Please confirm topic selection

Are you sure you want to trigger topic in your Anconeus AI algorithm?

Please confirm action

You are done for today with this topic.

Would you like to start learning session with this topic items scheduled for future?

Review Question - QID 215751

In scope icon L 4 E
QID 215751 (Type "215751" in App Search)
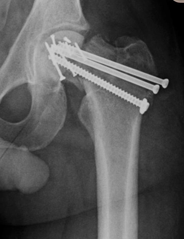
Figure A is the immediate postoperative radiograph of a 51-year-old male who underwent open reduction internal fixation (ORIF) following a Pipkin III fracture of the femoral head and neck following a motor vehicle collision. Which of the following is the most likely outcome for this patient six months following surgery?
  • A

Development of posterior heterotopic bone requiring revision surgery

4%

74/1817

Pain free ambulation and return to work

27%

495/1817

Fixation failure and AVN requiring THA

47%

853/1817

AVN without collapse requiring core decompression

9%

169/1817

Advanced degenerative changes requiring THA

11%

207/1817

  • A

Select Answer to see Preferred Response

Pipkin III injuries represent a double insult to the proximal femur and have a high propensity to go on to AVN and failure if treated with ORIF.

Femoral head fractures, fortunately, are uncommon injuries. The primary blood supply to the femoral head is via the medial femoral circumflex artery which arises posteromedially to supply the femoral head. If this blood supply is disrupted, either at the time of injury or the during surgery, avascular necrosis (AVN) ultimately occurs. Femoral head fractures are most commonly classified using this Pipkin classification (Illustration B). Pipkin III injuries result in a "double insult" to the femoral head with a fracture through the femoral head as well as a femoral neck fractures. In a 51-year-old patient, these injuries should be treated with THA as fixation has a very high propensity for catastrophic failure and AVN.

Giannoudis et al. review the management and associated complications of femoral head fractures. They report outcomes of Pipkin I injuries were improved with fragment excision, whereas Pipkin II injuries were best treated with ORIF. They conclude that the most commonly recognized late complications for these injuries were post-traumatic arthritis, anterior heterotopic ossification and avascular necrosis.

Scolaro et al. review management and radiographic outcomes of patients sustaining femoral head fractures. They report that 7 of 147 fractures were classified as Pipkin III, each of which underwent initial ORIF. Of this selected cohort 100% went on to catastrophic failure and AVN requiring THA. They conclude that these injuries have a high propensity for failure following ORIF.

Figure A demonstrates the postoperative radiograph of a patient s/p ORIF of a Pipkin III femoral head and neck injury. Illustration A is this same patient 3 months postoperatively showing catastrophic failure which ultimately required THA. Illustration B is a schematic representation of the Pipkin classification.

Incorrect Answers:
Answer 1: ORIF for femoral head fractures is performed through an anterior approach, and thus, anterior, not posterior HO formation is common. Revision surgery due to HO formation is also very rare.
Answer 2: Fixation failure is a more common result for Pipkin III injuries at 6 month than pain free ambulation and return to work when treated with ORIF.
Answer 4: AVN following these injuries is common and may be a product of the injury or surgery, however, THA, not core decompression would be the treatment of choice.
Answer 5: It would be unlikely that a patient would develop severe DJD following this injury in the first 6 months following surgery.

ILLUSTRATIONS:
REFERENCES (2)
Authors
Rating
Please Rate Question Quality

3.4

  • star icon star icon star icon
  • star icon star icon star icon
  • star icon star icon star icon
  • star icon star icon star icon
  • star icon star icon star icon

(10)