Please confirm topic selection

Are you sure you want to trigger topic in your Anconeus AI algorithm?

Please confirm action

You are done for today with this topic.

Would you like to start learning session with this topic items scheduled for future?

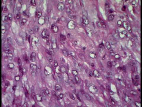
Epithelioid Sarcoma
Posted: Nov 17 2012
C

Epithelioid Sarcoma - Pathology Rounds

Video Description

This video demonstrates the histologic characteristics of a Epithelioid Sarcoma. The patient is a 70 year-old male who presented with an enlarged groin lymph node.

1) If you have ever witnessed a cases of Epithelioid Sarcoma, where did it occur?
Other


Please rate video.

  • star icon star icon star icon
  • star icon star icon star icon
  • star icon star icon star icon
  • star icon star icon star icon
  • star icon star icon star icon

Average 5.0 of 5 Ratings

Related Videos
Add Colleague
Lab Values
Calculator
Content analytics