Please confirm topic selection

Are you sure you want to trigger topic in your Anconeus AI algorithm?

Please confirm action

You are done for today with this topic.

Would you like to start learning session with this topic items scheduled for future?

Review Question - QID 215837

In scope icon L 3 E
QID 215837 (Type "215837" in App Search)
A 14-year-old male presents to the office with several weeks of ankle pain localized just distal to the medial malleolus. He also reports numerous ankle sprains since learning to play basketball over the last several months. Representative radiographs are shown in Figure A and B. Which of the following is the most likely cause of his pain?
  • A
  • B

Abnormal collagen cross linking via a glycine substitution

4%

72/1766

Mutation of the fibrillin-1 gene

5%

89/1766

Failure of mesenchymal segmentation

69%

1227/1766

Fracture through the hypertrophic zone of the physis

16%

289/1766

Fracture through the proliferative zone of the physis

4%

72/1766

  • A
  • B

Select Answer to see Preferred Response

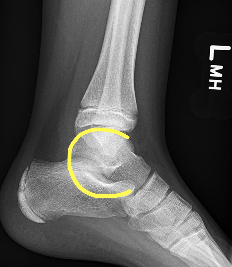
Talocalcaneal coalition is identified by the C-sign (Illustration A) and is caused by failure of mesenchymal segmentation of the subtalar joint.

Tarsal coalitions are most commonly found to be calcaneonavicular (most common) or talocalcaneal. The vast majority, however, are asymptomatic and identified incidentally. When symptomatic, patients commonly report recurrent ankle sprains or persistent activity related pain just distal to the fibula (calcaneonavicular) or distal to the medial malleolus, as is present in this case. Most calcaneonavicular and talocalcaneal coalitions can be identified on plain radiograph as evidence by the anteater sign or C-sign, respectively.

Mosca et al. review subtalar coalitions in pediatric patients. They report that the most common locations are between the calcaneus and navicular and between the talus and calcaneus. They suggest that initial treatment should be nonoperative, however if these attempts fail, surgery may be indicated. Surgery varies based on the location and type of coalition identified.

Flynn et al. review subtalar coalitions in adult patients. They report that tarsal coalitions, while relatively uncommon, are typically identified in adult patients during an evaluation for ankle instability, sinus tarsus pain, and/or pes planovalgus. They conclude that the most common area of involvement of the subtalar joint is the middle facet, and heightened awareness should be present in adult patients with limited motion of the subtalar joint.

Figure A and B are the AP and lateral radiographs of a pediatric ankle demonstrating the "C-sign" (lateral radiograph), which is indicative of a talocalcaneal coalition. Illustration A outlines this finding.

Incorrect Answers:
Answer 1: A glycine substitution resulting in abnormal collagen cross linking occurs with osteogenesis imperfecta and is not related to tarsal coalition.
Answer 2: Coalition is not a common finding in patients with Marfan syndrome.
Answer 4 & 5: Radiographs do not demonstrate a fracture in this patient. However, Salter Harris fractures do occur through the hypertrophic zone.

ILLUSTRATIONS:
REFERENCES (2)
Authors
Rating
Please Rate Question Quality

4.0

  • star icon star icon star icon
  • star icon star icon star icon
  • star icon star icon star icon
  • star icon star icon star icon
  • star icon star icon star icon

(5)