Please confirm topic selection

Are you sure you want to trigger topic in your Anconeus AI algorithm?

Please confirm action

You are done for today with this topic.

Would you like to start learning session with this topic items scheduled for future?

Posted: Mar 13 2013
D

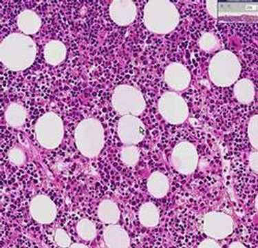
Histopathology of lymphoma in bone

Video Description

Demonstration of histopathology of lymphoma in bone



Please rate video.

  • star icon star icon star icon
  • star icon star icon star icon
  • star icon star icon star icon
  • star icon star icon star icon
  • star icon star icon star icon

Average 4.8 of 11 Ratings

Related Videos