Please confirm topic selection

Are you sure you want to trigger topic in your Anconeus AI algorithm?

Please confirm action

You are done for today with this topic.

Would you like to start learning session with this topic items scheduled for future?

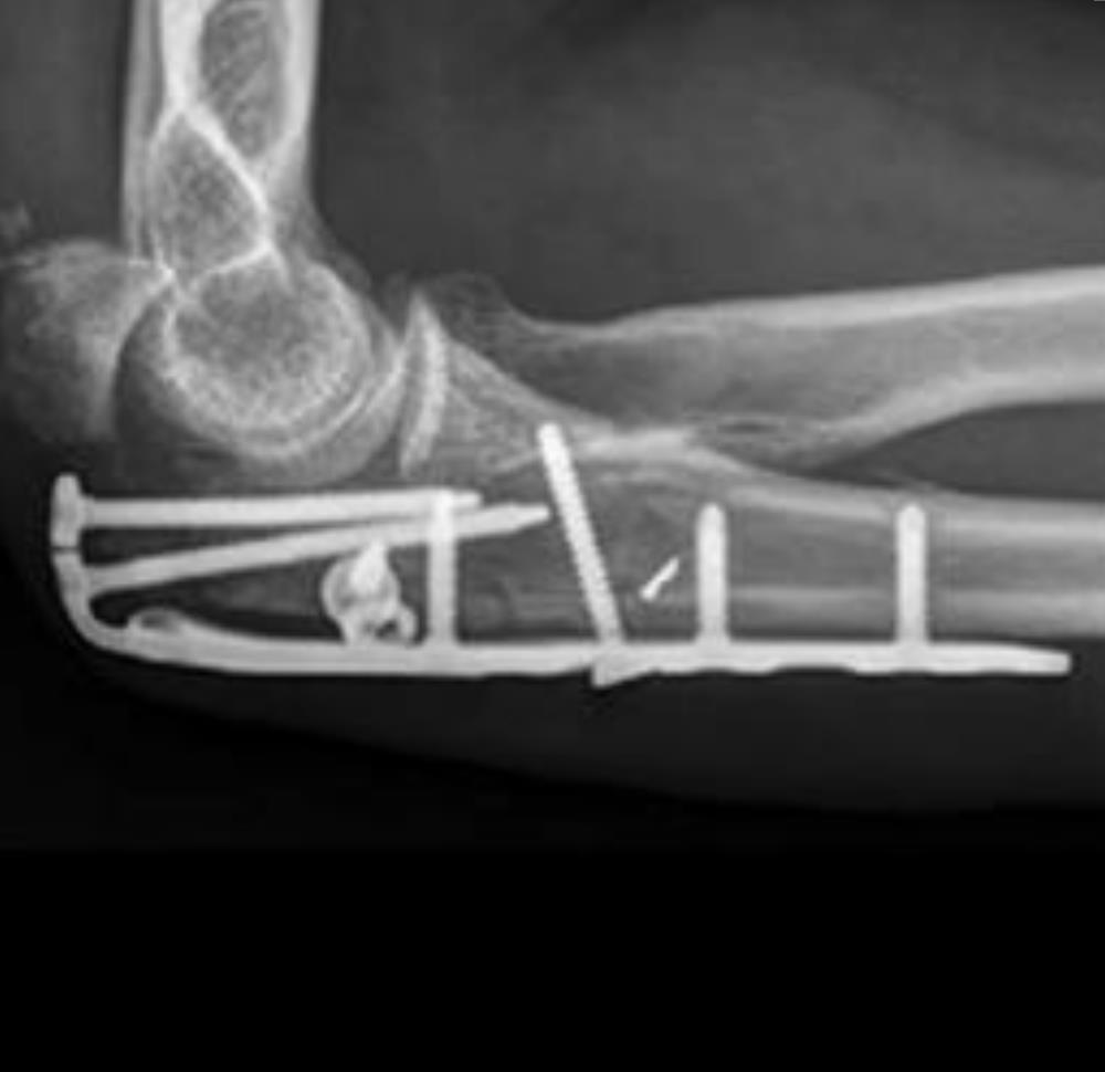
Olecranon Fractures
Updated: Dec 6 2025

Proximal Ulna Plate with FREEFIX®

Images
https://upload.orthobullets.com/topic/423316/images/1d187393-944f-4a54-85ce-4e94a615e0e6_screenshot_2025-12-05_at_4.14.14_pm.jpg
https://upload.orthobullets.com/topic/423316/images/19343771-b4e4-44dd-a778-e5fd24637212_screenshot_2025-12-05_at_4.14.18_pm.jpg
https://upload.orthobullets.com/topic/423316/images/a16ab879-a156-4e1f-9fa6-0458225ff667_screenshot_2025-12-05_at_4.14.21_pm.jpg
https://upload.orthobullets.com/topic/423316/images/45f9a198-07ba-45ba-893a-16ea7992f445_screenshot_2025-12-05_at_3.42.40_pm.jpg
  • Summary
    • The Skeletal Dynamics Distal Elbow Plating System consists of the following systems:
      • Proximal Ulna Plate with FREEFIX® (this page)
      • ALIGN® Radial Head System
      • IJS® Elbow Stabilization System
    • The Skeletal Dynamics Distal Elbow Plating System contains titanium alloy plates and screws
    • Included in the set are cobalt chrome cannulated polyaxial locking screws, k-wires, and specialized instrumentation
  • Indications
    • Ulna fractures
    • Fusions
    • Osteotomies
    • Non-unions
  • Anatomy
    • Osteology
      • proximal ulna
      • olecranon process
      • coronoid tip
      • trochlear notch
      • ulnar shaft
    • Muscles  
      • triceps
      • anconeus
      • flexor-pronator mass
      • extensor-supinator mass
      • brachialis
    • Ligaments
      • UCL (medial)
      • LCL complex
      • LUCL
      • posterior capsule
      • annular ligament
    • Nerves
      • ulna nerve
      • medial nerve
      • radial nerve
      • posterior interosseous nerve
    • Blood supply  
      • ulnar artery
      • posterior ulnar recurrent
      • interosseous vessels
      • radial recurrent
  • Preoperative Planning
    • Imaging
      • x-ray
        • standard imaging includes AP and true lateral radiographs of the elbow
        • oblique views and a forearm series to evaluate for associated diaphyseal or radial head injuries
      • CT
        • useful in complex intra-articular fractures 
        • allows detailed assessment of coronoid fragments, trochlear notch morphology, and radial head involvement
  • Approach
    • Posterior midline incision
  • Technique
    • Superficial Exposure
      • with the elbow flexed to approximately 90 degrees, a posterior midline skin incision is made, curving gently around the olecranon tip and extending distally along the subcutaneous border of the ulna
      • note: the incision can be curved slightly lateral or medial to the tip of the olecranon based on your preferred method
      • warning: take care to avoid injury to the ulnar nerve
    • Releasing the Ulnar Nerve
      • locate the ulnar nerve
      • release and protect the nerve, considering the possibility of transposition
    • Deep Exposure
      • expose the proximal ulna sub-periosteally 
    • Accessing the Joint
      • for olecranon fractures, enter the joint through the fracture plane by releasing the capsular attachments on the proximal fragment as needed 
      • the articular surfaces can be evaluated at this time
    • Debriding the Fracture
      • debride the fracture site
      • note: it is necessary to remove callus, clot and fibrous tissue in order to achieve a proper reduction
    • Distal Triceps Release
      • starting distal to proximal, split the triceps insertion longitudinally for approximately 1cm
      • elevate the triceps along a narrow longitudinal strip to provide space for the “Home Run” (HR) tab 
    • Plate Selection
      • select the appropriate length of plate that provides at least six cortices of fixation distal to the fracture line 
      • note: the shaft of the 5 Slot Plus plate can be bent using the Bending Irons
        • if plate bending is necessary, refer to bending step
      • warning: bending may weaken or break the plate
        • be sure to inspect the plate for damage prior to use.
    • Provisional Plate Fixation
      • apply the plate to the proximal fragment confirming that the plate is centered on the ulna shaft and that the HR tab is flush to the olecranon 
      • secure the plate to the proximal fragment using a 2mm K-Wire through the hole at the base of the HR tab
      • note: if the home run tab adjustment is necessary to improve fit, refer to adjustment step
    • Fracture Reduction
      • reduce the fracture by levering the shaft of the plate to the distal fragment
      • confirm fracture reduction and plate alignment using fluoroscopy
    • Distal Fragment Fixation 
      • using the 2.7mm x 40mm drill bit, drill through the distal end of a FreeFix slot that is distal to the fracture line through both cortices
        • this will allow for dynamic compression of the fracture
      • measure screw length using the appropriate scale on the 50mm Depth Gauge, then insert a 3.5mm compression screw using the T-10 Driver while applying interfragmentary compression 
      • note: the depth gauge has a dual scale to reflect measurements through the PDGs (top scale) or directly through the plate (bottom scale)
    • Proximal Fixation Options
      • A
        • the two proximal holes containing Pre Assembled Drill Guidesare for fixation to the olecranon
      • B
        • the adjacent two distal holes containing PDGs are for fixation to the coronoid
      • C
        • all PDGs can accept an AIMing Guide using 2.0mm K-Wires for provisional fixation
      • if it is necessary to alter a screw trajectory, remove the PDG and drill free-hand
        • a tissue protector is included in the system
      • if a 3.0mm Cannulated Polyaxial Locking Screw (PLS) is needed, refer to steps 'Cannulated 3.0 PLS SETUP' through 'Cannulated 3.0 PLS Fixation'
    • Provisional K-wire Fixation
      • if provisional plate fixation is needed, insert a 2.0mm AIMing Guide into the desired PDG, then drive a 2.0mm k-wire through the AIMing Guide, taking care to avoid the articular surfaces of the joint
      • using the 2.7mm drill bit, drill through the PDG
        • if a K-Wires obstructs drilling, it may be bent out of the way
    • Olecranon Fixation
      • measure the screw length using the appropriate scale on the 50mm Depth Gauge
      • using the T-10 Driver, remove the PDG and insert the correct length 3.5mm Multi-Thread Compression Screw until the screw head contacts the plate
      • remove the K-Wires at the base of the HR tab, then fully seat the Compression Screw until the plate is reduced to the olecranon
      • note: it is recommended to subtract ~2mm from the measured screw lengths to avoid compromising the articular surfaces and/or soft tissue irritation
    • Fluoroscopic Confirmation
      • repeat steps past two steps for the remaining olecranon screw hole using a 3.5mm Multi-Thread Locking Screw
      • confirm proper plate positioning, fracture reduction and screw lengths using fluoroscopic imaging
    • Preparing the Home Run Tab
      • confirm that the HR tab is flush to the tip of the olecranon
      • using the 2.7mm x 80mm drill bit, drill through the PDG, then measure and record the screw length using the appropriate scale on the 80mm Depth Gauge 
      • note: if the HR tab was bent, confirm that the new trajectory will avoid contact with the articular surfaces of the joint
      • warning: bending may weaken or break the plate
        • be sure to inspect the tab for damage prior to use
    • Over Drilling the Home Run Tab
      • using the T-10 Driver, remove the PDG in the HR tab 
      • drill up to the fracture line using the 3.5mm drill bit
        • fluoroscopic imaging is helpful during this step
    • Lagging the Proximal Fragment
      • loosen the screw previously placed in the oblong hole of the shaft
      • insert the recorded length 3.5mm Multi-Threaded Compression Screw through the HR tab to further reduce the fracture
      • retighten the screw in the oblong hole of the shaft
    • Fluoroscopic Confirmation
      • confirm proper plate positioning, fracture reduction and screw lengths using fluoroscopic imaging
    • Coronoid Preparation
      • using the 2.7mm drill bit, drill through each PDG
      • measure the screw length using the appropriate scale on the Depth Gauge
      • note: if the home run tab has been repositioned, consider the use of a Polyaxial Locking Screw if impingement occurs
    • Coronoid Fixation
      • using the T-10 Driver, remove the PDG and insert the correct length 3.5mm Multi-Thread screw until fully tightened
      • repeat past two steps for the remaining coronoid screw hole
    • Distal Plate Fixation
      • fill the remaining holes in the humeral shaft FreeFix® slots with 3.5mm locking or compression screws using the PUP or 3.5mm thread-in drill guide, and 2.7mm x 50mm drill bit
      • note: 1.5mm of dynamic compression can be achieved at any slot using the eccentric hole on the drill guide
        • make sure the reference arrow is pointing towards the fracture
    • Cannulated 3.0 PLS Setup (optional)
      • if a Polyaxial Locking Screw is needed in any of the threaded holes, use the T-10 driver to remove the PDG if present and insert the 1.1mm PLS AIMing Guide
      • insert a 1.1mm K-Wire through the PLS AIMing Guide in the desired trajectory until the far cortex is reached
      • note: fluoroscopy is helpful to confirm the trajectory of the K-Wire
    • Fluoroscopic Confirmation
      • after confirming the K-Wire reaches the far cortex, use the cannulated 3.0 PLS T-10 Driver to remove the PLS AIMing Guide, leaving the K-Wire in place
    • Cannulated 3.0 PLS Preparation
      • slide the cannulated Depth Gauge over the K-Wire to measure the appropriate length of screw
      • using the 2.4mm cannulated PLS drill bit, drill over the K-Wire to the proper depth
    • Cannulated 3.0 PLS Fixation
      • using the Cannulated 3.0 PLS T-10 driver, thread the screw down the K-Wire until the head of the screw contacts the plate
      • remove the K-Wire and fully lock the screw to the plate using the non- cannulated T-10 Driver.
    • Fluoroscopic Confirmation
      • using fluoroscopic imaging, confirm that proper reduction has been maintained and that all screws are of proper length and fully engaged to the plate
      • confirm that all PDGs have been removed.
      • where soft tissue attachment is preferred to support fracture reduction, an additional suture technique is described starting with the next step 
        • if not required, proceed to closure step
    • Soft Tissue Attachment Points (optional)
      • all plates incorporate two suture attachment points proximal and distal to the olecranon screw holes that will accommodate a curved needle
      • A
        • the triceps attachment points are beneficial to augment plate fixation when the triceps insertion is avulsed and osteoporotic or comminuted olecranon fractures are evident
      • B
        • the fascia attachment points are beneficial for re-attaching the fascia when necessary
    • Begin Passing Suture
      • with the elbow in 90° flexion, mark a spot approximately 5mm distal to the home run tab
    • Outline Suture Path
      • draw an outline as shown to mark the suture path
      • note: make sure the suture path goes through the medial head of the triceps tendon
    • Begin Passing Suture
      • begin a non-locked running stitch along the lateral side
      • pass the suture deep to capture as much of the underlying tissue as possible
    • Continue Passing Suture
      • continue passing the suture deep along the olecranon surface and the distal outline, incorporating Sharpey’s fibers
      • continue the deep-running stitch medially
    • Pass Suture Through Plate
      • pass the suture through the medial suture hole of the plate, then pass the suture through the lateral suture hole of the plate
    • Tie Sliding Knot
      • tighten the suture to remove all slack
      • pull suture limbs to confirm the suture slides within the tissue
      • tie and tension a sliding knot on the lateral side
    • Secure Construct
      • secure the construct with six additional surgeon knots
      • to avoid irritation of the soft tissue, ensure the knot stack is lateralized as much as possible
    • Wound Closure
      • confirm that the ulnar nerve is free of any impingement
      • close deep to superficial in the usual fashion
      • apply a standard long-arm post-op dressing as necessary
    • Plate Bending (optional)
      • if it is necessary to modify the shaft of the 5 Slot Plus plate, attach the Bending Irons to bend the plate in any plane up to 10°
      • A
        • vertical plane: use section 1 of the Bending Irons
      • B
        • horizontal plane: use section 2 of the Bending Irons
        • this plate manipulation can also be performed in-situ
      • C
        •  transverse plane: use section 3 of the Bending Irons
      • note: do not exceed the respective maximum bend angles as described above
      • warning: bending may weaken or break the plate
        • be sure to inspect the plate for damage prior to use
    • Home Run Tab Bending (optional)
      • if it is necessary to modify the HR tab, firmly hold the plate, then grip the round node of the HR tab using the Bending Pilers and shape as intended
      • A
        • vertical plane: secure the Bending Plier to bend up to 30°
      • B
        • transverse plane: secure the Bending Plier to bend up to 45°
      • confirm that the new trajectory avoids contact with the articular surfaces and other screw trajectories using fluoroscopy
      • note: do not exceed the respective maximum bend angles as described above
      • warning: bending may weaken or break the plate
        • be sure to inspect the plate for damage prior to use
    • Proximal Ulna Plate Extension (optional)
      • attach the Proximal Ulna Plate Extension to the Home Run Tab prior to applying the plate to the bone
      • using the 2.7mm x 80mm drill bit, drill through the drill guide, and measure the screw length using the appropriate scale on the Depth Gauge
        • warning: when drilling screw holes, be sure to avoid drilling into the articular surfaces
      • insert the appropriate length screw
        • warning: care should be taken that no screws are placed in the joint.
    • Implant Removal (optional)
      • clear any tissue overgrowth from the screw holes of the plate
      • then proceed to remove the screws by inserting the corresponding screwdriver and turn counter clockwise
      • once all the screws are removed, remove the plate
  • Technical Specificatons
    • Plates
      • 2 Slot Plate (left and right specific)
      • 3 Slot Plate (left and right specific)
      • 4 Slot Plate (left and right specific)
      • 5 Slot Plate (left and right specific)
      • 5 Slot Plus Plate (left and right specific)
      • 6 Slot Plate (left and right specific)
    • Sizes
      • 78 mm
      • 108 mm
      • 151 mm
  • Screws
      • 3.5 mm
      • Titanium locking screws
      • 3.5 mm
      • Multi-thread compression screws
      • 3.5 mm
      • Cortical non-locking scews
flashcard locked
Create a free account or log in to see the cards.
Private Note