correction proximally and addressing rotation, intermetatarsal divergence, and sagittal plane malalignment at the first tarsometatarsal joint, the system is intended to achieve a more anatomic and stable first-ray alignment than procedures that focus only on distal metatarsal osteotomy.
    • Within its cleared use, LapiLock 4D functions as a non-powered instrument that uses 2.0 mm guide and olive wires to manipulate and hold the first ray while the joint is prepared and fused with separately cleared Fusion Orthopedics fixation implants.
  • Related Implants
    • LapiLock serves as a triplanar bone positioner and joint preparation system; definitive fusion of the first metatarsometatarsocuneiform joint is achieved with plate, screw, and staple constructs from the Fusion Orthopedics portfolio, selected at the surgeon’s discretion once correction is obtained.
    • Manufacturer materials list 13 or more fixation options compatible with the system, including a U-Plate, a Neutral Lapidus Plate, Dual Slim constructs, T-Plate configurations, dual Lapidus plates, and two-plate constructs for more robust medial column constructs.
    • Additional options include the PolyLock U-Plate, DynaBridge nitinol staple constructs, Maverick plate constructs, IntraLock and other screw-based systems, as well as stand-alone screw constructs using HD, HL, FT, and 3.5 mm or 4.0 mm solid screws.
    • In practice, selection among these constructs is typically based on deformity severity, bone quality, need for torsional and bending stability, patient size and activity profile, and surgeon familiarity, rather than any inherent superiority of a single pattern.
    • Surgeons should reference the individual technique guides and instructions for use for each plate or staple system for details of plate contour, screw trajectory, and recommended postoperative protection, recognizing that LapiLock’s role is to deliver the alignment on which the chosen fixation strategy will build.
  • Indications
    • Manufacturer materials describe LapiLock as a non-powered orthopedic manual surgical instrument that uses 2.0 mm guide wires and olive wires to manipulate bones of the foot during Lapidus bunion correction.
    • The device is intended for tissue and bone manipulation as a bone positioner that specifically helps position and prepare the first metatarsocuneiform joint for arthrodesis; fusion is then performed using previously cleared Fusion Orthopedics fixation devices in conjunction with the jig.
    • In clinical terms, the typical candidate is an adult with symptomatic hallux valgus associated with first tarsometatarsal joint instability in whom pain, shoe-wear difficulty, or deformity interferes with daily function and who has been selected by the treating surgeon for a Lapidus-type fusion.
    • The system is not itself an implant and is used in combination with cleared class II fixation implants; surgeons are expected to integrate it into a broader treatment plan based on patient-specific anatomy, comorbidities, and functional demands.
    • Key manufacturer-stated contraindications include:
      • Active or suspected latent infection or marked local inflammation at or near the operative site.
      • Compromised vascularity that would inhibit adequate blood supply to the fusion site.
      • Bone stock compromised by disease, infection, or prior implantation such that it cannot provide adequate fixation.
      • Inadequate soft-tissue coverage over the operative site.
      • Known or suspected material sensitivity to device components.
      • Severe obesity that may generate loads leading to fixation or device failure.
      • Implant utilization that would interfere with normal anatomical structures or physiologic function.
      • Mental or neuromuscular disorders that could compromise postoperative care or create an unacceptable risk of fixation failure.
  • Anatomy
    • Osteology
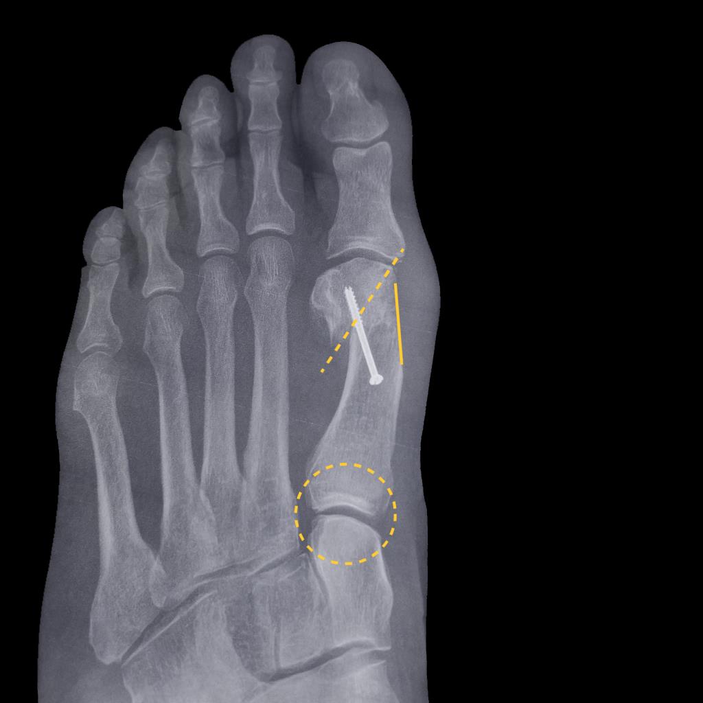
      • The Lapidus procedure targets the first metatarsal–medial cuneiform joint; the medial cuneiform forms part of the medial column and articulates laterally with the intermediate cuneiform and second metatarsal, which together anchor the Lisfranc complex.
      • Hallux valgus deformity commonly features an increased intermetatarsal angle between the first and second metatarsals, pronation of the first metatarsal around its longitudinal axis, and relative elevation or dorsiflexion of the first ray, with the sesamoid complex drifting lateral to the crista.
      • Correcting at the first tarsometatarsal joint allows reduction of the intermetatarsal angle, restoration of sesamoid position under the metatarsal head, and re-establishment of a stable medial column, which can be more biomechanically advantageous than correcting only at the distal first metatarsal.
    • Muscles
      • Tibialis anterior inserts on the medial cuneiform and base of the first metatarsal; in the technique guide, surgeons are reminded to consider this tendon when placing wires at the cuneiform level to avoid functional compromise.
      • Peroneus longus inserts on the plantar base of the first metatarsal and medial cuneiform and contributes to plantarflexion and stabilization of the first ray; changes in sagittal alignment at the fusion site alter its lever arm and loading pattern.
      • Intrinsic and extrinsic muscles crossing the first metatarsophalangeal joint, including the abductor and adductor hallucis, influence phalangeal alignment and are often addressed separate from the Lapidus fusion with capsular balancing or lateral release as needed.
    • Ligaments
      • The dorsal, plantar, and interosseous ligaments of the first tarsometatarsal joint and the Lisfranc complex provide primary static stability; ligamentous laxity or attenuation contributes to first-ray hypermobility and progression of hallux valgus.
      • Arthrodesis of the first tarsometatarsal joint with rigid fixation aims to eliminate pathologic motion at this level and redistribute load across a realigned medial column.
    • Nerves
      • A dorsomedial approach places the medial dorsal cutaneous branch of the superficial peroneal nerve at risk; the technique guide highlights a straight capsular incision and careful nerve protection to reduce postoperative neuritis or numbness.
      • Deep peroneal and plantar digital branches are less directly exposed but may be vulnerable to retractor placement and aggressive dorsal dissection, reinforcing the value of meticulous soft-tissue handling.
    • Blood supply
      • The first metatarsal head and shaft receive blood from dorsal and plantar metatarsal arteries, while the medial cuneiform is supplied by branches of the dorsalis pedis and plantar arch; excessive periosteal stripping or thermal injury from saw cuts may compromise this supply.
      • Preserving soft-tissue attachments where possible and minimizing unnecessary stripping around the fusion site is important for union, especially in smokers, patients with vascular disease, or those with systemic comorbidities that impair bone healing.
  • Approach
    • Manufacturer materials describe a standard dorsomedial incision over the first metatarsal–cuneiform joint, placed medial and parallel to the extensor hallucis longus tendon.
    • After skin and subcutaneous dissection, a straight capsular incision is used to expose the joint while carefully identifying and protecting the medial dorsal cutaneous nerve.
    • Subperiosteal elevation around the joint is performed sufficiently to allow placement of the cuneiform block, metatarsal cup, and later plate constructs, while attempting to maintain soft-tissue continuity and blood supply.
    • A percutaneous lateral release of the first metatarsophalangeal joint can be added at surgeon discretion to address lateral contracture and sesamoid position, depending on deformity severity and institutional practice.
    • This overview is not a substitute for the detailed steps in the surgical technique guide; surgeons should be trained in Lapidus procedures and follow official instructions for patient positioning, fluoroscopic views, and postoperative management.
  • Technique
    • Initial jig setup begins after joint exposure by attaching a single-use percutaneous metatarsal cup to the met cup block, aligning the dorsal notches, and pressing it into place. The met cup allows percutaneous capture of the metatarsal head while keeping soft-tissue disruption minimal.
    • A 2.0 mm set wire is placed across the first cuneiform and into the second cuneiform, serving as a stable reference; the cuneiform block is then slid over this wire through the plantar row center hole until a hard stop is reached, with the block oriented at 90 degrees to the rail.
    • The jig is secured to the cuneiform with a threaded or non-threaded olive wire through the dorsal row of the cuneiform block, and the rail is aligned parallel to the declination angle of the first metatarsal using a temporary short wire placed from the met cup block into the metatarsal head.
    • Frontal-plane derotation is performed by attaching the rotation arm to the met cup block, securing it with the purple dial, and placing a bicortical K-wire through the plantar notch of the rotation arm into the metatarsal; the temporary wire in the head is removed so that the metatarsal can rotate freely. A K-wire is then used as a joystick to derotate the metatarsal to neutral, with the rotation arm notches helping to hold the correction while definitive wires are placed.
    • Once the desired rotation is achieved, a bicortical short wire is placed through the met cup block into the metatarsal head and an additional K-wire is placed proximal to it to lock rotation; manufacturer guidance emphasizes maintaining two wires in the metatarsal at all times during correction and avoiding trajectories that cross into the second metatarsal.
    • Transverse-plane intermetatarsal angle correction is achieved by turning the blue IM dial clockwise to close the space between the first and second metatarsal bases. As the IM angle closes, the base of the first metatarsal may abut the cuneiform; if tension is encountered on the blue dial, the joint is distracted with the gold dial to relieve binding before further IM correction and finger-tightening of the IM lock.
    • Sagittal-plane correction of first-ray elevation is performed by loosening the green screw, distracting the joint as needed, manually adjusting plantarflexion or dorsiflexion based on lateral fluoroscopy, and re-tightening the green screw. For more precise control, the metatarsal positioner can be attached to the met cup block and fixed to the metatarsal with an olive wire; turning the purple dial on the positioner allows the base to be pulled medially and fine-tuned, with each full rotation creating a small, quantifiable change in spacing between the first and second metatarsals.
    • Joint preparation is performed after distraction of the first tarsometatarsal joint using the gold dial. Surgeons can use the YOCO single Lapidus power curette to resect the cuneiform side under fluoroscopic control using the metatarsal base as a reference, the double YOCO curette to prepare both joint surfaces simultaneously, or a sagittal saw to make parallel cuts; the goal is minimal yet complete cartilage removal and flat, coaptive bone surfaces.
    • The technique guide advises intermittent cleaning of the YOCO cutting flutes and copious irrigation to minimize heat and clogging. After preparation, the gold dial is used to compress the joint, and fluoroscopy confirms bone-on-bone apposition, restoration of the IM angle, corrected rotation, and appropriate sagittal plane position before definitive fixation.
    • If necessary, temporary fixation with olive wires or K-wires can be used across the fusion site. The jig is then removed according to the manufacturer’s removal sequence to avoid interference with plate or screw placement, after which final implants are placed and the fusion site is recompressed and imaged.
    • Pearls
      • Maintain two stable wires in the metatarsal during correction to avoid inadvertent loss of rotation or alignment when adjusting the dials.
      • Confirm frontal-plane rotation early using AP fluoroscopic views and sesamoid position, as under-correction of pronation is difficult to address after plate placement.
      • Protect the tibialis anterior tendon and medial dorsal cutaneous nerve during wire and jig placement, particularly at the cuneiform and dorsal foot.
      • Use fluoroscopy to verify that joint preparation extends to the plantar and dorsal cortices, not just the central portion of the joint, to maximize fusion surface area.
      • Consider using the metatarsal positioner when sagittal plane control is critical, such as in cavus or flatfoot backgrounds where first-ray position strongly influences forefoot load sharing.
    • Pitfalls
      • Under-correction of first-metatarsal pronation can leave residual sesamoid malalignment and may predispose to recurrent deformity despite apparent correction on standard AP radiographs.
      • Over-plantarflexion or dorsiflexion of the first ray can shift load toward the medial or lateral forefoot, leading to transfer metatarsalgia or hardware-related symptoms.
      • Incomplete joint preparation, especially leaving residual cartilage at the plantar or dorsal margins, may compromise fusion and increase the risk of delayed union or nonunion.
      • Poor wire trajectory that violates the second metatarsal or conflicts with planned plate and screw positions can limit fixation options and require intraoperative plan changes.
      • Removing the jig before confirming that definitive fixation reproduces the compressed position can result in subtle loss of correction if compression is not re-established across the arthrodesis site.
  • Technical specifications
    • The LapiLock 4D system is a fulcrum-free, non-powered jig and dial construct designed to provide frontal-plane derotation, intermetatarsal angle correction, sagittal plantar/dorsal flexion adjustment, and controlled compression or distraction of the first tarsometatarsal joint without placing hard counterpressure against the second metatarsal.
    • The core system uses 2.0 mm guide wires and olive wires to secure the cuneiform block and met cup, with right- and left-specific jigs that incorporate a cuneiform block, met cup block with disposable percutaneous cups, a rotation arm, and a rail that is aligned parallel to the first metatarsal declination angle.
    • Color-coded controls include a blue IM dial for transverse-plane correction and locking, a green screw for plantar/dorsal flexion adjustment, a purple dial for rotation arm and metatarsal positioner control, and a gold compression/distraction dial for the fusion site.
    • System instrumentation listed in manufacturer materials includes YOCO single and double Lapidus power curettes, an angled osteotome, a 2.0 mm fenestration drill, tissue protector handles, standard K-wires in multiple diameters, threaded and non-threaded olive wires, a metatarsal positioner, a short wire and depth gauge, a non-ratcheting driver, and a dedicated triplanar correction system tray.
    • Implant system families named in the LapiLock documentation include DynaBridge, FuzeFix, IntraLock, PolyLock, and other Fusion Orthopedics plate and screw constructs, with the understanding that exact implant size, screw length, and configuration should be selected based on manufacturer guidelines, intraoperative assessment, and surgeon preference.
  • Screws
    • Manufacturer materials reference multiple screw types used with LapiLock-guided correction, including HD, HL, and FT screws and 3.5 mm and 4.0 mm solid screws, which can be configured as lag screws across the first tarsometatarsal joint, as part of plate constructs, or as stand-alone cross-joint screws depending on the fixation strategy.
    • In general, at least one compression screw oriented as close as possible to perpendicular to the prepared joint surface is desirable to achieve interfragmentary compression, while locking screws in a plate construct can add resistance to torsion, shear, and bending.
    • Screw trajectory planning should account for the intended plate position, the location of the sesamoids and adjacent joints, and the use of any additional staples or cross-screws; bicortical purchase is preferred when anatomy permits, but care must be taken to avoid violating nearby articulations or neurovascular structures.
    • Two-plate constructs, combinations of lag screws with dorsal or medial plates, or staple-augmented constructs may be considered in osteopenic bone, larger patients, or those in whom early protected weight-bearing is desired, provided this remains within the limits of the chosen implant system’s recommendations.
    • Precise multiplanar correction using the LapiLock jig, meticulous joint preparation with YOCO curettes or saw cuts, and thoughtful selection of plate and screw constructs together influence fusion stability, maintenance of correction over time, and the design of postoperative rehabilitation and weight-bearing protocols.
    • This article is an educational summary for surgeons; you should rely on your own training, clinical judgment, and the official LapiLock surgical technique guide and device instructions for use when planning and performing operative procedures with this system.
flashcard locked
Create a free account or log in to see the cards.
Private Note