Please confirm topic selection

Are you sure you want to trigger topic in your Anconeus AI algorithm?

Please confirm action

You are done for today with this topic.

Would you like to start learning session with this topic items scheduled for future?

Review Question - QID 218119

QID 218119 (Type "218119" in App Search)
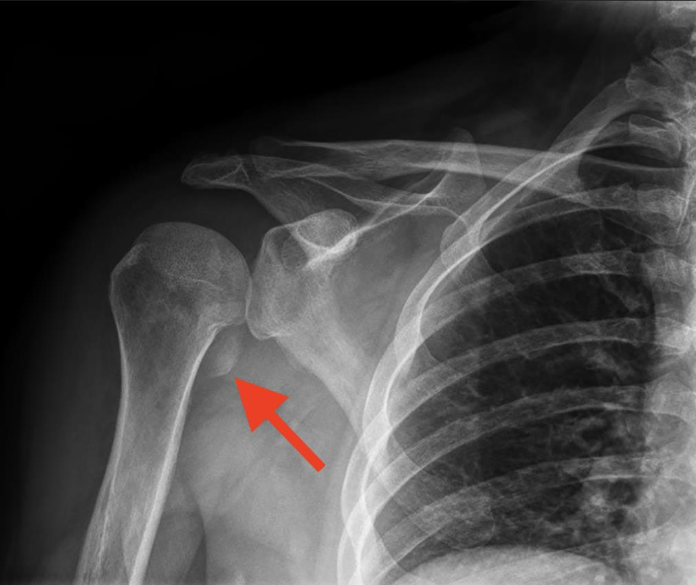
A 23-year-old firefighter falls from a ladder after being electrocuted by a live wire while doing practice drills on a firetruck. Radiographs of the right shoulder are shown in Figure A. Which of the following is particularly important to ascertain from the history or physical exam in the setting of this specific injury?

  • A
  • A