Please confirm topic selection

Are you sure you want to trigger topic in your Anconeus AI algorithm?

Please confirm action

You are done for today with this topic.

Would you like to start learning session with this topic items scheduled for future?

Paget's Disease
Posted: Dec 19 2012
C

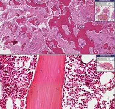
Histopathology of Bone in Paget's Disease

Video Description

The histopathology of abnormal bone in Paget's disease is compared with the normal achitecture of trabecular bone in an unaffected specimen.

1) Does this video clearly demonstrate the histopathology of bone in Paget's disease?
Other


Please rate video.

  • star icon star icon star icon
  • star icon star icon star icon
  • star icon star icon star icon
  • star icon star icon star icon
  • star icon star icon star icon

Average 4.7 of 32 Ratings

Related Videos