Please confirm topic selection

Are you sure you want to trigger topic in your Anconeus AI algorithm?

Please confirm action

You are done for today with this topic.

Would you like to start learning session with this topic items scheduled for future?

Updated: Sep 15 2025

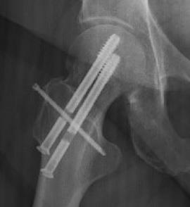
SimpliFix Hip System

Images
https://upload.orthobullets.com/topic/423279/images/b69643c3-5015-4596-a56f-6cef640d073e_screenshot_2025-09-11_at_9.32.56_am.jpg
https://upload.orthobullets.com/topic/423279/images/15b51c6c-1dd5-44f7-86ba-b8763b948a62_screenshot_2025-09-11_at_9.32.48_am.jpg
https://upload.orthobullets.com/topic/423279/images/b16f8902-38e0-4269-85d4-dab0147e531d_screenshot_2025-09-11_at_9.32.45_am.jpg
  • Summary
    • The SimpliFix Hip System is a percutaneous fixation construct for minimally displaced or non-displaced intracapsular femoral neck fractures, designed to mitigate complications seen with parallel screw constructs or dynamic hip screw alone. The system pairs two large-diameter cannulated screws with a targeted headless cross screw that keys through a slot in the superior screw to add rotational control. Using a dedicated targeting arm, the surgeon selects 0 mm (no dynamization) or 3 mm (controlled settling) of compression to help resist femoral neck shortening while maintaining native neck length and femoral offset.
    • The cross-screw technique enhances rotational stability and helps prevent lateral head migration, supporting alignment and reducing the risk of additional shortening. Preserving femoral neck length correlates with improved pain and function in postoperative recovery, making controlled compression and rotational control clinically meaningful endpoints.
  • Indications
    • Fracture fixation of large bones and large bone fragments, including
      • Femoral neck fractures
      • Slipped capital femoral epiphyses (SCFE)
      • Adjunct to dynamic hip screw in basilar neck fractures
    • Contraindications
      • Intertrochanteric (AO 31-A3) and subtrochanteric fractures
      • Active or latent infection, including sepsis
      • Inadequate bone or soft tissue quantity or quality
      • Suspected material sensitivity (test prior to implantation)
      • Noncompliance with postoperative care
      • Not intended for pedicle fixation of the cervical, thoracic, or lumbar spine
  • Anatomy
    • Osteology
      • The femoral head–neck junction, calcar femorale, basilar neck, and the greater and lesser trochanters define the working corridors.
      • SimpliFix trajectories place an inferior calcar screw for axial support and a central–superior screw oriented toward the anterior–superior head, preserving bone stock while providing a dedicated slot for the cross screw.
      • These vectors resist varus collapse and shortening.
    • Muscles
      • A lateral percutaneous corridor respects the gluteus medius and minimus and avoids detachment of the short external rotators, facilitating a mini-open approach with minimal soft-tissue morbidity.
    • Ligaments and capsule
      • The iliofemoral, ischiofemoral, and pubofemoral ligaments constrain the intracapsular environment. Surgeon-selected 0 mm or 3 mm settling enables compression without uncontrolled collapse across the capsular envelope.
    • Nerves
      • Respect the superior gluteal nerve by using a safe lateral window; plan skin incisions to avoid the lateral femoral cutaneous nerve.
    • Blood supply
      • Preserve medial femoral circumflex artery retinacular vessels by minimizing rotational instability and avoiding iatrogenic intra-articular penetration; the blunt screw head is designed to reduce articular cutout risk.
  • Approach
    • Patient position
      • Supine on a fracture table.
    • Fluoroscopic assessment
      • Establish reproducible anteroposterior and lateral visualization of the proximal femur before placing any guidewires.
    • Exposure
      • Approximately 3–4 cm mid-lateral incision 2–3 cm distal to the tip of the greater trochanter; percutaneous or mini-open corridor to bone.
  • Technique
    • Use concise, image-guided steps; confirm anteroposterior and lateral images frequently.
    • Insert inferior Ø 2.4 mm guidewire along the inferior calcar; stop approximately 5 mm below the subchondral surface.
    • Insert superior Ø 2.4 mm guidewire toward the anterior–superior femoral head; stop approximately 5 mm short of the joint. Verify both trajectories on anteroposterior and lateral before proceeding.
    • Measure the inferior wire with the slide-on depth gauge; confirm SimpliFix cannulated screw length.
    • Overdrill the inferior wire with a Ø 6.2 mm cannulated drill; maintain guidewire purchase.
    • Drive and seat the inferior SimpliFix cannulated screw (Ø 8.3 mm, 16 mm thread, blunt, self-tapping head).
    • Power to near seat; then hand-seat with the paddle handle to cortical contact.
    • Remove the inferior wire.
    • Measure the superior wire; confirm length. Overdrill the superior wire (Ø 6.2 mm).
    • Assemble the SimpliFix T-handle and retaining bolt; secure the superior SimpliFix screw (ensure fins engage the mating slots).
    • Drive and seat to cortical contact, orienting the T-handle to clear the cross-screw path. 
    • Remove the superior wire.
    • Install the targeting arm on the T-handle; confirm rotational position on anteroposterior and lateral. 
      • Optional: place a Ø 2.4 mm anti-rotation pin through the arm.
    • Assemble the cross-screw sleeve, drill guide, and trocar; lower to skin, make a stab incision, seat to bone, and lock the sleeve.
    • Select compression: choose 0 mm (no dynamization) or 3 mm (controlled settling) on the targeting arm.
    • Pre-drill the cross-screw hole with a Ø 2.7 mm calibrated drill, bicortical; optional tap test with a Ø 2.4 mm wire to confirm passage through the superior SimpliFix slot.
    • Confirm cross-screw length from the drill’s calibration markings with the sleeve seated on bone.
    • Insert the headless cross screw (Ø 3.7 mm) with a T8 driver; power to near seat, then hand-seat to cortex. 
      • Optionally retract the sleeve slightly to confirm full seating under fluoroscopy. 
      • Remove the sleeve and targeting arm.
    • Remove the T-handle (loosen the retaining bolt).
    • Final verification: anteroposterior and lateral fluoroscopy to confirm reduction, implant positions, and cross-screw engagement with the superior screw slot.
  • Technical Specifications (concise)
    • Implant material: Titanium Ti-6Al-4V ELI
    • Guidewires: Ø 2.4 mm, 305 mm (trocar or drill-tip; sterile, single-use)
    • Cannulated drill: Ø 6.2 mm (250 mm)
    • Calibrated drill: Ø 2.7 mm (270 mm)
  • Screws
    • SimpliFix Cannulated Screws (SFX): Ø 8.3 mm; 16 mm thread; blunt, self-tapping head designed to minimize articular cutout; available lengths approximately 70–120 mm.
    • SimpliFix Headless Cross Screws (SCS): Ø 3.7 mm, fully threaded; typical lengths approximately 45–90 mm; inserted greater-to-lesser trochanter via the targeting arm for rotational control and resistance to lateral head migration.
flashcard locked
Create a free account or log in to see the cards.
Private Note