Please confirm topic selection

Are you sure you want to trigger topic in your Anconeus AI algorithm?

Please confirm action

You are done for today with this topic.

Would you like to start learning session with this topic items scheduled for future?

Updated: Jan 10 2026

Deep Vein Thrombosis

  • Summary
    • Deep vein thrombosis (DVT) is a common complication that is caused by a blood clot originating in deep veins and propagating proximally. This condition most commonly presents in middle-aged and elderly adults with swelling and pain in the calf.
    • Diagnosis is made in combination with a clinical examination that demonstrates calf pain and swelling, as well as advanced imaging (e.g., duplex ultrasound).
    • Treatment of DVT is primarily anticoagulation to prevent further morbidity, and in some instances, thrombolytic therapy and/or surgical intervention is indicated.
  • Introduction
    • Introduction
      • procedures associated with a greater risk of DVT
        • spine fracture with paralysis
        • elective total knee arthroplasty
          • 2-3X greater rate of DVT than THA
        • elective total hip arthroplasty
          • no increased risk in patients with Factor V Leiden
        • hip fracture
        • polytrauma
      • based on AAOS review, the rate of DVT does not correlate with PE or death following THA or TKA
  • Epidemiology
    • Incidence
      • 80 cases per 100,000 per year
      • 1 lower extremity case per 1,000 each year
      • 2.5-5% of the population is affected
    • Demographics
      • rare in children
      • typically >40 years of age
      • unknown sex bias
      • African American and White populations are at increased risk
    • Location
      • upper extremity
      • lower extremity
        • proximal location
          • above knee
        • distal location
          • below knee
            • axial
            • muscular
    • Risk factors
      • immobilization
      • mechanical compression
      • trauma
      • history of DVT
      • surgery
      • polycythemia vera
      • thrombocytosis
      • dehydration
  • Etiology
    • Pathophysiology
      • mechanism
        • virchow's triad
          • hypercoagulable state
          • venous stasis
          • injury to endothelium
      • pathoanatomy
        • thrombin interaction with the endothelium stimulates cytokine production and leukocyte adhesion
        • thrombus propagation is dependent on the balance between coagulation and thrombolytic pathways
    • Associated conditions
      • medical
        • malignancy
        • congestive heart failure
        • destructive airway disease
      • orthopedic
        • patients undergoing surgery
  • Anatomy
    • Upper extremity
      • deep veins
        • radial 
        • ulnar
        • brachial
        • axillary
        • subclavian
        • internal jugular
        • brachiocephalic
    • Lower extremity
      • proximal
        • popliteal vein and proximal
      • distal
        • axial
          • peroneal
          • anterior tibial
          • posterior tibial
        • muscular
          • intra-muscular soleal
          • gastrocnemius
  • Presentation
    • History
      • previous surgery
      • state of hypercoagulability
      • recent immobilization
      • recent injury
    • Symptoms
      • common
        • extremity swelling (70%)
        • calf pain (50%)
        • redness
        • warmth
    • Physical exam
      • often more helpful than imaging
        • lower extremity swelling (unilateral or bilateral)
        • erythema and warmth of skin
        • dilated veins
        • tenderness with palpation
        • Homan's sign is not very specific
  • Imaging
    • Contrast venography
      • historical gold standard
        • venous contrast with fluoroscopy
        • invasive procedure with direct visualization of venous clot
        • can be used when ultrasound is unavailable or inconclusive
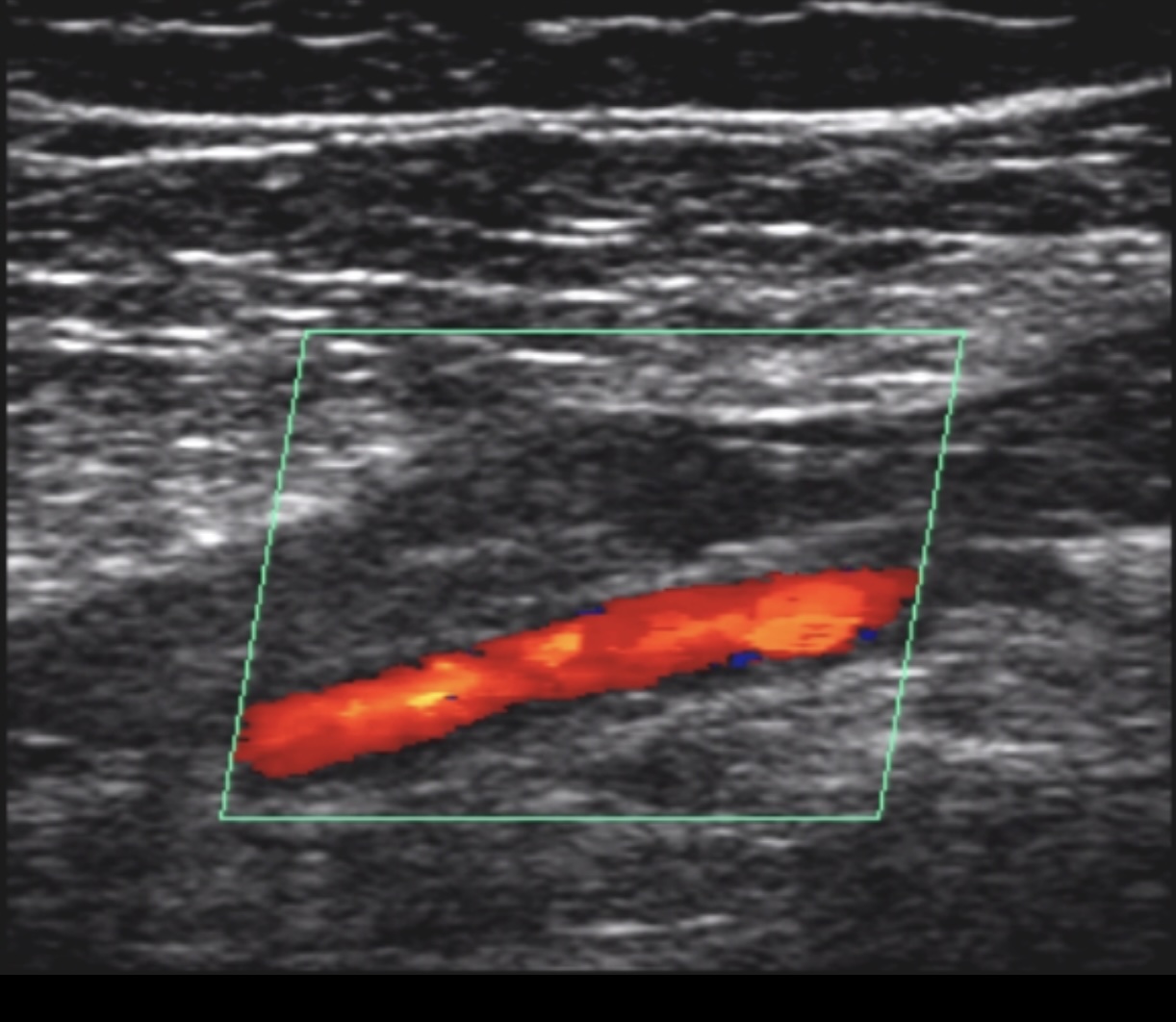
    • Ultrasonography
      • complete duplex ultrasound
        • first-line imaging modality
          • non-invasive and inexpensive
        • 96% sensitive, 97% specific; operator dependent
          • routine duplex screening is not recommended
        • findings
          • non-compressible venous segment
          • loss of phasic flow with Valsalva maneuver
          • increased flow in superficial veins
    • Advanced imaging
      • Magnetic resonance direct thrombus imaging (MRDTI)
        • MRI with contrast dye to visualize venous thrombus
        • 90% sensitive, 90% specific
        • not widely used
        •  alternative to duplex ultrasound
      • CT venography
        • CT scan with contrast dye to visualize venous thrombus
        • 90% sensitive, 95% specific
        • useful when pulmonary embolism is suspected or following an inconclusive ultrasound study
    • Additional information
      • for proximal DVTs (proximal to trifurcation)
        • complete duplex ultrasound (96% sensitive, 97% specific)
        • plethysmography (75% sensitive, 90% specific)
        • CT (90% sensitive, 95% specific)
  • Studies
    • D-Dimer testing
      • high sensitivity (low specificity) for VTE
        • excludes VTE without the need for further testing among patients with a low clinical probability of PE
      • not helpful post-injury or surgery
      • levels > 500 ng/mL suggest the presence of PE
  • Differential
    • Cellulitis
      • infectious laboratory findings
    • Post-thrombotic syndrome
      • history of DVT, chronic swelling, and venous stasis ulcers
    • Ruptured Baker cyst
      • ultrasound findings without a venous thrombus
    • Trauma
      • radiographs demonstrating an underlying fracture that is causing edema and pain
    • Superficial thrombophlebitis
      • cord-like superficial vein on exam with superficial venous thrombus on ultrasound
    • Congestive heart failure
      • notable medical history with chronic bilateral lower extremity peripheral edema
    • Nephrotic syndrome
      • notable medical history with chronic bilateral lower extremity peripheral edema
    • Liver cirrhosis
      • notable medical history with chronic bilateral lower extremity peripheral edema
  • Treatment
    • Nonoperative
      • Oral anticoagulation therapy
        • indications
          • postoperative DVT above knee
          • treatment for DVT below knee is controversial
        • oral anticoagulation medications
          • direct oral anticoagulants (DOACs) are first-line
            • dabigatran, rivaroxaban, apixiban, and edoxaban, are recommended by the 2016 American College of Chest Physicians and 2014 and 2017 European Society of Cardiology guidelines for both DVT and PE
          • LMWH
            • enoxaparin (Lovenox)
            • preferred in early postoperative period
            • high bleeding risk
          • Vitamin K antagonist
            • Warfarin
            • have to bridge with LMWH until INR is 2-3
            • preferred in patients with a mechanical heart valve
        • duration
          • isolated DVT
            • standard recommendation
              • 3 months of therapeutic anticoagulation
          • with pulmonary embolism
            • standard recommendation
              • >3 months of therapeutic anticoagulation
            • longer duration 
              • large clot burden
              • persistent risk factors
              • recurrent VTE
          • when to treat >3 months
            • unprovoked DVT
            • recurrent DVT
            • active malignancy
            • paralysis or immobilization
            • known thrombophilia
      • thrombolytic therapy
        • considered in those with life or limb-threatening PE or acute DVT
        • associated with high risk of morbidity
    • Operative
      • vena cava filter placement
        • indications
          • preoperative identification of DVT in a patient with lower extremity or pelvic trauma who is high risk for DVT development
          • see anticoagulation
      • thrombectomy
        • indications
          • when anticoagulation alone is not effective
          • thrombus with high risk of morbidity and mortality
      • catheter-directed thrombolysis
        • indications
          • indicated as initial treatment recommended only for patients with threatened limb loss
  • Complications
    • Postthrombotic syndrome: chronic venous insufficiency
      • venous HTN
      • chronic skin issues (swelling, pain, pigmentation, ulceration, induration)
      • recurrent DVT (4-8x higher after first DVT)
    • Pulmonary emboli
      • 1 in 1,000 cases annually
      • diagnosis via advanced imaging and clinical exam
      • treatment with oral/IV therapeutic anticoagulation with/without surgical intervention
    • Excessive bleeding
      • from anticoagulation medication
      • from thrombolytic therapy
flashcard locked
Create a free account or log in to see the cards.
Question
1 of 5
Basic Science⎪ Deep Vein Thrombosis
  • Basic Science
  • - Deep Vein Thrombosis
4:48 min
12/28/2020
580 plays
5.0
  • star icon star icon star icon
  • star icon star icon star icon
  • star icon star icon star icon
  • star icon star icon star icon
  • star icon star icon star icon
(3)
Private Note