Please confirm topic selection

Are you sure you want to trigger topic in your Anconeus AI algorithm?

Please confirm action

You are done for today with this topic.

Would you like to start learning session with this topic items scheduled for future?

Updated: Mar 15 2026

Achilles Tendonitis

Images
https://upload.orthobullets.com/topic/7022/images/32a_moved.jpg
https://upload.orthobullets.com/topic/7022/images/32b_moved.jpg
  • Summary
    • Achilles Tendonitis consists of a series of 3 conditions affecting the achilles tendon which include: insertional Achilles tendonitis, retrocalcaneal bursitis & Haglund deformity, and Achilles tendonitis.
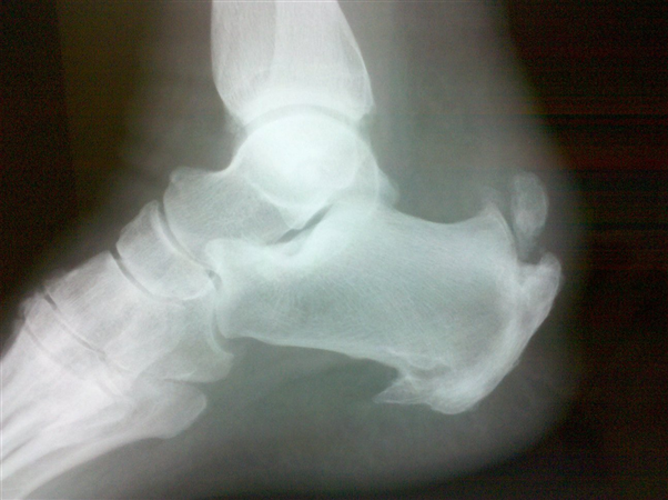
    • Diagnosis can be made with radiographs showing spurs and intratendinous calcification and in the case of Haglund deformity, an enlargement of the posterosuperior tuberosity of the calcaneus.
    • Treatment is a trial of nonoperative management of NSAIDs, activity modification, shoe wear modifications, and physical therapy. Surgical management is indicated in patients with progressive symptoms who fail conservative management.
  • Insertional Achilles tendonitis
    • Pain and tendon thickening at insertion of Achilles tendon
    • Epidemiology
      • demographics
        • occurs in middle-aged and elderly patients with a tight heel cord
    • Mechanism
      • repetitive trauma leads to inflammation followed by cartilagenous then bony metaplasia
    • Presentation
      • symptoms
        • posterior heel pain, swelling, burning, and stiffness
        • shoe wear pain due to direct pressure
        • progressive bony enlargement of calcaneus at insertion site
      • physical exam
        • inspection
          • midline tenderness at insertion site of Achilles tendon
    • Imaging
      • radiographs 
        • lateral foot shows bone spur and intratendinous calcification
      • MRI and ultrasound
        • can demonstrate amount of degeneration
    • Studies
      • histology
        • disorganized collagen with mucoid degeneration, although few inflammatory cells
    • Treatment
      • nonoperative
        • activity modification, shoe wear modification, therapy
          • indications
            • first line of treatment
          • techniques
            • therapy
              • physical therapy with eccentric training
              • gastrocnemius-soleus stretching
            • shoe wear
              • heel sleeves and pads (mainstay of nonoperative treatment)
              • small heel lift
              • locked ankle AFO for 6-9 months (if other nonoperative modalities fail)
            • injections
              • avoid steroid injections due to risk of Achilles tendon rupture
      • operative
        • retrocalcaneal bursa excision, debridement of diseased tendon, calcaneal bony prominence resection
          • indications
            • failure of nonoperative management and < 50% of Achilles needs to be removed
          • technique
            • midline, lateral, or medial J-shaped incisions
        • tendon augmentation or transfer (FDL, FHL, or PB) vs. suture anchor repair
          • indications
            • when > 50% of Achilles tendon insertion must be removed during thorough debridement
            • heavier patients with more severe disease
          • FHL transfer has been associated with increased ankle plantar flexion
  • Retrocalcaneal bursitis & Haglund deformity
    • Definitions
      • Retrocalcaneal bursitis
        • is inflammation of the bursa between the anterior aspect of the Achilles and posterior aspect of the calcaneus
      • Haglund deformity
        • an enlargement of the posterosuperior tuberosity of the calcaneus
    • Epidemiology
      • demographics
        • more common in young patients
    • Physical exam
      • pain localized to anterior and 2 to 3 cm proximal to the Achilles tendon insertion
      • fullness and tenderness medial and lateral to tendon
      • pain with dorsiflexion
      • bony prominence at Achilles insertion
    • Imaging
      • radiographs
        • lateral of foot demonstrates Haglund deformity
      • MRI
        • rarely needed
    • Treatment
      • nonoperative
        • activity modification, shoe wear modification, therapy, NSAIDs
          • indications
            • first line of treatment
          • techniques
            • therapy
              • ice
            • shoewear
              • external padding of Achilles tendon
            • injections
              • avoid steroid injections due to risk of Achilles tendon rupture
      • operative
        • retrocalcaneal bursa excision, Achilles debridement and resection of Haglund deformity
          • indications
            • disease refractory to nonoperative management
          • technique
            • midline, lateral, or medial J-shaped incisions
  • Achilles Tendonopathy
    • Mechanism
      • overuse
      • imbalance of dorsiflexors and plantar flexors
      • poor tendon blood supply
      • genetic predisposition
      • fluoroquinolone antibiotics
      • inflammatory arthropathy
    • Pathophysiology
      • theorized to be due to abnormal vascularity 2 to 6 cm proximal to Achilles insertion in response to repetitive microscopic tearing of the tendon
    • Classification
      • Achilles tendinosis
        • tendon thickening
        • thought to be caused by anaerobic degeneration in portion of tendon with poor blood supply
      • Achilles peritendonitis
        • involves inflammation of tendon sheath
      • inflammation of paratenon
    • Presentation
      • symptoms
        • pain, swelling, warmth
        • worse symptoms with activity
        • difficulty running
      • physical exam
        • tendon thickening and tenderness 2 to 6 cm proximal to Achilles insertion
        • pain throughout entire range of motion
    • Imaging
      • MRI
        • disorganized tissue will show up as intrasubstance intermediate signal intensity
        • thickened tendon
        • chronic rupture will show a hypoechoic region between tendon ends
    • Treatment
      • nonoperative
        • activity modification, shoe wear modification, therapy, NSAIDs, PRP injections
          • indications
            • first line of treatment
          • techniques
            • therapy
            • heel lifts
            • cast or removable boot (severe disease)
          • outcomes
            • nonoperative management is 65% to 90% successful
        • glyceryl trinitrate patches, prolotherapy, and aprotinin injections
          • indications
            • evolving indications due to lack of evidence at this time
      • operative
        • percutaneous tenotomies
          • indications
            • mild to moderate disease
          • techniques
            • longitudinal tenotomy made in the degenerative area
            • strip the anterior Achilles tendon with a large suture to free any adhesions
            • dorsal wedge calcaneal osteotomy with tendon debridement when <50% involvement
        • open excision of degenerative tendon with tubularization
          • indications
            • moderate to severe disease
          • outcomes
            • 70% to 100% successful
        • tendon transfer (FHL, FDL, or PB)
          • indications
            • degeneration of >50% of the Achilles tendon
            • >55 years of age
            • MRI evidence of diffuse tendon thickening without a focal area of disease
            • subacute rupture in the setting of prior achilles tendinopathy
flashcard locked
Create a free account or log in to see the cards.
Question
1 of 17
Foot & Ankle⎪Achilles Tendonitis
  • Foot & Ankle
  • - Achilles Tendonitis
19:39 min
11/5/2020
1107 plays
4.3
  • star icon star icon star icon
  • star icon star icon star icon
  • star icon star icon star icon
  • star icon star icon star icon
  • star icon star icon star icon
(3)
Private Note