Please confirm topic selection

Are you sure you want to trigger topic in your Anconeus AI algorithm?

Please confirm action

You are done for today with this topic.

Would you like to start learning session with this topic items scheduled for future?

Images
https://upload.orthobullets.com/topic/422822/images/pseudotumor..jpg
https://upload.orthobullets.com/topic/422822/images/psuedotumor_..jpg
https://upload.orthobullets.com/topic/422822/images/picture1.jpg
https://upload.orthobullets.com/topic/422822/images/mom_tha..jpg
  • Summary
    • A metal-on-metal (MoM) THA pseudotumor, also known as aseptic lymphocyte-dominant vasculitis-associated lesion (ALVAL), is a mass-forming tissue reaction caused by metal-on-metal wear
    • Diagnosis involves obtain meta-subtraction MRI studies in the setting of elevated serum metal ion levels (cobalt, chromium)
    • Treatment is typically revision arthroplasty for symptomatic pseudotumor with elevated metal ions
  • Epidemiology
    • Incidence
      • 10-15% of patients with MoM THA have a pseudotumor
      • 45-50% of revisions in patients with MoM THA are due to pseudotumor or adverse local tissue reaction
    • Risk factors
      • elevated cobalt and chromium levels
      • female gender
      • high acetabulum inclination angle > 55°
  • Etiology
    • Pathophysiology
      • mechanism
        • two different mechanisms have been proposed for formation of pseudotumors:
          • hypersensitivity to metal ions
          • local high wear debris
      • variability in distribution of metal debris, degree of necrosis, and number, type, and arrangement of inflammatory cells
        • macrophages and lymphocytes are present in all cases with lymphocytes being predominant
          • patient's with high wear have more macrophages than those with primarily hypersensitivity to metal ions
          • patients with extensive infiltrates of macrophages tend to have smaller lymphocytic aggregates.
  • Presentation
    • History
      • patient may complain of gradual onset of symptoms or a sudden inciting pain in the groin
    • Symptoms
      • common symptoms
        • may be asymptomatic
        • groin pain
        • trendelenburg gait
    • Physical Exam
      • inspection
        • soft tissue masses around the hip may be present
      • neurovascular
        • usually normal
      • provocative tests
        • groin pain with flexion, IR and adduction
        • groin pain with rising from a chair
  • Imaging
    • Radiographs
      • recommended views
        • AP pelvis, AP and lateral of affected hip
      • findings
        • will show metal-on-metal THA
        • necessary to rule out peri-prosthetic fractures as source of pain
        • may show peri-prosthetic bony erosion, commonly seen in calcar region
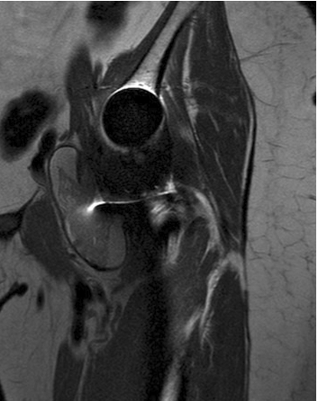
    • MRI with Metal Artifact Reduction Sequence (MARS)
      • indications
        • normal radiographs in the setting of elevated metal ion levels (cobalt, chromium)
      • findings
        • a pseudotumor will appear like a fluid collection or solid mass in periprosthetic soft tissues
        • T1 weighted images will show signal similar to bladder contents (transudate)
        • T2 weighted images will generally show hyperintensity as compared to muscle and may be heterogenous or homogenous
          • the hypointense content observed in T2 sequences may be related to the presence of necrosis or metal deposition
  • Studies
    • Serum labs
      • WBC, ESR and CRP
      • metal ion levels (cobalt, chromium)
        • serum metal ion concentration highest at 12-24 months following index surgery
          • correlates with the initial "wear in" or "run-in" phase of increased particle generation, but then followed by a "steady state" phase of decreased particle generation
        • values > 7 parts per billion (ppb, or ug/L) generally an indication for advanced imaging with MRI
    • Invasive studies
      • Hip aspiration
        • synovial fluid analysis will allow for differentiation of a metallosis from periprosthetic infection
        • gross appearance of metallosis generally described as "dishwater fluid" with watery, grayish and hazy appearance
        • manual cell count necessary
          • fibrinous debris from metal-on-metal reactions will falsely elevate automated cell counts
  • Treatment
    • Nonoperative
      • observation
        • indications
          • well functioning THA with low metal ions and no pseudotumor on MRI
        • outcomes
          • studies show that around 40% of patients with a pseudotumor are asymptomatic
    • Operative
      • revision THA to ceramic-on-polyethelyne components
        • indications
          • painful metal on metal THA, elevated metal ions, pseudotumor on MRI
            • rate of revision THA due to symptomatic pseudotumor is only 1.7–5.6%
          • most patients with pain, elevated ions or a psudotumor on MRI require operative intervention
        • outcomes
          • significant bone loss, soft tissue destruction, degree of abductor muscle deficiency and poorlocal environment for healing corresponds to difficulty of revision and functional outcomes
            • if severely compromised abductor function or damaged soft-tissue affects implant stability, may require the use of a contrained liner
              • gluteus maximus transfer can be used to reconstruct deficient abductor mechanism 
            • higher rates of dislocation and infection
  • Techniques
    • Observation
      • technique
        • in the asymptomatic patient, serial hip radiographs to assess for wear, or component loosening can be performed
    • Revision THA to ceramic-on-polyethelyne components
      • approach
        • depends on location of tumor and surgeon preferene
          • direct lateral and direct anterior commonly cited
      • technique
        • can be single stage or 2 stages depending on surgeon preference or presence/concern of infection
        • depend on bone loss, abductor defiency and soft tissue damage
        • constraint liners may be required if severe abductor deficiency is present
      • complications
        • instability
        • deep infection
        • aseptic loosening
        • persistent iliopsoas tendonitis
        • persistent metal related reaction
  • Complications
    • Repeat revision THA
      • incidence
        • 14-20% of revision THAs performed due to a MoM pseudotumor require a 2nd operation within 5 years
      • treatment
        • revision THA to address reason for repeat failure
    • Pseudotumor induced femoral nerve palsy
      • incidence
        • rare, only case reports noted
      • treatment
        • decompression and revision THA to ceramic-on polyethelyne components
flashcard locked
Create a free account or log in to see the cards.
Question
1 of 14
Recon | THA Pseudotumor (Metal Reactions)
  • Recon
  • - THA Pseudotumor (Metal on Metal Reactions)
12:9 min
5/13/2020
573 plays
4.7
  • star icon star icon star icon
  • star icon star icon star icon
  • star icon star icon star icon
  • star icon star icon star icon
  • star icon star icon star icon
(3)
Private Note