Please confirm topic selection

Are you sure you want to trigger topic in your Anconeus AI algorithm?

Please confirm action

You are done for today with this topic.

Would you like to start learning session with this topic items scheduled for future?

Review Question - QID 220046

In scope icon L 4
QID 220046 (Type "220046" in App Search)
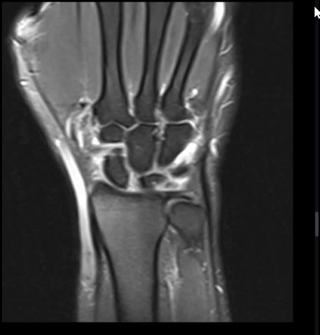
A 28-year-old male reports to the orthopedic clinic with a 6-week history of left wrist pain. One and a half months prior, he crashed on his bike and caught himself with his hands. Injury and repeat films report no acute osseous abnormality. He endorses weakness and pain when gripping heavy objects. He is tender over the anatomic snuff box on physical exam. He also experiences pain when his wrist deviates from ulnar to radial with force applied to the scaphoid tubercle. A video of his wrist MRI is seen in Figure A. If his injury is not addressed, what carpal deformity will initially develop?