• ABSTRACT
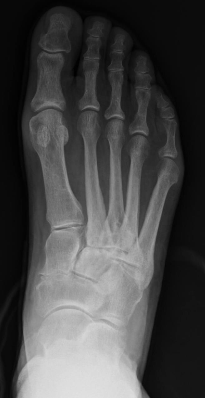
    • Avascular necrosis of the first metatarsal head is rare. Although idiopathic cases have been reported, AVN of the first metatarsal head is usually iatrogenic following surgical correction of hallux valgus using a distal metatarsal osteotomy with or without lateral soft tissue release. A thorough understanding of the delicate vascular anatomy of the first metatarsal head is essential when surgery is considered. Careful operative technique permits a safe combination of distal osteotomy and lateral soft tissue release. Because the intraosseous blood supply is completely disrupted with distal metatarsal osteotomy, excessive capsular release and saw blade penetration into the lateral capsular vessels must be avoided. Among the thousands of reported distal metatarsal osteotomies performed using a variety of technique modifications of the original procedure described by Austin, the prevalence of AVN is low. Undoubtedly, the first metatarsal head has an excellent capacity to accommodate to changes in its blood supply. Although radiographic changes are frequently observed in the metatarsal head following a distal metatarsal osteotomy with or without lateral release, rarely do these changes progress to symptomatic AVN. These transient radiographic findings probably represent an adjustment period as the metatarsal head recovers from vascular compromise. Not only is AVN of the first metatarsal rare, but it is rare for it to be symptomatic. Many more cases that are never identified may exist. Management of symptomatic AVN of the first metatarsal head has not been standardized because of the infrequency of this condition. Anecdotal experience suggests that simple activity and shoe modifications may suffice; however, joint debridement and metatarsal head decompression may prove beneficial as they have in the management of other joints more commonly afflicted with AVN. Finally, severe head collapse may be salvaged with MTP joint arthrodesis. In the event that a substantial amount of avascular bone must be removed, consideration can be given to bone block distraction arthrodesis to avoid transfer metatarsalgia.