Please confirm topic selection

Are you sure you want to trigger topic in your Anconeus AI algorithm?

Please confirm action

You are done for today with this topic.

Would you like to start learning session with this topic items scheduled for future?

Review Question - QID 219846

In scope icon N/A
QID 219846 (Type "219846" in App Search)
An 18-year-old male presents to your clinic with two weeks of right-hand pain. He reports punching the wall in the locker room after losing in the state championship. Radiographs from today’s visit are shown in Figures A-C. What is the most appropriate treatment at this time?
  • A
  • B
  • C

Operative fixation of both fractures

76%

516/683

Fixation of the fourth metacarpal only

13%

86/683

Fixation of the fifth metacarpal only

3%

18/683

Non-operative treatment

5%

37/683

Open reduction and internal fixation of the ring finger, acute arthrodesis of the small finger

3%

22/683

  • A
  • B
  • C

Select Answer to see Preferred Response

The radiographs show a displaced, angulated ring finger fracture with a comminuted, intraarticular fracture of the fifth metacarpal base. Given these fracture patterns and the time from injury, operative fixation of both injuries is the most appropriate treatment (Answer 1).

Metacarpal fractures are the most common hand fractures and can involve the head, shaft, or base. The treatment algorithm is based on the fracture pattern and location, with unstable patterns often requiring fixation. The index and long finger are less tolerant of shaft or neck angulation (10-20 degrees shaft, 10-15 neck), followed by the ring (30 degrees shaft, 30-40 neck) and small finger (40 degrees shaft, 50-70 neck). Other indications for surgery include open fractures, intraarticular fractures, and multiple metacarpal shaft fractures. Surgical options include percutaneous pinning/intramedullary fixation or ORIF for shaft fractures, and percutaneus pinning, ORIF or arthrodesis for intraarticular metacarpal base fractures, depending on the fracture pattern and time from injury. Early motion is critical after surgery to prevent stiffness.

Bora et al. reviewed fifth metacarpal base fractures and discussed the functional anatomy, mechanism of injury, treatment, and outcomes of their series of 25 patients. Most patients received a molded cast or splint without manipulation, while the remainder had articular displacement and underwent either percutaneous pinning or open reduction internal fixation. They report significant improvement in grip strength in all patients treated with ORIF despite considerable delay from the time of injury (up to ten years). In conclusion, the authors report satisfactory results of closed management of non-displaced injuries and recommend early treatment of displaced patterns.

Kjaer-Petersen et al. reviewed their series of 65 intra-articular fractures at the base of the fifth metacarpal. Based on injury patterns, patients were stratified by treatment approach, which included casting, percutaneous pinning, and open reduction internal fixation. Regardless of approach, they report significant difficulties with fracture reduction in the setting of articular displacement. Despite adequate reduction, many patients still experienced decreased grip strength and intermittent dull pain. The authors advise an open approach for any displacement and emphasize restoration of the joint line to facilitate optimal outcomes.

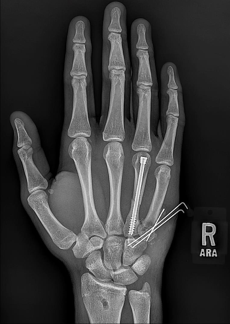
Figures A-C demonstrate a fourth metacarpal shaft fracture with angulation > 30 degrees. The fifth metacarpal base fracture is comminuted and intraarticular with carpometacarpal joint subluxation. Illustration A shows post-operative images of percutaneous pinning of the fifth metacarpal base fracture and intramedullary headless compress screw fixation of the fourth metacarpal. Illustration B shows 12-week post-operative imaging demonstrating union of both fractures.

Incorrect Answers:
Answer 2: The fifth metacarpal base shows significant comminution, intraarticular involvement with CMC subluxation, and delayed presentation, indicating operative intervention in conjunction with the fourth metacarpal.
Answer 3: The fourth metacarpal fracture has >30 degrees of angulation and thus requires reduction with fixation
Answer 4: Nonoperative management can be considered in isolated metacarpal fractures or nondisplaced extraarticular metacarpal fractures.
Answer 5: Although the presentation is delayed, arthrodesis should only be considered for chronic presentations

ILLUSTRATIONS:
REFERENCES (2)
Authors
Rating
Please Rate Question Quality

2.3

  • star icon star icon star icon
  • star icon star icon star icon
  • star icon star icon star icon
  • star icon star icon star icon
  • star icon star icon star icon

(3)