Please confirm topic selection

Are you sure you want to trigger topic in your Anconeus AI algorithm?

Please confirm action

You are done for today with this topic.

Would you like to start learning session with this topic items scheduled for future?

Review Question - QID 220030

In scope icon N/A
QID 220030 (Type "220030" in App Search)
A 67-year-old male presents to your hand clinic for a trigger finger that is preventing him from holding his golf club. During your examination, you notice a 1 cm x 1 cm erythematous plaque on the dorsum of his hand. Upon further questioning, you learn the patient retired ten years ago after a successful kidney transplant and volunteers at his local golf course. You are concerned about the lesion and send him for a biopsy which is shown in Figure A. What is the most likely diagnosis given his history and the provided histologic slide?
  • A

Squamous cell carcinoma

63%

339/538

Basal cell carcinoma

20%

108/538

Melanoma

7%

37/538

Seborrheic Keratosis

7%

38/538

Lentigo

1%

8/538

  • A

Select Answer to see Preferred Response

The patient’s history of UV exposure and solid organ transplant put him at high risk of developing squamous cell carcinoma (SCC, Answer 1). The histology demonstrates keratin nodules and confirms the diagnosis of SCC.

Skin squamous cell carcinoma (SCC) is a malignant tumor of keratinocytes arising from the epidermal layer of the skin and is the most common malignant tumor of the hand. Most SCCs arise from cumulative prolonged exposure to ultraviolet (UV) radiation but can also arise from premalignant lesions such as Bowen’s disease, actinic keratoses, keratin horns, or leukoplakia. Solid organ transplant patients have an increased risk of SCC secondary to immunosuppression. While uncommon, SCC has the potential to metastasize via the lymphatic system to regional lymph nodes and any organ, most commonly the lungs, liver, brain, bones, and skin. Diagnosis is often confirmed via biopsy, and treatment typically involves local excision.

Kakar and Endress review current concepts of skin cancer in the hand. The authors describe the workup and diagnosis of skin cancers and systematically describe the most common subtypes. Workup includes obtaining a comprehensive medical and family history and a physical exam. Diagnosis is made with a biopsy, either shave, punch, or incisional, and confirmed through pathologic examination. They conclude that early recognition and accurate diagnosis are essential to proper management, and orthopedic surgeons must know the oncologic principles that guide proper treatment.

Webber et al. reviewed squamous cell carcinoma (SCC) of the hand in solid organ transplant patients. The authors report the high prevalence of skin cancer in solid organ patients, with up to 70% of patients developing non-melanoma skin cancer by 20 years post-transplant. Overall, transplant patients have up to 200 times greater risk of developing SCC and 10 times increased risk of developing basal cell carcinoma compared with the general population. Furthermore, squamous cell carcinoma in kidney and other organ transplant recipients is more aggressive than in non-immunocompromised patients. The increased risk of cancer is thought to be secondary to immunosuppression, leading to a decrease in immunosurveillance. The authors recommend a high index of suspicion when treating transplant patients with prompt discovery, which leads to superior outcomes.

Figure A is a histologic slide of SCC showing keratin nodules with large vesicular nuclei and eosinophilic cytoplasm.

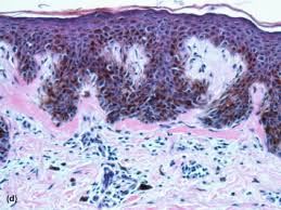
Illustration A shows a histological slide of basal cell carcinoma (BCC). Typical to BCC are islands of basal cells arranged randomly in the centers of the islands, with palisading at the periphery. Illustration B is the histology of melanoma demonstrating nests of melanocytes with numerous mitotic figures. Illustration C shows the histology of seborrheic keratosis with numerous proliferations of epidermal keratinocytes. Illustration D shows lentigo with an increase in basal melanin with a mildly increased number of melanocytes in the basal layer of the epidermis.

Incorrect Answers:
Answer 2: Basal cell is the second most common skin malignancy of the hand. Clinically, these tumors often have a pink or flesh-colored papule with central ulceration. Histology will demonstrate nests of basal cells originating from the basal membrane.
Answer 3: Melanoma typically arises from a preexisting nevus and is often described by asymmetry, border irregularity, color variation, and change in pigment over time.
Answer 4: Seborrheic keratosis is a non-cancerous skin growth that appears as a raised, waxy, or scaly lesion that can vary in color and size. Lesions appear to be “stuck on” and may bleed or be itchy. The histology is similar to SCC but can be differentiated by the clinical appearance.
Answer 5: A lentigo is a small, sharply circumscribed, pigmented macule surrounded by normal-appearing skin. Histologic findings may include hyperplasia of the epidermis and increased pigmentation of the basal layer.

ILLUSTRATIONS:
REFERENCES (2)
Authors
Rating
Please Rate Question Quality

2.8

  • star icon star icon star icon
  • star icon star icon star icon
  • star icon star icon star icon
  • star icon star icon star icon
  • star icon star icon star icon

(5)