Please confirm topic selection

Are you sure you want to trigger topic in your Anconeus AI algorithm?

Please confirm action

You are done for today with this topic.

Would you like to start learning session with this topic items scheduled for future?

Images
https://upload.orthobullets.com/topic/1018/images/posterolateralelbowdislocation.jpg
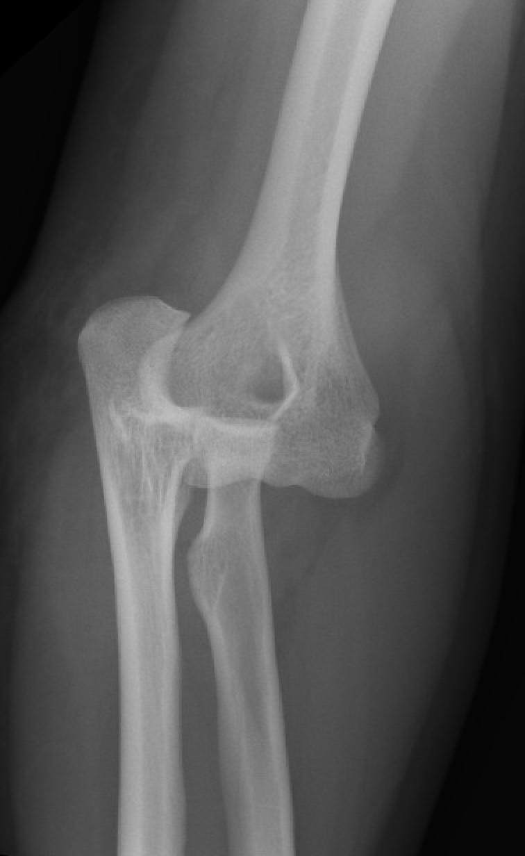
https://upload.orthobullets.com/topic/1018/images/posteriorelbowdislocation.jpg
https://upload.orthobullets.com/topic/1018/images/apterribletriad.jpg
  • summary
    • Elbow Dislocations are common elbow injuries which can be characterized as simple or complex depending on associated injury to nearby structures. 
    • Diagnosis can be made with plain radiographs. CT studies can be helpful to evaluate for loose bodies or for surgical planning.
    • Treatment is closed reduction followed by a short period of immobilization for stable simple elbow dislocations. Surgical management is indicated for complex elbow dislocations associated with fractures or persistent instability.
  • Epidemiology
    • Incidence
      • elbow dislocations are the most common major joint dislocation second to the shoulder
        • most common dislocated joint in children
      • account for 10-25% of injuries to the elbow
      • posterolateral is the most common type of dislocation (80%)
    • Demographics
      • predominantly affects patients between age 10-20 years old
  • Etiology
    • Pathophysiology
      • mechanism for posterolateral dislocation
        • usually a combination of
          • axial loading
          • supination/external rotation of the forearm
          • valgus posterolateral force
        • a varus posteromedial mechanism (combined with axial load and forearm external rotation) has also been reported
        • posterior dislocations may involve more than one injury mechanism
      • pathoanatomy
        • associated with complete or near complete circular disruption of capsuloligamentous stabilizers
        • pathoanatomic cascade
          • progression of injury is from lateral to medial
            • LCL fails first (primary lesion)
              • by avulsion of the lateral epicondylar origin
              • midsubstance LCL tears are less common but do occur
            • MCL fails last depending on degree of energy
    • Associated injuries
      • shoulder and wrist injuries
        • concomitant shoulder and wrist injuries occur in 10-15% of elbow dislocations
  • Anatomy
    • Osteology
      • static and dynamic stabilizers confer stability to the elbow
        • static stabilizers (primary)
          • ulnohumeral joint
          • anterior bundle of the MCL
          • LCL complex (includes the LUCL)
        • static stabilizers (secondary)
          • radiocapitellar joint
          • joint capsule
          • origins of the common flexor and extensor tendons
        • dynamic stabilizers
          • muscles that cross the elbow joint, which apply compressive (stabilizing) force
            • anconeus
            • brachialis
            • triceps
    • See complete Anatomy and Biomechanics of Elbow
  • Classification
    • Anatomic
      • based on anatomic location of olecranon relative to humerus
        • posterolateral
          • most common
        • posteromedial
    • Simple vs. complex
      • simple
        • elbow dislocation with no associated fracture
        • accounts for 50-60% of elbow dislocations
      • complex
        • elbow dislocation with associated fracture
        • may take form of
          • terrible triad injury
            • elbow dislocation associated with a LUCL tear, radial head fracture, and coronoid tip fracture
              • radial head fractures occur in up to 10% of elbow dislocations
          • varus posteromedial rotatory instability
            • elbow injury associated with an LCL tear and a coronoid fracture
            • radial head fracture unlikely 
            • coronoid fracture characterisitics
              • medial facet fracture
              • comminuted
  • Presentation
    • Symptoms
      • pain and swelling
    • Physical exam
      • inspection
        • the status of the skin - evaluate for open injuries
      • palpation
        • presence of compartment syndrome
        • status of wrist and shoulder
          • concomitant injuries occur in 10-15% of elbow dislocations
      • neurovascular status
  • Imaging
    • Radiographs
      • recommended views
        • AP and lateral views
          • assess joint congruency, especially after attempted reduction
        • oblique views
          • assess for associated periarticular fractures
    • CT scan
      • indications
        • suspicion of complex injury pattern
        • useful to identify associated periarticular fractures
  • Treatment
    • Nonoperative
      • closed reduction and immobilization with early motion 
        • indications
          • acute simple stable dislocations
          • recurrent instability after simple dislocations is rare (<1-2% of dislocations)
      • techniques
        • splint in at least 90° of flexion for 5-10 days
        • begin early supervised physical therapy
    • Operative
      • open reduction internal fixation (ORIF) with ligament repair
        • indications
          • closed reduction cannot be performed
            • often due to entrapped soft tissue or osteochondral fragments
          • persistent instability after reduction
          • acute complex elbow dislocations
            • presence of coronoid, radial head, olecranon fractures
        • technique
          • ORIF of coronoid, radial head, olecranon fracture if present
          • ligament repair
            • perform LCL repair +/- MCL repair depending on intraoperative stability
          • postoperative
            • elbow requires >50-60° to maintain reduction
      • open reduction, capsular release, and dynamic hinged elbow fixator
        • indications
          • chronic dislocations
        • postoperative
          • hinged external fixator indicated in chronic dislocation to protect the reconstruction and allow early range of motion
  • Technique
    • Closed reduction and immobilization with early motion 
      • closed reduction
        • technique
          • ensure patient has sufficient analgesia to allow for adequate muscle relaxation
          • reduction maneuver requires a combination of:
            • inline traction to improve coronal displacement
            • forearm supination to shift the coronoid under the trochlea
            • elbow flexion while placing direct pressure on tip of olecranon
          • a palpable "clunk" can be appreciated after most reductions
          • assess post reduction stability
            • elbow is often unstable in extension
            • elbow is often unstable to valgus stress
              • test by stressing elbow with forearm in pronation to lock the lateral side
      • immobilization
        • place post-reduction posterior mold splint in flexion and appropriate forearm rotation
          • splint in at least 90° of elbow flexion
          • if LCL is disrupted - elbow will be more stable in pronation
          • if MCL is disrupted - elbow will be more stable in supination
      • post-reduction radiographs
        • obtain following reduction in immobilization
          • if joint is concentric, immobilize (5-10 days) and start early therapy
          • obtain repeat radiographs at 3-5 days and 10-14 days to confirm reduction
      • rehabilitation
        • initial
          • immobilize for 5-10 days
          • immobilization for >3 weeks results in poor final ROM outcomes
        • early
          • supervised (therapist) active and active assist range-of-motion exercises within stable arc
          • extension block brace is used for 3-4 weeks
          • proceed with light duty use 2 weeks from injury
        • late rehabilitation
          • extension block is decreased such that by 6-8 weeks after the injury full stable extension is achieved
    • Open reduction internal fixation (ORIF) with ligament repair
      • approach
        • approach depends on the location of the pathology
          • Kocher approach (ECU/anconeus)
            • used to address the LCL complex, common extensor tendon origin, coronoid, capitellum, and/or radial head fractures
            • when approaching joint (ie, for radial head fractures) during deep dissection, make incision slightly anterior to midline of the radial head to protect the posterior fibers of the LCL complex
            • take care with retractor placement to avoid injury to the PIN
          • medial approach
            • used to address the MCL, flexor/pronator mass origin, and/or comminuted coronoid fractures
            • identify and protect the ulnar nerve
        • posterior approach
      • internal fixation with ligament repair
        • coronoid fractures
          • ORIF
            • rarely needed, as most fractures involve only the coronoid tip (proximal to insertion of brachialis)
            • typically approached laterally, but can also be addressed via a medial approach, especially if comminuted
        • radial head fractures
          • ORIF
            • when placing fixation on the proximal radius, one must be aware of the "safe zone" (a 90° arc in the radial head that does not articulate with the proximal ulna)
              • the "safe zone" can be identified by its relationship to Lister's tubercle and the radial styloid
          • radial head arthroplasty
            • indicated if radial head can not be reconstructed
            • if radial head is replaced the replacement should be anatomic and restore normal length/size
              • this improves the varus and external rotatory stability of the elbow, but stability isn't restored until LCL is addressed
              • excision of the radial head leads to varus/external rotatory instability when the LCL function is absent
        • LCL
          • repaired or reconstructed
          • extensor origin avulsion is common and may be repaired
        • MCL
          • if instability persists following LCL repair, the MCL is repaired or reconstructed
      • postoperative
        • elbow requires >50-60° to maintain reduction
        • depending on stability of the elbow, active ROM exercises may commence while using a brace
        • an extension block may or may not be used
    • Hinged external fixator
      • only necessary if elbow remains unstable after attempt at fixation as described above
  • Complications
    • Early stiffness
      • loss of terminal extension is the most common complication after closed treatment of a simple elbow dislocation
      • early, active ROM can help prevent this from occurring
      • static, progressive splinting can be helpful after inflammation has decreased
        • often between 6-8 weeks after surgery
    • Varus posteromedial instability
      • injury to the LCL and fracture of the anteromedial facet of the coronoid
      • solid fixation of the anteromedial facet is critical for functional outcome and prevention of arthrosis
    • Neurovascular injuries
      • brachial artery injuries (rare) typically associated with open dislocations
      • ulnar nerve injury typically results from stretch
      • median nerve injury (rate) typcially associated with brachial artery injury
    • Compartment syndrome
    • Damage to articular surface
    • Recurrent instability
    • Heterotopic ossification
      • may require excision to improve elbow range of motion
    • Contracture/stiffness
      • correlated with immobilization beyond 3 weeks
flashcard locked
Create a free account or log in to see the cards.
Question
1 of 18
Trauma⎜Elbow Dislocations (ft. Dr. Mark S. Cohen)
  • Trauma
  • - Elbow Dislocation
31:52 min
12/3/2019
658 plays
5.0
  • star icon star icon star icon
  • star icon star icon star icon
  • star icon star icon star icon
  • star icon star icon star icon
  • star icon star icon star icon
(3)
Trauma⎪Elbow Dislocation
  • Trauma
  • - Elbow Dislocation
17:5 min
12/11/2019
776 plays
4.0
  • star icon star icon star icon
  • star icon star icon star icon
  • star icon star icon star icon
  • star icon star icon star icon
  • star icon star icon star icon
(5)
Private Note