Please confirm topic selection

Are you sure you want to trigger topic in your Anconeus AI algorithm?

Please confirm action

You are done for today with this topic.

Would you like to start learning session with this topic items scheduled for future?

Review Question - QID 217340

In scope icon L 3
QID 217340 (Type "217340" in App Search)
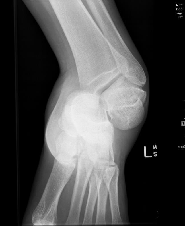
Figure A is the radiograph of a 32-year-old male who presents to the emergency department following a motor vehicle collision. You attempt a reduction of the closed injury but are unsuccessful. Which of the following structures is most likely to be preventing successful closed reduction?
  • A

Calcaneofibular ligament

1%

17/1445

Extensor digitorum brevis

10%

141/1445

Peroneal tendons

10%

138/1445

Posterior tibialis tendon

76%

1101/1445

Talonavicular joint capsule

3%

40/1445

  • A

Select Answer to see Preferred Response

This patient has a lateral subtalar joint dislocation. The posterior tibialis tendon is the most common structure preventing successful closed reduction.

Subtalar dislocations are hindfoot dislocations that result from high-energy trauma. The diagnosis is made clinically and confirmed with orthogonal radiographs of the foot. A lateral subtalar dislocation has been associated with fractures of the cuboid, anterior calcaneus, lateral process of talus, and the fibula. Treatment is a trial of closed reduction but may require open reduction given the several anatomic blocks to reduction. Blocks to a successful closed reduction of the lateral subtalar dislocation include medial-sided structures such as the posterior tibialis tendon (most common), flexor hallucis longus, and flexor digitorum longus.

Jungbluth et al. reviewed the functional and subjective results of a cohort of patients with subtalar dislocations. They reported no difference between the results of the medial and lateral subtalar dislocations. They concluded that the intermediate-term results for a subtalar dislocation without an associated osseous injury are good, and the direction of the dislocation does not appear to make a difference with regard to clinical or radiographic outcome.

Veltman et al. reviewed lateral subtalar dislocation. They reported that known complications following these injuries include avascular necrosis of the talus, infection, posttraumatic osteoarthritis requiring arthrodesis and chronic subtalar instability. They noted that negative prognostic factors include lateral and complicated dislocations, total talar extrusions, and associated fractures. They concluded that in cases of uncomplicated lateral subtalar joint dislocation, excellent functional outcomes after closed reduction and immobilization can be expected.

Illustration A shows a posterior tibialis tendon preventing successful reduction of a lateral subtalar joint dislocation. Illustration B is the radiograph of the ankle demonstrating a medial subtalar dislocation.

Incorrect Answers:
Answer 1: The CFL is a laterally based structure and is very unlikely to impede closed reduction of a lateral subtalar joint dislocation
Answers 2,3,5: Extensor digitorum brevis, peroneal tendons, and the talonavicular joint capsule are common blocks to the closed reduction of a MEDIAL subtalar joint dislocation

ILLUSTRATIONS:
REFERENCES (2)
Authors
Rating
Please Rate Question Quality

4.8

  • star icon star icon star icon
  • star icon star icon star icon
  • star icon star icon star icon
  • star icon star icon star icon
  • star icon star icon star icon

(4)