Please confirm topic selection

Are you sure you want to trigger topic in your Anconeus AI algorithm?

Please confirm action

You are done for today with this topic.

Would you like to start learning session with this topic items scheduled for future?

Review Question - QID 219883

In scope icon N/A
QID 219883 (Type "219883" in App Search)
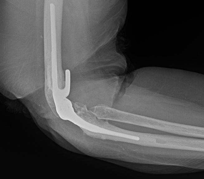
A 69-year-old male presents to the clinic for evaluation of right elbow pain with decreased range of motion. Fifteen months ago, the patient sustained a right elbow injury following a fall down the stairs and was treated with open reduction and internal fixation at an outside institution. Today, he reports continued pain and a gradual decrease in range of motion. On examination, significant crepitus is noted throughout elbow range of motion, with an arc of motion limited from 45 to 90 degrees. Pronation is limited to 40 degrees, while supination is limited to 30 degrees. Radiographs are obtained, as depicted in Figures A and B. Which of the following is true regarding the most appropriate treatment for this injury?
  • A
  • B

Constrained implants provide the best outcomes compared to other designs regardless of indication

3%

21/604

The most common complication of unconstrained implants is bushing wear

6%

39/604

Semiconstrained implants are dependent on the integrity of the collateral ligaments for function

33%

201/604

Constrained implants portend the lowest rates of aseptic loosening

2%

14/604

Semiconstrained implants allow for varus-valgus laxity, decreasing stress imparted upon the bone-cement interface

54%

324/604

  • A
  • B

Select Answer to see Preferred Response

This 69-year-old male is experiencing post-traumatic osteoarthritis following olecranon ORIF and radial head replacement and is indicated for total elbow arthroplasty (TEA) given his continued pain and loss of motion secondary to heterotopic bone formation. Semiconstrained TEAs, the most commonly utilized implant, have varus-valgus laxity built into the design to decrease the stress imparted upon the bone-cement interface, in an attempt to reduce aseptic loosening rates (Answer 5).

Total elbow arthroplasty is an uncommon motion-preserving procedure, with indications limited to severe primary, secondary, or post-traumatic osteoarthritis. Three implant designs currently exist and differ by the degree of constraint built into the implant: unconstrained, semiconstrained, and constrained. The most widely used, semiconstrained, has been shown to confer the best outcomes, which is believed to be secondary to the seven degrees of varus/valgus laxity. This design element decreases stress imparted onto the bone-cement interface but at the expense of wear within the bushings of the prosthesis. Because of this, bushing wear serves as the most common cause of revision for semiconstrained prostheses.

Aliyev et al. performed a retrospective study investigating the functional outcomes, radiographic appearance, and complication profile in post-traumatic TEA patients under 45 years of age (n=63) with a 4.6-year follow-up. The authors noted significant increases in range of motion, as well as Mayo and Oxford Elbow scores following the surgery. However, radiographically 57% of patients demonstrated some evidence of peri-implant radiolucency. Moreover, complications were noted in 32.7% of patients, with 20.4% requiring revision procedures. The authors conclude TEA following trauma can reliably restore motion but with the understanding of high complication risk.

Morrey et al. reviewed distal humerus fractures and the existing treatment options, including when TEA should be considered. The authors proposed an algorithmic approach, dichotomizing distal humerus fractures into intraarticular and extraarticular (Illustration C). They note key elements, namely fracture characteristics and bony quality; patient age, comorbidities, and functional status/demands after treatment play important roles in determining treatment type. Ultimately, the authors believe TEA poses an excellent option for elderly, low-demand patients with intra-articular fractures, as the current literature suggests these individuals can return to function more quickly.

Figures A and B represent orthogonal views of a right elbow demonstrating post-traumatic osteoarthritis with heterotopic bone formation following olecranon ORIF and radial head replacement.
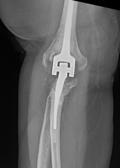
Illustrations A and B demonstrate a semiconstrained TEA that has experienced bushing wear, as evidenced by asymmetry between the humeral bushings.
Illustration C is the distal humerus fracture treatment algorithm proposed by Morrey et al.

Incorrect Answers:
Answer 1: Semiconstrained implants have been shown to provide the best outcomes.
Answer 2: The most common complication of unconstrained implants is instability.
Answer 3: Because of the built-in varus-valgus constraint, semiconstrained implants do not require intact collaterals.
Answer 4: Constrained implants have the highest rates of aseptic loosening secondary to their rigid, hinged design.

ILLUSTRATIONS:
REFERENCES (2)
Authors
Rating
Please Rate Question Quality

1.0

  • star icon star icon star icon
  • star icon star icon star icon
  • star icon star icon star icon
  • star icon star icon star icon
  • star icon star icon star icon

(1)