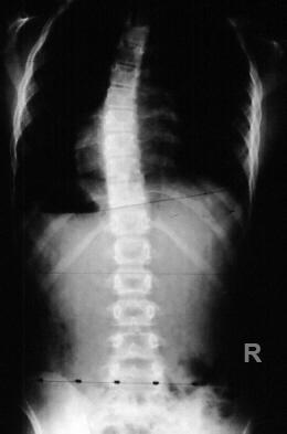
summary Adolescent Idiopathic Scoliosis is a coronal plane spinal deformity which most commonly presents in adolescent girls from ages 10 to 18. Diagnosis is made with full-length standing PA and lateral spine radiographs. Treatment can be observation, bracing, or surgical management depending on the skeletal maturity of the patient, magnitude of deformity, and curve progression. Epidemiology Incidence most common type of scoliosis incidence of 3% for curves between 10 to 20° incidence of 0.3% for curves > 30° Demographics most commonly presents in children 10 to 18 yrs 10:1 female to male ratio for curves > 30° 1:1 male to female ratio for small curves right thoracic curve most common left thoracic curves are rare and indicate an MRI to rule out cyst or syrinx Etiology Pathophysiology unknown potential causes multifactorial hormonal (melatonin) brain stem proprioception disorder platelet calmodulin abnormal development of neurocentral synchodrosis (NCS) cartilaginous plate that forms between the centrum and posterior neural arches closure occurs in characteristic order cervical NCS by 5-6 years old lumbar NCS by 11-12 years old thoracic NCS by 14-17 years old most have a positive family history Curve Progression risk factors for progression (at presentation) curve magnitude before skeletal maturity > 25° before skeletal maturity will continue to progress after skeletal maturity > 50° thoracic curve will progress 1-2° / year > 40° lumbar curve will progress 1-2° / year remaining skeletal growth younger age < 12 years at presentation Tanner stage (< 3 for females) Risser Stage (0-1) Risser 0 covers the first 2/3rd of the pubertal growth spurt correlates with the greatest velocity of skeletal linear growth open triradiate cartilage peak growth velocity is the best predictor of curve progression in females it occurs just before menarche and before Risser 1 (girls usually reach skeletal maturity 1.5 yrs after menarche) most closely correlates with the Tanner-Whitehouse III RUS method of skeletal maturity determination if curve is >30° before peak height velocity there is a strong likelihood of the need for surgery curve type thoracic more likely to progress than lumber double curves more likely to progress than single curves Classification King-Moe Classification five part classification to describe thoracic curve patterns and help guide surgeons implanting Harrington instrumentation link to King-Moe classification (not testable) Lenke Classification more comprehensive classification based on PA, lateral, and supine bending films helps to decide upon which curves need to be included within the fusion construct link to Lenke classification (not testable) Presentation School screening patients often referred from school screening where a 7° curve on scoliometer during Adams forward bending test is considered abnormal 7° correlates with 20° coronal plane curve Physical exam special tests Adams forward bending test axial plane deformity indicates structural curve forward bending sitting test can eliminate leg length inequality as cause of scoliosis other important findings on physical exam leg length inequality midline skin defects (hairy patches, dimples, nevi) signs of spinal dysraphism shoulder height differences truncal shift rib rotational deformity (rib prominence) waist asymmetry and pelvic tilt cafe-au-lait spots (neurofibromatosis) foot deformities (cavovarus) can suggest neural axis abnormalities and warrant a MRI asymmetric abdominal reflexes perform MRI to rule out syringomyelia Imaging Radiographs recommended views standing PA and lateral Cobb angle > 10° defined as scoliosis generated by drawing lines parallel to the vertebrae that are most tilted towards each other and then the angle created by those lines intra-interobserver error of 3-5° spinal balance coronal balance is determined by alignment of C7 plumb line to central sacral vertical line sagittal balance is based on C7 plumb from center of C7 to the posterior-superior corner of S1 stable zone between lines drawn vertically from lumbosacral facet joints stable vertebrae most proximal vertebrae that is most closely bisected by central sacral vertical line neutral vertebrae rotationally neutral (spinous process equal distance to pedicles on PA xray) end vertebrae end vertebra is defined as the vertebra that is most tilted from the horizontal apical vertebra apical vertebrae the apical vertebraeis the disk or vertebra deviated farthest from the center of the vertebral column clavicle angle best predictor of postoperative shoulder balance MRI should extend from posterior fossa to conus purpose is to rule out intraspinal anomalies indications to obtain MRI atypical curve pattern (left thoracic curve, short angular curve, apical kyphosis) rapid progression excessive kyphosis structural abnormalities neurologic symptoms or pain foot deformities asymmetric abdominal reflexes a syrinx is associated with abnormal abdominal reflexes and a curve without significant rotation Treatment Based on skeletal maturity of patient, magnitude of deformity, and curve progression Nonoperative observation alone indications cobb angle < 25° technique obtain serial radiographs to monitor for progression bracing indication cobb angle from 25° to 45° only effective for flexible deformity in skeletally immature patient (Risser 0, 1, 2) goal is to stop progression, not to correct deformity outcomes 50% reduction in need for surgery with compliant brace wear of at least 13 hours a day poor prognosis with brace treatment associated with poor in-brace correction hypokyphosis (relative contraindication) male obese noncompliant (effectiveness is dose-related) the number needed to treat (NNT) is four in highly compliant patients Sanders staging system predicts the risk of curve progression despite bracing to >50 degrees in Lenke type I and III curves uses anteroposterior hand radiograph and curve magnitude to assess risk of progression despite bracing Operative treatment posterior spinal fusion indications cobb angle > 45° can be used for all types of idiopathic scoliosis remains gold standard for thoracic and double major curves (most cases) anterior spinal fusion indications best for thoracolumbar and lumbar cases with a normal sagittal profile anterior / posterior spinal fusion indications larges curves (> 75°) or stiff curves young age (Risser grade 0, girls <10 yrs, boys < 13 yrs) in order to prevent crankshaft phenomenon Techniques Bracing recommended for 16-23 hours/day until skeletal maturity or surgical intervention deemed necessary (actual wear minimum 12 hours required to slow progression) brace types curves with apex above T7 Milwaukee brace (cervicothoracolumbosacral orthosis) extends to neck for apex above T7 apex at T7 or below TLSO Boston-style brace (under arm) Charleston Bending brace is a curved night brace bracing success is defined as <5° curve progression bracing failure is defined 6° or more curve progression at orthotic discontinuation (skeletal maturity) absolute progression to >45° either before or at skeletal maturity, or discontinuation in favor of surgery skeletal maturity is defined as Risser 4 <1cm change in height over 2 visits 6 months apart 2 years postmenarchal Posterior spinal fusion fusion levels goals fusion should include enough levels to adequately maintain sagittal and coronal balance while being as minimal as safely possible to preserve motion typical fusion from proximal end vertebra to one or two levels cephalad to the stable vertebra double and triple major curves fuse to the distal end vertebra Harrington technique recommends one level above and two levels below the end vertebrae if these levels fall wilthin the stable zone Moe technique recommends fusion to the neutral vertebrae Lenke technique recommends including all major curves in the fusion and minor curves that are not flexible or are kyphotic extending fusion caudad to the touched vertebrae improves patient outcomes and radiographic correction touched vertebrae (TV) is the last cephalad vertebrae touched by the central sacral vertical line L5 level Cochran found increase incidence of low back pain with fusion to L5, and to a lesser extent L4. therefore, whenever possible, avoid fusion to L4 and L5 pelvis it is almost never required to fuse to the pelvis in idiopathic scoliosis pedicle screw fixation screw insertional torque correlates with resistance to screw pullout resistance to screw pullout increases by undertapping by 1mm curve correction segmental pedicle screw fixation allows increased coronal plane correction while lessening the need for anterior releases ASF with instrumentation advantage better correction while saving lumbar fusion levels disadvantage increased risk of pseudarthrosis when thoracic hyperkyphosis is present fusion levels typically fuse from end vertebra to end vertebra Neurologic Monitoring monitoring with somatosensory-evoked potentials (SSEPs) and/or motor-evoked potentials (MEPs) is now the standard of care motor-evoked potentials can provide an intraoperative warning of impending spinal cord dysfunction neurologic event defined as drop in amplitude of > 50% if neurologic injury occurs intraoperatively consider check for technical problems check blood pressure and elevate if low check hemoglobin and transfuse as necessary lessen/reverse correction administer Stagnaras wake up test remove instrumentation if the spine is stable Complications Neurologic injury paraplegia is 1:1000 increased risk with kyphosis, excessive correction, and sublaminar wires Pseudoarthrosis (1-2%) presents as late pain, deformity progression, and hardware failure an asymptomatic pseudarthrosis with no pain and no loss of correction should be observed Infection (1-2%) presents as late pain incision often looks clean Propionibacterium acnes most common organism for delayed infection (requires 2 weeks for culture incubation) attempt I&D with maintenance of hardware if not loose and within 6 months Flat back syndrome early fatigability and back pain due to loss of lumbar lordosis rare now that segmental instrumentation addresses sagittal plane deformities decreased incidence with rod contouring in the sagittal plane and compression/distraction techniques treat with revision surgery utilizing posterior closing wedge osteotomies anterior releases prior to osteotomies aid in maintenance of correction Crankshaft phenomenon rotational deformity of the spine created by continued anterior spinal growth in the setting of a posterior spinal fusion can occur in very young patients when PSF is performed alone and the anterior column is allowed continued growth avoided by performing anterior diskectomy and fusion with posterior fusion in very young patients SMA syndrome (superior mesenteric artery [SMA] syndrome) compression of 3rd part of duodenum due to narrowing of the space between SMA and aorta SMA arises from anterior aspect of aorta at level of L1 vertebrae presents with symptoms of bowel obstruction in first postoperative week associated with electrolyte abnormalities nausea, bilious vomiting, weight loss risk factors height percentile <50%; weight percentile < 25% sagittal kyphosis treat with NG tube and IV fluids Hardware failure late rod breakage can signify a pseudarthrosis Emergency department visits most often for minor medical complaints associated with older age at the time of surgery and more fusion levels Postoperative pain adjunctive short-term steroids have been shown to decrease opioid use Prognosis Natural history increased incidence of acute and chronic pain in adults if left untreated curves > 90° are associated with cardiopulmonary dysfunction, early death, pain, and decreased self image