Please confirm topic selection

Are you sure you want to trigger topic in your Anconeus AI algorithm?

Please confirm action

You are done for today with this topic.

Would you like to start learning session with this topic items scheduled for future?

Updated: Sep 19 2018

[Blocked from Release] Adult Foot Trauma Radiographic Evaluation

NORMAL ANATOMY
 Ossification

Ossification center 1° vs. 2° Age at ossification Age at fusion
Talus 
head
7 months gestational age  13-15 yo
body
7 months gestational age
13-15 yo
Calcaneus 
body 6 months gestational age
13-15 yo
tuberosity
9 yo
13-15 yo
Navicular
7 months gestational age
13-15 yo
Cuboid birtth 13-15 yo
Lateral cuneiform 1 yo 13-15 yo
Middle cuneiform 4 yo 13-15 yo
Medial cuneiform 3 yo 13-15 yo
Metatarsals shaft 9 weeks gestational age birth
epiphysis 5-8 yo 14-18 yo
Phalanges body 10 weeks gestational age 14-18 yo
epiphysis 2-3 yo 14-18 yo

 Osteology & Attachments
  • Superior view
  • Inferior view
  • Medial view
  • Lateral view
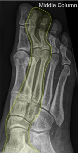
 Columns
  • Medial
    • 1st metatarsal
    • medial cuneiform
    • navicular
    • talus
  • Middle
    • 2nd + 3rd metatarsals
    • middle + lateral cuneiforms
    • navicular
    • talus
  • Lateral
    • 4th + 5th metatarsals
    • cuboid
    • calcaneus
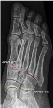
 Joints
  • Lisfranc
    • divides forefoot + midfoot
  • Chopart
    • divides midfoot + hindfoot
RADIOGRAPHIC VIEWS
 AP view
  • Positioning
    • patient
      • supine
      • knee flexed + foot flat on plate
    • beam
      • aim at base of 3rd metatarsal + 10° cephalad
  • Indications
    • hallux valgus = used to determine angle
  • Critique
    • symmetrical concavity of 1st metatarsal shaft + intermetatarsal spaces
    • alignment of 2nd metatarsal with medial cuneiform
    • superimposition of 2nd-5th metatarsal bases
      • increased with ER (also aids visualization of navicular tuberosity)
    • open tarsometatarsal + navicular-cuneiform + medial-middle cuneiform joints
 Lateral view
  • Positioning
    • patient
      • lateral decubitus on ipsilateral side
      • foot dorsiflexed 90°
    • beam
      • aim at base of 3rd metatarsal
  • Critique
    • superimposition of metatarsals
    • visualization of talocalcaneal joint
  Oblique view 
  • Positioning
    • patient
      • supine
      • knee flexed + foot IR 45°
    • beam
      • aim at base of 3rd metatarsal
  • Indications
    • cuboid joint space
  • Critique
    • superimposition of base of 1st + 2nd metatarsals
    • no superimposition of base of 3rd-5th metatarsals
      • overrotation leads to superimposition of 5th metatarsal base + 4th metatarsal tuberosity
      • underrotation leads to superimposition of 4th + 5th metatarsal base
    • visualization of 5th metatarsal tuberosity + tarsal sinus
    • open joints around cuboid
 Tangential view
  • Positioning 
METHOD
PATIENT
BEAM
Lewis prone
toes dorsiflexed + ball of foot perpendicular to plate 1st MTP joint n/a
Holly seated vs. supine
ankle neutral + toes dorsiflexed 75° 1st MT n/a
Causton lateral decubitus on contralateral side knee flexed + foot in lateral position 1st MTP joint 40° cephalad
  • Indications
    • metatarsal heads
    • sesamoid bones = Lewis view preferred over Holly view (Holly view tends to produce more magnification)
  • Critique 
    • Lewis/Holly
      • no superimposition of sesamoids + metatarsals
    • Causton
      • slight superimposition of sesamoid bones
 Weightbearing view
  • Positioning 
VIEW
PATIENT
BEAM
AP erect on plate base of 3rd MT
10° cephalad
Lateral erect with plate between feet base of 3rd MT n/a
  • Indications
    • AP
      • assess integrity of transverse arch
      • lisfranc injury
    • lateral
      • assess integrity of longitudinal arch
NORMAL FINDINGS
  • Normal variants
    • accessory navicular
      • enlargement of plantar medial aspect
      • classification
        • type 1 = sesamoid bone in tibialis posterior insertion
        • type 2 = separate accessory bone attached to native navicular via synchondrosis
        • type 3 = complete bony enlargement
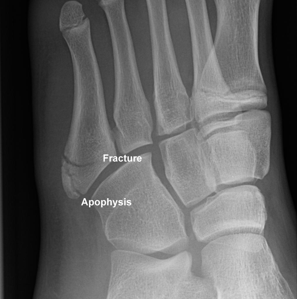
    • apophysis of proximal 5th metatarsal
      • oriented longitudinally parallel to the shaft
      • important to differentiate from fracture, which is oriented transversely
    • bipartite medial cuneiform
      • anatomical variant where there are 2 ossification centers
      • may cause medial cuneiform to be larger than normal medial cuneiform
      • "E" sign seen on lateral view
CLINICAL PEARLS
 Ottawa foot rules
  • XRs are indicated if any of the following criteria are met
    • TTP over navicular
    • TTP over base of 5th MT
    • inability to bear weight, i.e. ambulate >4 steps
 Midfoot stress fractures

 Type  Mechanism of Injury Findings
Longitudinal (41%)
force through metatarsal heads on plantarflexed foot leads to compression of midfoot between metatarsals and talus
 • vertical fracture = cuneiforms/navicular
Medial (30%)
inversion leads to adduction of midfoot on hindfoot
 • flake fracture = dorsal talus/navvicular, lateral calcaneus, cuboid
 • dislocation = midfoot, isolated talonavicular, medial swivel (talonavicular joint dislocation + subtalar joint subluxation + intact calcaneocuboid joint)
Lateral (17%)
lateral force to forefoot leads to cuboid being crushed between 4th/5th metatarsal bases and calcaneus
 • nutcracker fracture = comminuted cuboid and navicular avulsion
 • lateral subluxation of talonavicular joint
 • lateral column collapse = due to comminuted calcaneocuboid joint
Plantar (7%)
force to plantar foot
 • avulsion fracture = navicular, talus, anterior process of calcaneus

 Lisfranc injury 
  • Recommended views
    • AP
    • lateral
    • oblique
    • stress 
      • may be helpful to show instability when non-weight bearing radiographs are normal and there is high suspicion
    • weight-bearing with comparison view
      • may be necessary to confirm diagnosis
  • Findings
    • five critical radiographic signs that indicate presence of midfoot instability
      • discontinuity of a line drawn from the medial base of the 2nd metatarsal to the medial side of the middle cuneiform
        • seen on AP view
        • diagnostic of Lisfranc injury
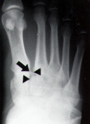
      • widening of the interval between the 1st and 2nd ray
        • seen on AP view
        • may see bony fragment (fleck sign) in 1st intermetatarsal space 
          • represents avulsion of Lisfranc ligament from base of 2nd metatarsal
          • diagnostic of Lisfranc injury
      • dorsal displacement of the proximal base of the 1st or 2nd metatarsal  
        • seen on lateral view
      • medial side of the base of the 4th metatarsal does not line up with medial side of cuboid
        • seen on oblique view
      • disruption of the medial column line (line tangential to the medial aspect of the navicular and the medial cuneiform)
        • seen on oblique view
  • Treatment criteria
    • nonoperative treatment acceptable if
      • no displacement on weight-bearing and stress radiographs and no evidence of bony injury on CT (usually dorsal sprains)
      • certain nonoperative candidates
        • nonambulatory patients
        • presence of serious vascular disease
        • severe peripheral neuropathy
        • instability in only the transverse plane
    • ORIF if any evidence of instability (> 2mm shift)
    • primary arthrodesis of 1st, 2nd, and 3rd TMT joints if
      • purely ligamentous arch injuries
      • delayed treatment 
      • chronic deformity
    • midfoot arthrodesis if
      • destabilization of the midfoot's architecture with progressive arch collapse and forefoot abduction
      • chronic Lisfranc injuries that have led to advanced midfoot arthrosis and have failed conservative therapy
 5th metatarsal base fracture  
  • Classification
    Classification
    Class
    Description
    Images

    Zone 1
    (pseudo Jones fx)

    • Proximal tubercle (rarely enters 5th tarsometatarsal joint)
    • Due to long plantar ligament, lateral band of the plantar fascia, or contraction of the peroneus brevis
    • Nonunions uncommon

    Zone 2
    (Jones fx)

    • Metaphyseal-diaphyseal junction 
    • Involves the 4th-5th metatarsal articulation
    • Vascular watershed area 
    • Acute injury
    • Increased risk of nonunion (15-30%)
    Zone 3
    • Proximal diaphyseal fracture
    • Distal to the 4th-5th metatarsal articulation
    • Stress fracture in athletes
    • Associated with cavovarus foot deformities or sensory neuropathies
    • Increased risk of nonunion
  • Recommended views
    • AP
    • lateral
    • oblique
  • Treatment criteria
    • nonoperative treatment acceptable if
      • zone 1
      • zone 2 (Jones fx) in recreational athlete 
      • zone 3
    • intramedullary screw fixation if
    •  
      • zone 2 (Jones fx) in elite or competitive athletes
      • zone 3 fx with sclerosis/nonunion or in athletic individual
 Metatarsal fracture  
  • Recommended views
    • AP
    • lateral
    • oblique
  • Treatment criteria
    • nonoperative treatment acceptable if
    •  
      • 1st metatarsal
      •  
        • non-displaced fractures
      • 2nd-4th (central) metatarsals
        • isolated fractures
        • non-displaced or minimally displaced fractures
    • ORIF if
    •  
      • open fractures
      • first metatarsal 
        • any displacement 
      • central metatarsals
        • sagittal plane deformity more than 10 degrees
        • >4mm translation
        • multiple fractures
 Tarsal navicular fracture  
  • Classification
    • avulsion
      • results from plantarflexion vs. eversion/inversion
      • can involve talonavicular or naviculocuneiform ligaments
    • tuberosity
      • results from eversion with simultaneous contraction of PTT
    • body = Sangeorzan 
      • results from axial loading
      • Sangeorzan Classification of Navicular Body Fractures
        (based on plane of fracture and degree of comminution)
        Type I Transverse fracture of dorsal fragment that involves < 50% of bone.
        No associated deformity
          
        Type II Oblique fracture, usually from dorsal-lateral to plantar-medial.
        May have forefoot aDDuction deformity.
         
        Type IIII Central or lateral comminution.
        ABDuction deformity.
          
  • Recommended views
    • AP
    • lateral
    • oblique
      • best view to see tuberosity fractures
  • Treatment criteria
    • nonoperative treatment acceptable if
      • acute avulsion fractures 
      • most tuberosity fractures
      • minimally displaced ype I and II navicular body fractures
    • ORIF if
      • avulsion fractures involving > 25% of articular surface
      • tuberosity fractures with > 5mm diastasis or large intra-articular fragment
      • displaced or intra-articular type I and II navicular body fractures 
    • ORIF followed by ex-fix vs. primary fusion if type III navicular body fractures 
 Sesamoid injury  
  • Classification
    • medial/tibial sesamoid
      • more common
      • attaches to adductor hallucis
    • lateral/fibular sesamoid
      • attaches to abductor hallucis
  • Recommended views
    • AP
    • lateral
    • tangential
      • lewis  
      • causton
  • Findings
    • proximal migration of sesamoids
      • be suspicious of intrinsic minus hallux 
  • Treatment criteria
    • nonoperative treatment acceptable in most cases
    • partial or total sesamoidectomy if nonoperative management fails after 3-12 months
    • autologous bone grafting if nonunion or fracture
    • dorsiflexion osteotomy if plantarflexed first ray with sesamoid injury
Private Note