Please confirm topic selection

Are you sure you want to trigger topic in your Anconeus AI algorithm?

Please confirm action

You are done for today with this topic.

Would you like to start learning session with this topic items scheduled for future?

Updated: Apr 6 2026

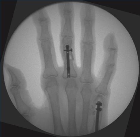
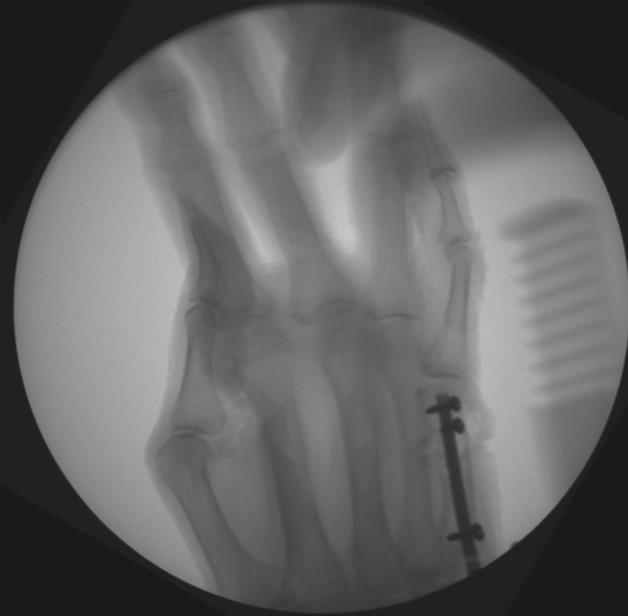
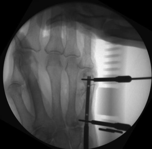
Locking Hand Nail System

Images
https://upload.orthobullets.com/topic/423342/images/babdcd4b-6951-44ee-af1b-3d82183ee88f_screenshot_2026-03-06_at_3.20.05_pm.jpg
https://upload.orthobullets.com/topic/423342/images/5f9e8a38-9586-4288-b9aa-e8cedde081e1_screenshot_2026-03-06_at_3.19.58_pm.jpg
https://upload.orthobullets.com/topic/423342/images/de655fc6-16a9-4cd7-891d-aae936421bc5_screenshot_2026-03-06_at_3.19.50_pm.jpg
https://upload.orthobullets.com/topic/423342/images/a9bb34bc-c8e0-4982-ab33-da5f63efe1b4_screenshot_2026-03-06_at_3.23.13_pm.jpg
https://upload.orthobullets.com/topic/423342/images/9545d3bc-93fa-40e3-8513-3540ecdde84a_screenshot_2026-03-06_at_3.23.07_pm.jpg
  • Summary
    • The Locking Hand Nail System from Skeletal Dynamics is an intramedullary fixation system designed for the stabilization of fractures of the metacarpals and proximal phalanges
    • The device provides minimally invasive internal fixation through a headless, cannulated nail that is inserted within the medullary canal to maintain fracture alignment while minimizing soft-tissue disruption
    • The system incorporates distal locking screw options to enhance rotational and axial stability, allowing controlled fixation of extra-articular fracture patterns
    • The Locking Hand Nail System is part of a specialized hand fracture fixation platform and includes multiple nail diameters and lengths, dedicated instrumentation, and compatible locking screws to accommodate variations in hand anatomy and fracture configuration
  • Indications
    • Indications
      • extra-articular fractures of the metacarpals
      • extra-articular fractures of the proximal phalanges
      • transverse fractures of the metacarpals or proximal phalanges
      • short oblique fractures amenable to intramedullary fixation
      • fractures requiring minimally invasive fixation
    • Contraindications
      • active or latent infection
      • insufficient bone stock or compromised bone quality
      • inadequate soft-tissue coverage
      • known hypersensitivity or allergy to implant materials
      • fracture patterns unsuitable for intramedullary fixation
  • Anatomy
    • Phalanx
      • osteology
        • distal phalanx
          • 3 components
            • tuft
            • shaft
            • base
        • middle and proximal phalanx
          • 4 components 
            • head
            • neck
            • shaft
            • base
          • displacement of middle phalanx fracture
            • apex dorsal
              • fracture proximal to FDS insertion 
            • apex volar  
              • fracture distal to FDS insertion 
          • displacement of proximal phalanx fracture
            • apex volar 
              • proximal fragment flexed due to interossei
              • distal fragment extends due to central slip
      • arthrology 
        • interphalangeal joint 
          • hinge joint
            • dynamic stability from compressive forces during pinch and grip
            • passive stabiltiy from collateral ligament
      • ligaments
        • collateral ligaments
          • proper
          • accessory 
      • tendons
        • terminal extensor tendon 
          • inserts on dorsal base of distal phalanx
        • FDP 
          • inserts on volar base of distal phalanx
        • central slip
          • terminal slip of EDC inserts on dorsal aspect of middle phalanx
        • FDS 
          • inserts on volar shaft of middle phalanx
      • blood supply
        • proper digital arteries 
          • dominant artery found on median side of phalanges (closer to midline)
      • nervous system
        • proper digital nerves 
          • volar to proper digital arteries 
    • Metacarpals
      • osteology
        • concave on palmar surface
        • 1st, 4th, and 5th digits form mobile borders
        • 2nd and 3rd digits form stiffer central pillar
          • index metacarpal is the most firmly fixed, while the thumb metacarpal articulates with the trapezium and acts independently from the others
        • three palmar and four dorsal interossei muscles arise from metacarpal shafts
      • tendons
        • extensor carpi radialis longus/brevis
          • insert on the base of metacarpal II, III (respectively); assist with wrist extension and radial flexion of the wrist
        • extensor carpi ulnaris
          • inserts on the base of metacarpal V; extends and fixes wrist when digits are being flexed; assists with ulnar flexion of wrist
        • abductor pollicis longus
          • inserts on the trapezium and base of metacarpal I; abducts thumb in frontal plane; extends thumb at carpometacarpal joint
        • opponens pollicis
          • inserts on metacarpal I; flexes metacarpal I to oppose the thumb to the fingertips
        • opponens digiti minimi
          • inserts on the medial surface of metacarpal V; Flexes metacarpal V at carpometacarpal joint when little finger is moved into opposition with tip of thumb; deepens palm of hand.
  • Approach
    • Metacarpal
      • nails can be introduced either in an antegrade or retrograde direction
      • the illustrated surgical technique uses an antegrade approach
      • fully flex the metacarpophalangeal joint and mark the dorsal third of the metacarpal head
      • open the 3rd extensor compartment for k-wire insertion into the metacarpal head
    • Phalanx
      • fully flex the metacarpophalangeal joint mark the dorsal third of the metacarpal head
      • expose the base of the proximal phalanx by subluxing to allow percutaneous access to the proximal articular surface
      • the illustrated surgical technique uses an antegrade approach, described as less traumatic to the PIP joint
      • retrograde approach is still possible
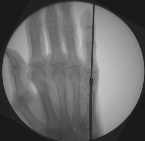
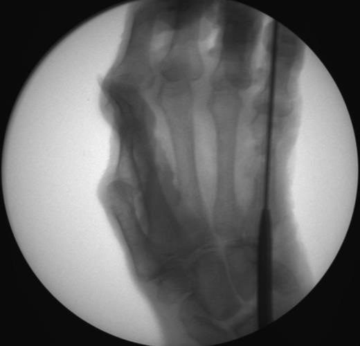
  • Technique
    • Optional removal
      • flex the hand and create an incision to remove the locking compression screws
      • use a k-wire to find the pocket of the locking nail
      • ream over the k-wire to create a canal for nail removal
      • use sequential reaming as necessary to create the canal
      • engage the drill guide locking screw and remove the nail
  • Metacarpal Technique
    • Primary Steps
      • step 1
        • insert a 1.6mm k-wire into the metacarpal head and advance it to the fracture site
          • reduce the fracture under fluoroscopy and advance the k-wire into the metacarpal base
          • determine nail length with a measurement ruler or depth gauge and subtract 10mm from the length reading
        • for the antegrade approach, flex the wrist while advancing the k-wire through the base of the metacarpal until visible
          • insert the cannulated awl over the k-wire, past the soft tissues to the bone surface, with an oscillatory hand motion
          • insert the cannulated awl no further than its stop, 10mm or less from subchondral bone
      • step 2
        • start reaming with the 2.7mm starter reamer
          • sequentially ream until encountering cortical engagement, and use the reamer size that engages cortical bone to determine nail diameter
          • stop reaming at least 5mm from the articular surface of the bone
          • do not remove the k-wire during reaming, and use the wire pusher to keep the k-wire in position if necessary
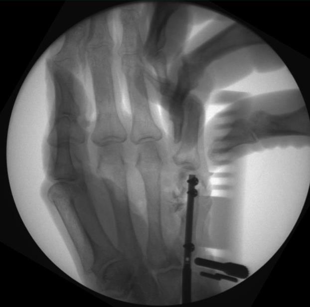
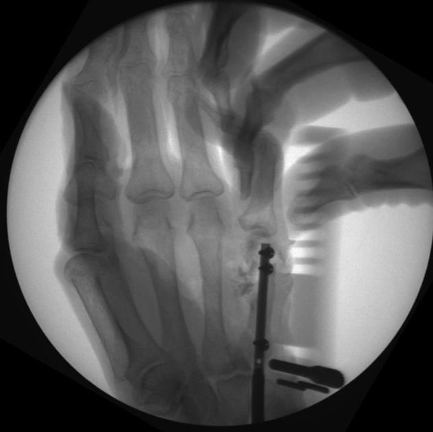
      • step 3
        • assemble the drill guide by inserting the metacarpal drill guide locking screw first, aligning the drill guide tabs with the cutouts on the nail, and fully tightening
        • place the k-wire tip into the cupped front end of the nail and advance the nail into the medullary canal while allowing the k-wire to exit
        • confirm fracture reduction and final nail position with fluoroscopy, ensuring the locking screw holes are not near fracture lines
        • retighten the drill guide locking screw after nail insertion
      • step 4
        • insert a 1.4mm k-wire through the drill guide hole that is 5mm greater than the chosen nail length for distal provisional fixation
        • insert a 1.4mm k-wire through the most proximal drill guide hole for proximal provisional fixation
      • step 5
        • make a small incision to prepare for drilling and screw insertion, and bluntly spread the soft tissues with skin hooks
          • carefully identify and protect the extensor tendons
      • step 6
        • advance the 2.0mm stop drill through the selected proximal slot, drilling through the near cortex until the mechanical stop reaches the drill guide
        • measure screw length with the 1.4mm drill, stopping before the far cortex
        • insert the selected 1.8mm locking compression screw unicortically
      • step 7
        • confirm final reduction and implant position using fluoroscopy
      • step 8
        • repeat the drilling, sizing, screw insertion, and fluoroscopic confirmation steps for the distal screw, taking note of the chosen hand nail length and the drill guide etched sizes
      • step 9
        • disengage the drill guide locking screw with the cruciform driver and remove the drill guide assembly
  • Phalanx Technique
    • Primary Steps
      • step 1
        • insert a 1.6mm k-wire into the subluxed proximal phalanx base in line with the medullary canal of the proximal fragment
        • advance the k-wire to the fracture site under fluoroscopy, reduce the fracture, and advance the k-wire into the proximal phalanx head
        • determine nail length with a measurement ruler or depth gauge and subtract 10mm from the length reading
          • account for the proximal and distal nail ends being 5mm each from the articular surfaces
      • step 2
        • start reaming with the 2.7mm starter reamer and then sequentially ream with the 3.0mm reamer
          • stop reaming at least 5mm from the articular surface of the bone
          • do not ream larger than 3.0mm in the phalanx
          • do not remove the k-wire during reaming, and use the wire pusher to keep the k-wire in position if necessary
      • step 3
        • assemble the drill guide by inserting the phalanx drill guide locking screw first, aligning the drill guide tabs with the cutouts on the nail, and fully tightening
        • place the k-wire tip into the cupped front end of the nail and advance the nail into the medullary canal while allowing the k-wire to exit
          • confirm fracture reduction and final nail position with fluoroscopy, ensuring the locking screw holes are not near fracture lines
          • retighten the drill guide locking screw after nail insertion
      • step 4
        • fully flex the joints to align the distal phalanx fragment into the correct rotational alignment
          • insert a 1.4mm k-wire through the most proximal drill guide hole for proximal provisional fixation
          • insert a 1.4mm k-wire through the drill guide hole that is 5mm greater than the chosen nail length for distal provisional fixation
      • step 5
        • make a small incision to prepare for drilling and screw insertion, and bluntly spread the soft tissues with skin hooks
          • carefully identify and protect the extensor tendons
      • step 6
        • advance the 2.0mm stop drill through the selected proximal slot, drilling through the near cortex until the mechanical stop reaches the drill guide
          • measure screw length with the 1.4mm drill, stopping before the far cortex
        • insert the selected 1.8mm locking compression screw unicortically
      • step 7
        • repeat the distal screw sequence, taking note of the chosen hand nail length and the drill guide etched sizes
      • step 8
        • confirm final reduction and implant position using fluoroscopy
      • step 9
        • disengage the drill guide locking screw with the cruciform driver and remove the drill guide assembly
    • Phalanx distal transfixion screw option
      • step 1
        • attach the phalanx coronal transfixion screw guide to the phalanx drill guide assembly with the provided screws
        • ensure correct rotational alignment by fully flexing all digits simultaneously
      • step 2
        • under fluoroscopy, advance a 1.1mm k-wire into the guide hole corresponding to the locking hand nail length
        • pass the 1.1mm k-wire from the near cortex, through the nail’s horizontal transfixion hole, and out the far cortex
        • advance the k-wire until it is past the far cortex, then pull from the other side of the digit while leaving the tip where the transfixion screw tip is to be placed in bone
      • step 3
        • make a small incision around the k-wire and use both skin hooks so the surrounding bone surface is clearly visible for screw insertion
        • use the depth gauge to determine transfixion screw length from the laser etched band on the k-wire
        • remove the depth gauge while leaving the k-wire in place
      • step 4
        • select the appropriate length gold transfixion screw
        • engage the screw end cup onto the tip of the k-wire and insert the screw while simultaneously pushing or pulling out the k-wire through the other side of the digit
        • tighten the transfixion screw until the head seats fully
      • step 5
        • remove the transfixion screw guide
        • remove the drill guide assembly, repair soft tissues, and close
  • Technical specifications
    • Metacarpal nail
      • titanium nail diameters
        • 3.0mm
        • 3.5mm
        • 4.0mm
      • available lengths 
        • 40mm
        • 45mm
        • 50mm
        • 55mm
        • 60mm
        • 65mm
        • 70mm
    • Phalanx nail
      • titanium nail diameter
        • 3.0mm
      • listed lengths
        • 22.5mm
        • 25mm
        • 27.5mm
        • 30mm
        • 32.5mm
        • 35mm
        • 37.5mm
        • 40mm
        • 42.5mm
        • 45mm
        • 47.5mm
        • 50mm
      • the source describes phalanx nails as available in 1 diameter
      • a lateral or horizontal transfixion screw option is available for phalanx head fractures
    • Instrumentation
      • cannulated manual reamers
        • 2.7mm x 165mm
        • 3.0mm x 165mm
        • 3.5mm x 165mm
        • 4.0mm x 165 mm 
      • the phalanx technique specifically uses the 2.7mm and 3.0mm reamers
      • the standard tray includes a measurement ruler, intramedullary nail depth gauge, cannulated awl, wire pusher, metacarpal and phalanx drill guides, 2.0mm stop drill, 1.4mm drill, phalanx Transfixion screw guide, and countersink depth gauge
  • Screws
    • Locking compression screw
      • the locking compression screw is intended to be unicortical
      • the locking compression screw is designed to suck the nail up to the indostial surface of the metacarpal or bone
      • material is CoCr
      • screw diameter is 1.8mm
      • available lengths 
        • 4.0mm
        • 5.0mm
        • 6.0mm
        • 7.0mm
        • 8.0mm
        • 9.0mm
        • 10.0mm
        • 11.0mm
        • 12.0mm
    • Phalanx coronal transfixion screw
      • material is CoCr
      • screw diameter is 1.5mm
      • available lengths
        • 6.0mm
        • 7.0mm
        • 8.0mm
        • 9.0mm
        • 10.0mm
        • 11.0mm
        • 12.0mm
        • 14.0mm
        • 16.0mm
        • 18.0mm
  • Pearls & Pitfalls
    • Pearls
      • use fluoroscopy for fracture reduction, length determination, provisional fixation confirmation, screw placement confirmation, and final implant confirmation
      • keep the k-wire in place during reaming and use the wire pusher if necessary
      • flex the metacarpophalangeal joint during insertion point localization and during provisional fixation steps
      • tap drilling is recommended during provisional k-wire fixation
      • retighten the drill guide locking screw after nail insertion to ensure loosening did not occur
      • ensure the locking screw holes are not placed near fracture lines
      • subtract 10mm from ruler or depth gauge length measurements
      • in the phalanx transfixion screw technique, fully flex all digits simultaneously to assess rotational alignment
      • the supplied 1.1mm k-wires provide exact depth readings with the system’s depth gauge
    • Pitfalls
      • do not use the awl under power
      • do not ream under power
      • use caution and an oscillatory hand motion during awl insertion and reaming to protect nearby soft tissue and tendons
      • do not advance the metacarpal awl beyond its stop, which is 10mm or less from subchondral bone
      • carefully identify and protect the extensor tendons during screw insertion
      • do not ream larger than 3.0mm in the phalanx
flashcard locked
Create a free account or log in to see the cards.
Private Note