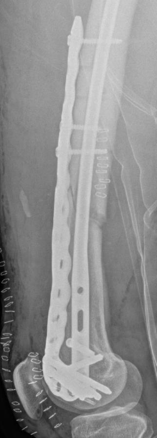
Summary Designed with SOMA (Stryker Orthopedics Modeling and Analytics) which includes a database with CT scans from hospitals across the world and state of the art algorithms that analyze shape variability, bone density, and implant fit Designed to link with the T2 Alpha Femur Retrograde Nail when using nail plate combination fixation Eight distal T20 screw holes, including 1 linking hole and 1 AP hole designed to capture Hoffa fragments Related Implants The Pangea® Femur Reconstruction System includes Lateral NPC Plate Medial NPC Plate (this topic) T2 Alpha™ Femur Retrograde Nailing System Design Tapered end allows for atraumatic submuscular insertion Staggered screw holes designed to enable surgeon to choose points of fixation and allows for placement of screws around an intramedullary implant or a prothesis AP hole screw hole trajectory that is designed to capture a "Hoffa Fragment" (Posterior Medial Condyle) Variable-angle screw holes circular universal holes accept non-locking screws, and locking screws within a 30° cone Proximal twist metadiaphyseal twist allows for screw placement anterior to posterior Linking hole designed to allow for seamless linking of the plate to a T2 Alpha Femur Retrograde Nail using an AlphaLink Dowel Indications Indications partial articular medial tibial plateau fractures medial plateau fragments in bicondylar tibial plateau fractures metaphyseal fractures epiphyseal fractures extra-articular proximal tibial fractures Contraindications active or suspected infection at the surgical site severe local inflammation around the operative area hypersensitivity or allergy to implant materials inadequate soft-tissue coverage over the implant Anatomy Osteology medial tibial plateau medial femoral condyle intercondylar eminence attachment point for cruciate ligaments tibial tuberosity insertion of the patellar tendon Muscles anteromedial tibia sartorius gracilis semitendinosus popliteus stabilizes and unlocks the knee Ligaments medial collateral ligament anterior cruciate ligament posterior cruciate ligament medial meniscus Approach Surgeons may use a standard medial, medial parapatellar, or medial subvastus approach to the distal medial femur Technical specifications Plate material type II anodized titanium (Ti6Al4V) Two plate lengths 155mm and 265mm Plate thickness 5mm Left and right anatomic options Screws Multiaxial locking 5.0 (14-120 mm) 4.0 (14-95mm) 5.0 (10-20mm) Cortex 4.5 (14-150mm) Cancellous 6.0 (20-150mm) 6.0 (30-150mm) 6.0 (45-150mm) Cable plug washer AlphaLink Dowel 50-90mm