Please confirm topic selection

Are you sure you want to trigger topic in your Anconeus AI algorithm?

Please confirm action

You are done for today with this topic.

Would you like to start learning session with this topic items scheduled for future?

Updated: Jan 23 2026

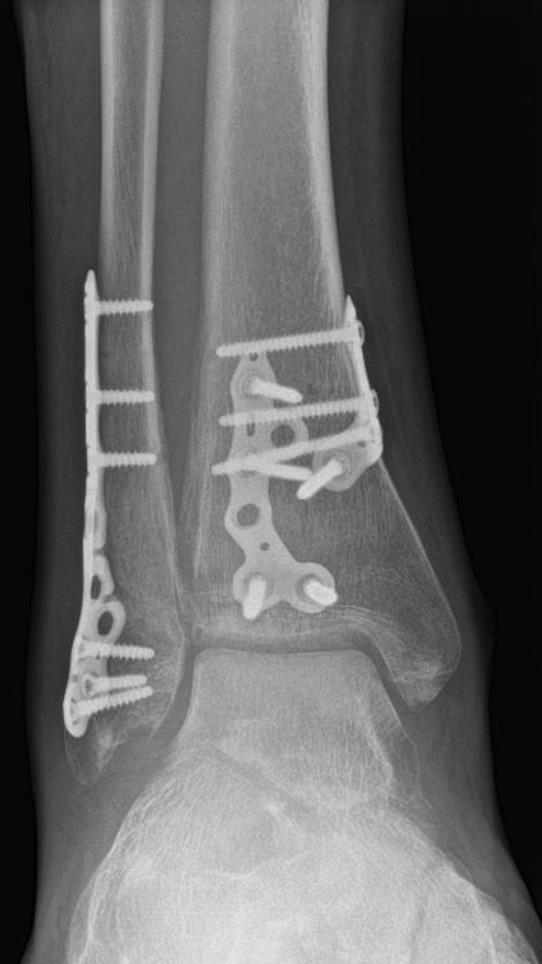
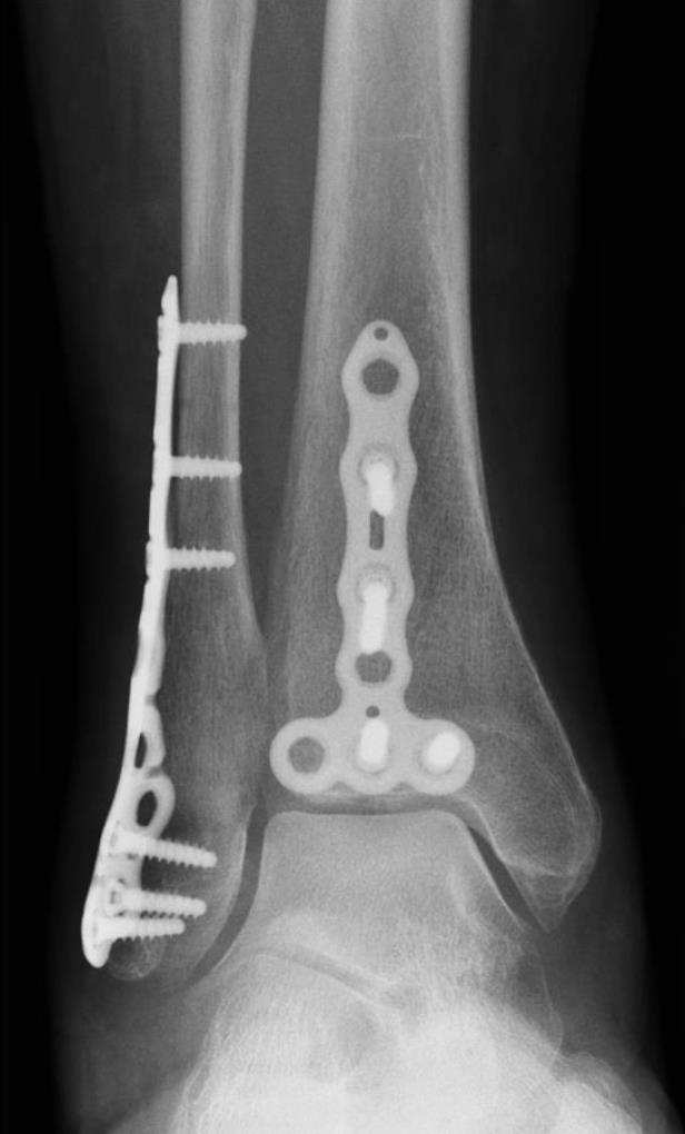
Volition® Ankle Fracture Plating

Images
https://upload.orthobullets.com/topic/423287/images/bb0ba454-49e3-4c49-a225-2ffeaccefe04_2a-2b-volition-plate-x-ray..jpg
https://upload.orthobullets.com/topic/423287/images/8b156092-1560-4c97-af84-5ee6d10a4e00_screenshot_2026-01-12_at_10.21.01_am.jpg
https://upload.orthobullets.com/topic/423287/images/79f1c401-00d8-42c0-8408-a24c01a9795d_screenshot_2026-01-12_at_10.20.54_am.jpg
https://upload.orthobullets.com/topic/423287/images/c8667921-14c7-4bb8-9ca0-83d167b12e16_screenshot_2026-01-12_at_10.26.16_am.jpg
https://upload.orthobullets.com/topic/423287/images/d4c15a04-5344-4c2a-a1b6-a7dfbdc0662b_screenshot_2026-01-12_at_10.26.19_am.jpg
  • Summary
    • VolitionTM Ankle Fracture Plates are available in six varieties: anatomic fibula plate, straight fibula plate, anatomic medial malleolar plate, posteromedial tibial plates (Type IIB), posterolateral tibial plates (Type IIA) and posterior tibial plates (Type III).
      • the posterior tibial fracture plates are designed around the mason & molloy posterior malleolar fracture classification 
    • VolitionTM Plating System non-locking screws are compatible with washers and any screw hole in the plates.
    • VolitionTM Plating System locking screws are compatible with any screw hole.
  • Biological Materials
    • Plates
      • type II anodize plates produce anti-galling properties + Type III anodize screws result in minimizing coldwelding for easier implant removal, if required
      • utilize softer plate material/alloy
  • Indications
    • Indications
      • ankle fractures
      • malleolar fractures
      • distal fibula fractures
      • medial malleolus fractures
      • posterior malleolar fractures
      • unstable fracture patterns
      • displaced fractures
      • comminuted fractures
      • revision fixation
    • Contraindications
      • active infection
      • severe osteoporosis
      • compromised vascularity
      • poor soft tissue
      • implant hypersensitivity
      • skeletal immaturity
      • noncompliant patients
  • Anatomy
    • Osteology
      • distal fibula
        • lateral column support
        • fibular length/rotation affects mortise congruency and syndesmotic alignment
      • medial malleolus
        • anterior/posterior collicular fragments can contribute to medial stability depending on pattern
      • posterior malleolus/posterior plafond fragments
        • consider fragment size, articular impaction, and syndesmotic attachment footprint when planning fixation
      • syndesmotic region
        • distal tibiofibular incisura relationship
        • assess for malreduction risk and screw/construct planning needs
    • Muscles
      • lateral approach
        • peroneal tendons posterior to fibula
        • respect retinacular structures
      • posterolateral corridor
        • interval near peroneals and flexor hallucis longus
        • posterior fragment access with attention to soft-tissue envelope
      • posteromedial corridor
        • posterior tibial tendon/FDL/FHL region
        • protect neurovascular bundle
    • Ligaments
      • deltoid ligament
        • medial stability considerations
        • correlate with fracture pattern and mortise alignment
      • syndesmotic complex
        • AITFL/PITFL attachment considerations, including relevance to posterior malleolus and wagstaffe-type avulsions
      • posterior capsule
        • posterior approach dissection and fixation proximity reminders
    • Nerves
      • superficial peroneal nerve
        • lateral exposure risk (variable course)
        • identify/protect during distal fibular exposure
      • sural nerve
        • posterolateral approach risk
        • protect with careful subcutaneous handling
      • tibial nerve branches
        • posteromedial approach risk
        • maintain safe planes and protect the neurovascular bundle
    • Blood supply
      • anterior tibial contribution
        • anterior ankle/dorsal soft-tissue handling reminders
      • peroneal contribution
        • lateral/posterolateral soft-tissue handling reminders
      • posterior tibial contribution
        • posteromedial dissection reminders
        • prioritize atraumatic retraction and hemostasis
  • Approach
    • Medial and lateral malleolus
      • use standard approaches and techniques for medial and lateral malleolar fracture fixation 
    • Posterior tibia/posterior malleolus
      • summarize the manufacturer-depicted approach guidance tied to fracture type
        • posterolateral approach advised for type iia fractures
        • medial-posteromedial approach advised for type iib fractures
        • posteromedial approach advised for type iii fractures
      • approach choice depends on fracture pattern, soft tissues, and surgeon judgment
  • Technique
    • Approach & fracture reduction
      • expose the anatomy, then clean and reduce the fracture per standard fracture care and protocols
      • provisional fixation
        • k-wires may be used to temporarily hold reduced bone fragments in place 
        • olive wires may be inserted in screw holes or wire slots; k-wires may be used through specific k-wire holes or wire slots to temporarily affix the plate (manufacturer materials)
        • warning: k-wires/olive wires are not intended as permanent implants 
    • Screw and washer fixation (without plate)
      • when screws may be used without a plate 
        • non-locking screws may be used to stabilize fractures without a plate; compatible washers are provided for optional use
      • washers
        • compatibility: washers are for use with non-locking screws (locking screws are not compatible with washers)
        • trajectory precaution: when intending to use a washer, do not exceed the ±15° conical range of compatible trajectories
      • lag technique reminder
        • for compression with fully threaded screws used without a plate, use appropriate lag-drilling technique to apply compression between fragments
        • lag technique may also be required for partially threaded cannulated screws (manufacturer materials)
      • drilling + guides
        • drill pilot and lag (glide) holes using appropriately sized drill bits and hand-held drill guides
        • drill bits feature an AO connector for powered drills with AO couplers
        • pilot hole drill bits/guides: single-stripe colored band
        • lag drill bits/guides: double-stripe colored band
        • note: variable-angle (conical) drill guides and the depth gauge extension are compatible with all 3 diameters of pilot hole drill bits and therefore have no colored bands
      • depth measurement
        • depth gauge extension method
          • optionally thread into the top of the hand-held pilot hole drill guide
        • read the first digit from the drill bit and the second digit from the drill guide
          • example: “5” on drill bit + “0” on guide = 50 mm
        • alternate depth probe method
          • if pilot hole depth wasn’t measured during drilling, measure with the standard depth probe by placing the narrow end of the outer housing against the near cortex and hooking the far cortex
        • precaution
          • do not attempt to read depth measurements from the top of drill guides
          • use depth measurement instruments only as instructed
      • countersink + insertion
        • countersink is optional to minimize screw head prominence when used without a plate or washer
          • precaution: do not use countersink with powered instruments
        • insert screw using the AO screwdriver bit and AO handle
    • Plate fixation
      • plate selection and fit
        • choose a plate to capture the bone fragments
        • fit the plate to the bone as needed
          • optional bending instruments: plate bending pliers and plate bending irons may be used to contour plates
        • precautions
          • avoid contouring where possible
          • if necessary, avoid sharp bends, reverse bends, and bending at a screw hole
          • excessive contouring may reduce fatigue strength
          • use only OrthoSolutions instruments per specified protocols
      • provisional fixation through plate
        • provisionally affix the plate with two or more olive wires and/or Ø1.6 mm k-wires before screw insertion
        • olive wires may be inserted through any screw hole, k-wire hole, or wire slot
        • Ø1.6 mm k-wires may be inserted through k-wire holes or wire slots as depicted
          • warning: do not use Ø2.0 mm k-wires through the plates
      • drilling and screw insertion through plate
        • on-axis drilling
          • use fixed-angle (tower) drill guides 
        • off-axis drilling
          •  use variable-angle (conical) drill guides threaded into the plate hole 
        • variable-angle (conical) range
          • stated range: ±15° conical range through plate holes
          • warning: do not exceed the ±15° conical range in any screw hole, especially when intending to use a washer
        • depth measurement and insertion reminders
          • if depth not measured during drilling, use the standard depth probe against near cortex/plate hole and hook far cortex
          • precaution: do not use screwdriver bits with powered instruments
      • special scenario 
        • unstable wagstaffe fragment
          • suggested: pass suture through the two specific holes adjacent to the wagstaffe fragment and into the AITFL as illustrated 
      • finalize fixation
        • implant as many screws as necessary to stabilize the bone fragments 
        • additional screws may be implanted outside the plate as needed, per screw and washer fixation (without plate) technique
    • Surgery completion
      • remove temporary fixation wires, instruments, and other non-implantable components prior to completion of surgery
      • confirm positioning in 2 planes with fluoroscopy
      • close per surgeon preference
  • Technical specifications
    • Plate families
      • lateral anatomical fibular plate
      • posterolateral tibial plates (type iia)
      • posteromedial tibial plates (type iib)
      • posterior tibial plates (type iii)
      • medial plate
      • straight plate
        • available in several lengths ranging from 2 hole up to 8 hole
    • Screw trajectory
      • manufacturer-specified conical trajectory allowance through plate holes: ±15°
    • Instrumentation overview
      • provisional fixation
        • olive wires and k-wires via screw holes, k-wire holes, and/or wire slots (plate-dependent)
      • drill guides
        • fixed-angle (tower) for on-axis; variable-angle (conical) for off-axis
      • depth instruments
        • depth gauge extension (two-digit readout method) and standard depth probe
      • bending tools
        • plate bending pliers and plate bending irons
  • Screws
    • Compatibility summary
      • locking screws
        • compatible with any screw hole
        • not compatible with washers
      • non-locking screws
        • compatible with washers
        • compatible with any screw hole
    • Diameters available 
      • Ø2.7 mm
      • Ø3.5 mm
      • Ø4.0 mm
    • Drill bit size compatibility
      • Ø2.7 mm screw
        • pilot drill bit: Ø1.9 mm
        • lag drill bit: Ø2.71 mm
      • Ø3.5 mm screw
        • pilot drill bit: Ø2.4 mm
        • lag drill bit: Ø3.5 mm
      • Ø4.0 mm screw
        • pilot drill bit: Ø2.71 mm
        • lag drill bit: Ø4.0 mm
      • note: the Ø2.7/Ø2.71 mm drill bit and drill guides are dual purpose (pilot for Ø4.0 screws; lag for Ø2.7 screws)
    • Drill guide color-band convention 
      • pilot guides
        •  single-stripe colored band
      • lag guides
        • double-stripe colored band
    • Key precautions 
      • do not exceed the stated conical trajectory range (especially when using a washer)
      • do not read depth from the top of drill guides; use depth measurement instruments as instructed
      • do not use countersink or screwdriver bits with powered instruments
flashcard locked
Create a free account or log in to see the cards.
Private Note